医影在线

标题: CT11775:女 79岁腹疼二月 [打印本页]

作者: 国窖1573    时间: 2008-2-20 07:00
标题: CT11775:女 79岁腹疼二月
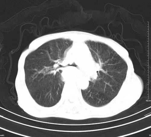
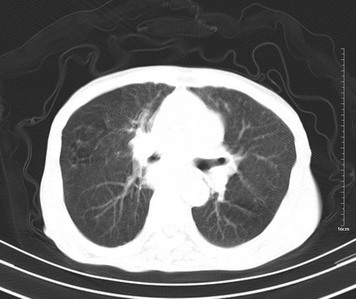
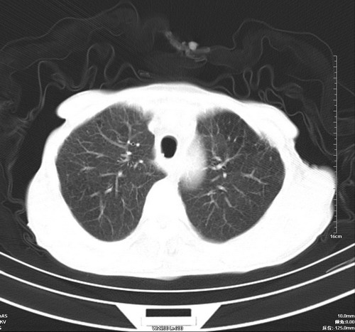
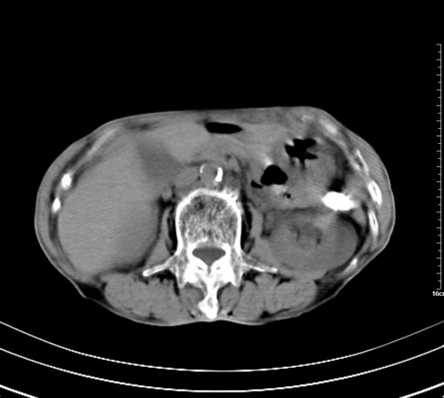
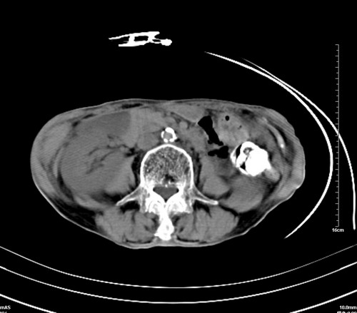
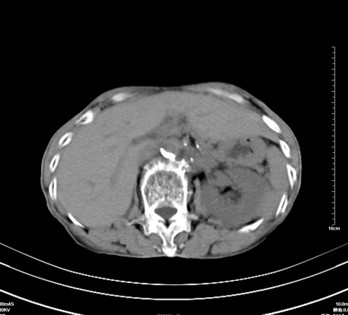
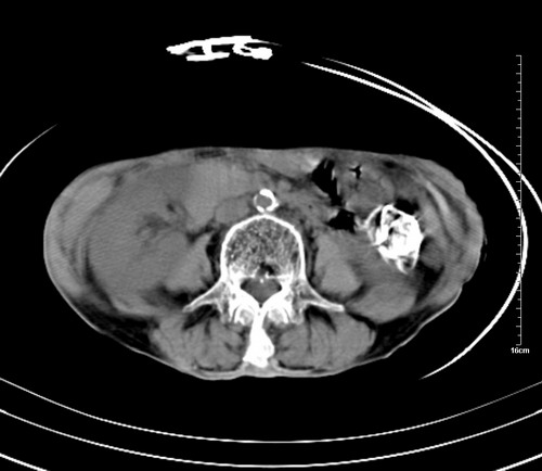
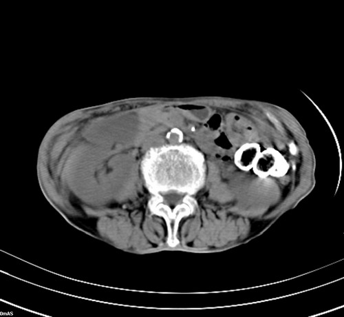
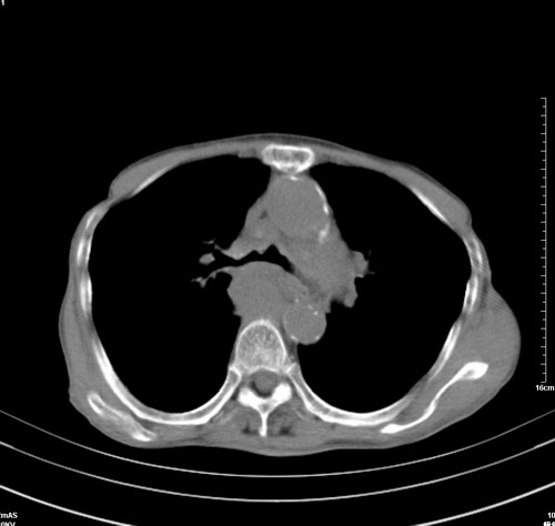
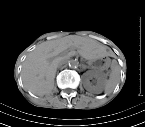
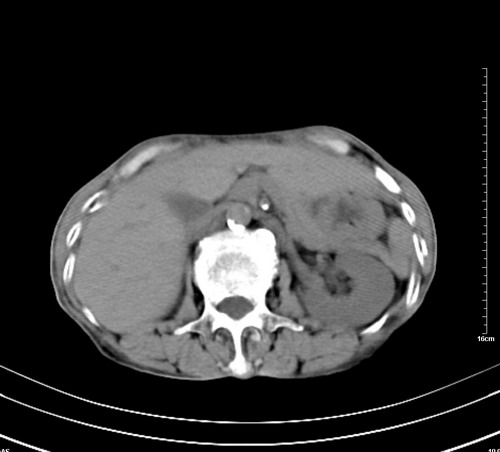
