医影在线

标题: CT11768:男,56岁,左髋部疼痛1个月 [打印本页]

作者: nanjing    时间: 2008-2-19 23:45
标题: CT11768:男,56岁,左髋部疼痛1个月
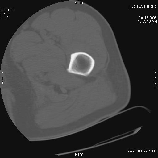
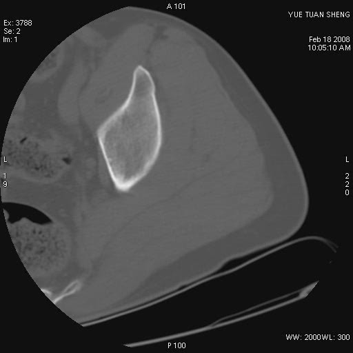
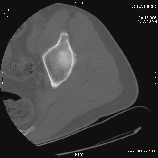
患者,男,56岁,左髋部疼痛1个月,x线:左股骨头高密度影,性质待定,右侧正常。左髋ct如图






















[本贴已被 jiajie 于 2008-2-19 18:14:52 修改过]

作者: zsl6918    时间: 2008-2-19 23:49
良性骨肿瘤或肿瘤样变。骨纤可能性最大。
作者: zjzjr    时间: 2008-2-20 00:02
支持左侧股骨颈骨纤维异常增殖症。
作者: 卜一    时间: 2008-2-20 00:16
支持左侧股骨颈骨纤维异常增殖症。
作者: HARRY    时间: 2008-2-20 00:23
支持左侧股骨颈骨纤维异常增殖症。
作者: dyqct    时间: 2008-2-20 01:07
标题: 回复:患者,男,56岁
以下是引用zjzjr在2008-2-19 16:02:00的发言:[br]支持左侧股骨颈骨纤维异常增殖症。

支持!!
作者: jiangjing    时间: 2008-2-20 01:15
左股骨颈区椭圆形磨玻璃样影,边缘明显硬化环环绕,其内见斑点状类钙化高密度影考虑 良性骨病-----骨纤,骨化性纤维瘤,内生软骨瘤。
作者: wangzhengyuan    时间: 2008-2-20 01:30
左侧股骨颈骨纤维异常增殖症.
作者: 玉真    时间: 2008-2-20 01:44
支持左侧股骨颈骨纤维异常增殖症。
作者: 随光逐影    时间: 2008-2-20 02:06
左侧股骨颈良性骨肿瘤(内生软骨瘤可能)或骨肿瘤样病变(骨纤维异常增殖症?)。
作者: 赖医生    时间: 2008-2-20 03:13
支持左侧股骨颈骨纤维异常增殖症
作者: 李海军    时间: 2008-2-20 04:07
支持左侧股骨颈骨纤维异常增殖症
作者: zsh0009    时间: 2008-2-20 04:10
支持左侧股骨颈骨纤维异常增殖症。
作者: 宝天曼    时间: 2008-2-20 04:42
支持左侧股骨颈骨纤维异常增殖症
作者: yangyudong333    时间: 2008-2-20 05:45
支持左侧股骨颈骨纤维异常增殖症。
作者: 拾荒者    时间: 2008-2-20 06:08
左侧股骨颈良性骨肿瘤(内生软骨瘤可能)。
作者: 宇宙CT    时间: 2008-2-20 06:29
支持左侧股骨颈骨纤维异常增殖症。
作者: zyx168    时间: 2008-3-15 07:20
标题: 回复:ct11768:男,56岁,左髋部疼痛1个月
以下是引用随光逐影在2008-2-19 18:06:00的发言:[br]左侧股骨颈良性骨肿瘤(内生软骨瘤可能)或骨肿瘤样病变(骨纤维异常增殖症?)。

作者: qc80012345    时间: 2008-3-15 16:15
支持左侧股骨颈骨纤维异常增殖症
作者: jinguoji    时间: 2008-3-28 20:45
支持左侧股骨颈骨纤维异常增殖症。




欢迎光临 医影在线 (http://bbs.radida.com/bbs/) Powered by Discuz! X3.2