医影在线

标题: CT11770:M31Y,脑内占位(手机拍摄,请多包涵) [打印本页]

作者: 光线    时间: 2008-2-20 04:15
标题: CT11770:M31Y,脑内占位(手机拍摄,请多包涵)
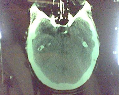
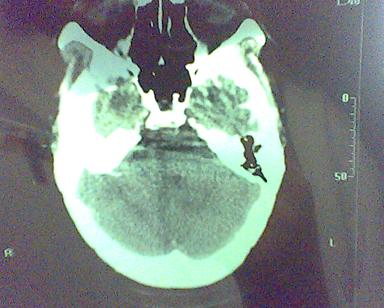
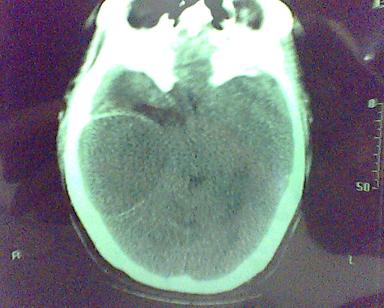
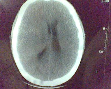
男 31岁 短暂性四肢抽搐 呼叫不应  头胀痛4个多月 无发热 4年前遭棒击头部,当时未到医院检查。余无特殊。病人特穷,未作增强。
请发表看法:脑脓肿?脑膜瘤?。。。













[本贴已被 jiajie 于 2008-2-19 20:21:03 修改过]

作者: 随光逐影    时间: 2008-2-20 04:32
考虑为:脑脓肿(耳源性?)。
作者: 星星夜谈    时间: 2008-2-20 04:33
这是一个边缘清晰的等密度的囊性占位.密度比较均匀,周围无水肿,我顷向于脑脓肿的可能性大.
最好是做增强检查 加以鉴别.
作者: 李海军    时间: 2008-2-20 04:42
右侧乳突蜂房消失,右侧颞叶区囊性占位,水肿不明显,考虑表皮样囊肿或耳源性脑脓肿,+c!。
作者: 沙漠骆驼    时间: 2008-2-20 04:45
jie结合病史和临床表现,,及病灶的形态,初步多考虑脑脓肿可能性大.
            应进一步检查.
作者: dyqct    时间: 2008-2-20 04:50
标题: 回复:ct11770:m31y,脑内占位(手机拍摄,请多包涵)
以下是引用随光逐影在2008-2-19 20:32:00的发言:[br]考虑为:脑脓肿(耳源性?)。

支持!!
作者: yangyudong333    时间: 2008-2-20 04:58
考虑脑脓肿建议做增强
作者: wqs571018    时间: 2008-2-20 05:06
倾向于脑脓肿的可能性大。
作者: zsl6918    时间: 2008-2-20 05:58
首先考虑耳源性脑脓肿。
作者: 宇宙CT    时间: 2008-2-20 06:41
首先考虑耳源性脑脓肿。
作者: 小明    时间: 2008-2-20 06:45
感觉还是脑脓肿,不过图片太不清楚了
作者: 卜一    时间: 2008-2-20 07:26
倾向于脑脓肿的可能性大。
作者: jinguoji    时间: 2008-2-20 09:42
考虑耳源性脑脓肿。
作者: happyverycd    时间: 2008-2-20 14:36
标题: 回复:ct11770:m31y,脑内占位(手机拍摄,请多包涵)
以下是引用随光逐影在2008-2-19 20:32:00的发言:[br]考虑为:脑脓肿(耳源性?)。

作者: LIAOQIANG    时间: 2008-2-20 16:49
考虑为:脑脓肿(耳源性?)。
作者: wangjj555    时间: 2008-2-20 17:18
首先考虑耳源性脑脓肿。
作者: 拾荒者    时间: 2008-2-21 03:34
标题: 回复:ct11770:m31y,脑内占位(手机拍摄,请多包涵)
以下是引用李海军在2008-2-19 20:42:00的发言:[br]右侧乳突蜂房消失,右侧颞叶区囊性占位,水肿不明显,考虑表皮样囊肿或耳源性脑脓肿,+c!。

作者: xn2ylwg    时间: 2008-2-21 04:00
考虑为:脑脓肿(耳源性?)。建议增强.
作者: 匿名    时间: 2008-2-21 06:24
图象质量太差啦,拜托照好一点,好象从临床症状不太支持脓肿,脑实质内没有水肿,只有轻度战位效应。脓肿壁应再厚点。囊性占位比较合适,建议强化。
作者: qc80012345    时间: 2008-2-21 07:58
明确诊断;脑脓肿。
作者: wy232326    时间: 2008-2-21 19:37
倾向于脑脓肿的可能性大。支持
作者: zyx168    时间: 2008-3-15 07:26
脑脓肿的可能性大。
作者: qc80012345    时间: 2008-3-15 16:21
脑脓肿(耳源性?)。




欢迎光临 医影在线 (http://bbs.radida.com/bbs/) Powered by Discuz! X3.2