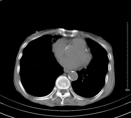
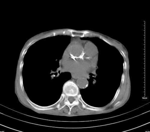
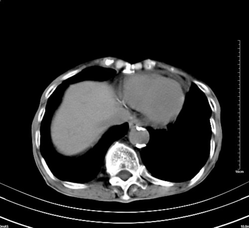
病人,女,79岁,主要因腹疼二月入院,彩超,肝,胆,脾,未见异常,胸透上消化道造影未见异常,化验白细胞增高,内科医生让做胸部ct检查,因为熟人多做了腹部(外科会诊考虑胆囊炎).现ct片如下请假各位战友.




















































[本贴已被 jiajie 于 2008-2-19 23:08:20 修改过]

作者: maliang01    时间: 2008-2-20 16:55
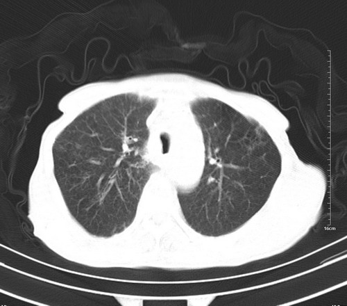
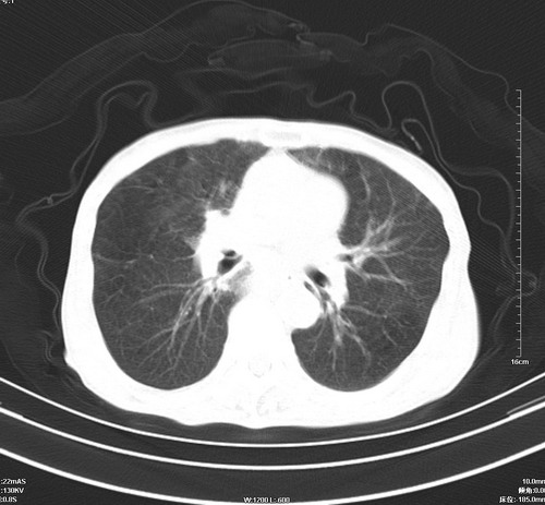
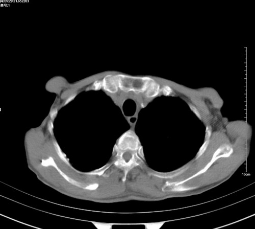
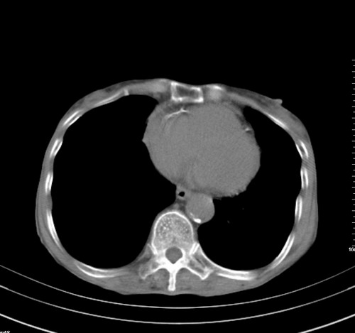
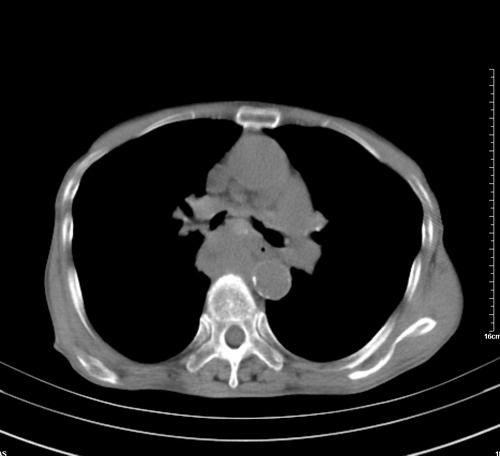
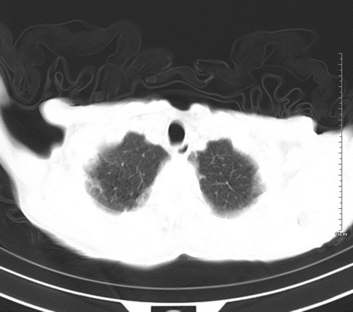
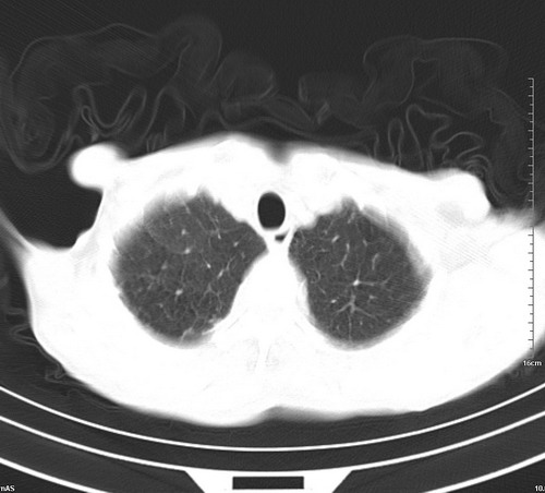
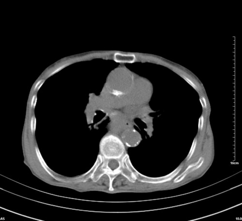
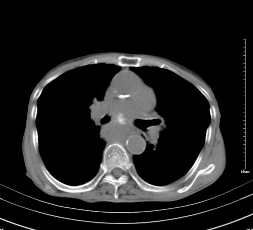
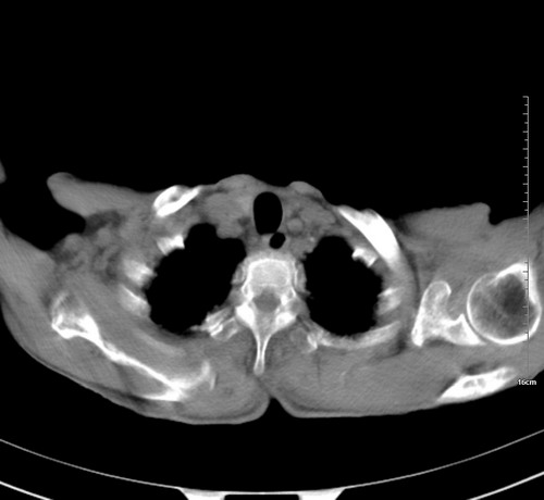
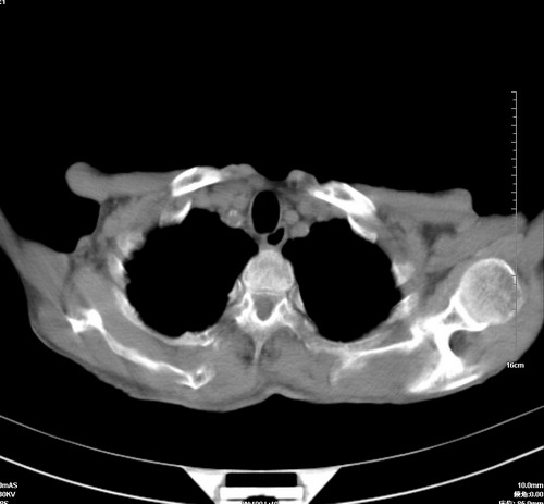
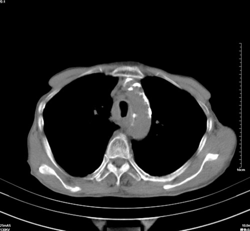
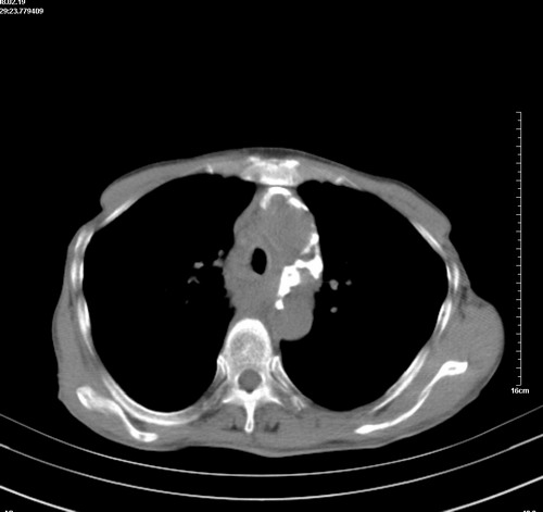
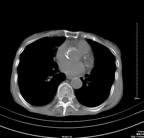
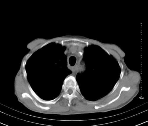
中后纵隔占位,气管、食道受压、变形、移位。恶性可能性大。
作者: dyqct    时间: 2008-2-20 17:25
考虑:中后纵隔转移瘤可能性大,主动脉硬化。
作者: 沙漠骆驼    时间: 2008-2-20 17:38
中后纵隔占位, 考虑:转移瘤不除外.
作者: mayuming0954    时间: 2008-2-20 17:44
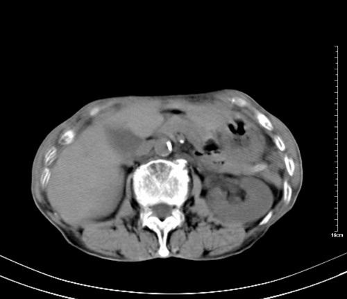
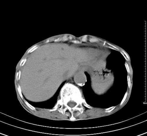
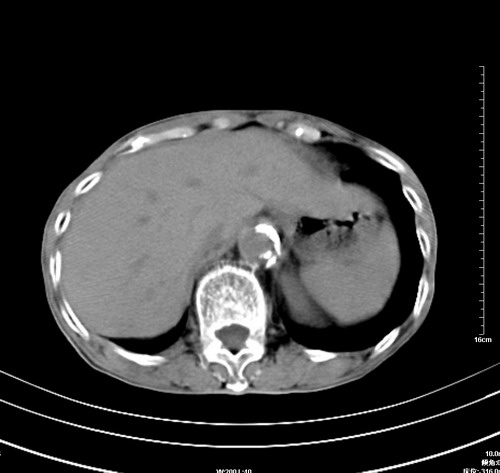
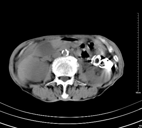
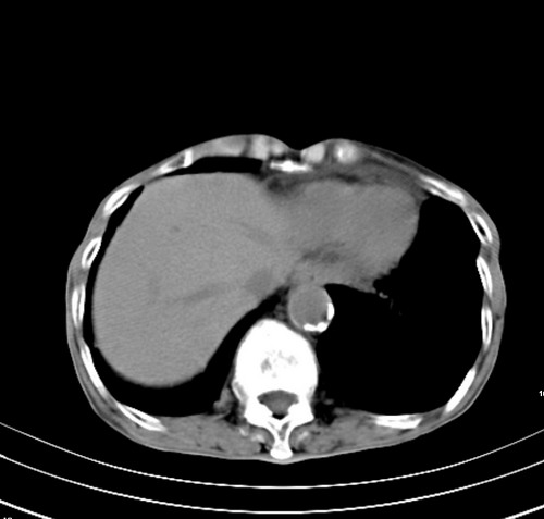
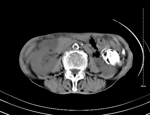
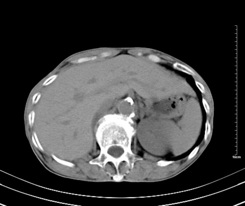
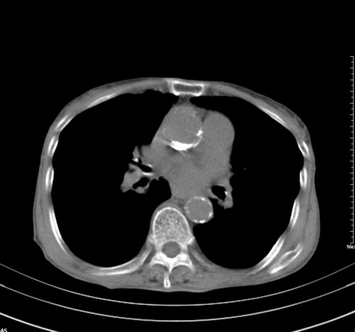
1 气管旁、隆突下淋巴结明显肿大,肝左叶外侧段低密影,都考虑转移。
2 肝右后叶下段明显增大,片状低密影,但因各种伪影显示不佳,不排除病变。
3 建议增强
作者: 主力军    时间: 2008-2-20 18:17
纵隔淋巴结肿大,考虑转移而来
作者: 代课学生    时间: 2008-2-20 18:41
和ct11773的腹部图像一样 只是性别不一样。
作者: 杀毒软件    时间: 2008-2-20 18:49
肺癌,纵隔淋巴结转移,肝左叶病变考虑为转移病灶。
作者: 随光逐影    时间: 2008-2-20 21:17
标题: 回复:ct11775:女 79岁腹疼二月
以下是引用dyqct在2008-2-20 9:25:00的发言:[br]考虑:中后纵隔转移瘤可能性大,主动脉硬化。

作者: wy232326    时间: 2008-2-20 23:38
中后纵隔转移瘤可能性大,主动脉硬化。
作者: zzyy    时间: 2008-2-20 23:45
中后纵隔转移瘤可能性大
作者: 港湾    时间: 2008-2-21 02:05
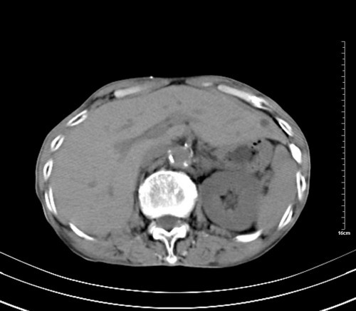
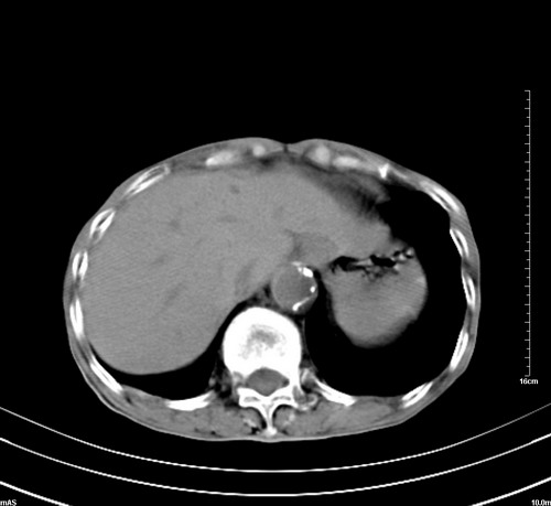
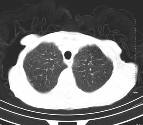
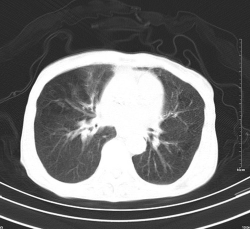
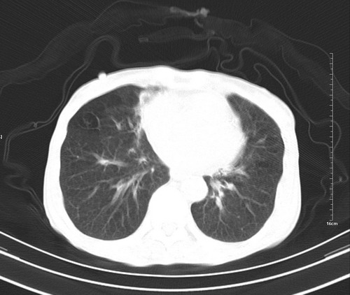
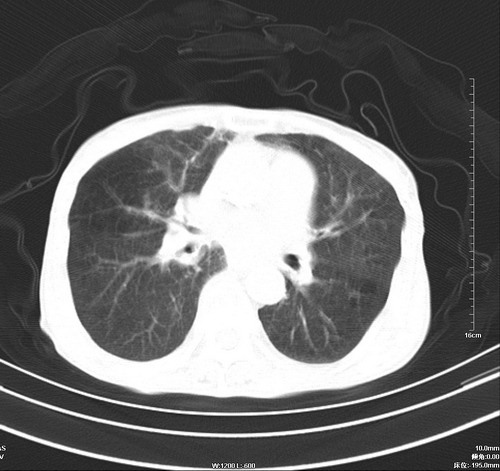
后中纵隔团块影,伴气管、食道受压移位,首先考虑转移瘤,肝s5段低密度灶。建议增强检查,另外其结肠是否有问题请提供,右肺部分肺叶局限含气增多,考虑局限肺气肿。
作者: zsl6918    时间: 2008-2-21 02:17
建议强化检查,考虑纵隔型肺癌,小细胞可能性大。
作者: 拾荒者    时间: 2008-2-21 04:10
后中纵隔团块影,伴气管、食道受压移位,首先考虑转移瘤,肝表现同11773。
作者: zhw974247    时间: 2008-2-21 04:10
中后纵隔转移瘤可能性大,主动脉硬化。
作者: xulianj    时间: 2008-2-21 04:32
后中纵隔淋巴结肿大,首先考虑转移瘤。
作者: 黑白光影    时间: 2008-2-21 05:41
中后纵隔转移瘤可能性大,主动脉硬化。
作者: 宇宙CT    时间: 2008-2-21 05:54
中后纵隔转移瘤可能性大,主动脉硬化
作者: zyx168    时间: 2008-3-15 07:42
考虑:中后纵隔转移瘤可能性大,主动脉硬化。  
   
和ct11773的腹部图像一样 只是性别不一样。
作者: qc80012345    时间: 2008-3-15 16:05
中后纵隔转移瘤;还是增强吧
作者: jinguoji    时间: 2008-3-28 20:32
中后纵隔转移瘤可能性大,主动脉硬化。
作者: tao772    时间: 2008-3-28 20:46
考虑:中后纵隔转移瘤可能性大,主动脉硬化。
作者: 形影不离    时间: 2008-3-28 20:48
考虑:中后纵隔转移瘤可能性大,冠状动脉及主动脉硬化。




欢迎光临 医影在线 (http://bbs.radida.com/bbs/) Powered by Discuz! X3.2