医影在线

标题: CT11813:是髓质海绵肾吗 [打印本页]

作者: lgm660927    时间: 2008-2-22 03:50
标题: CT11813:是髓质海绵肾吗
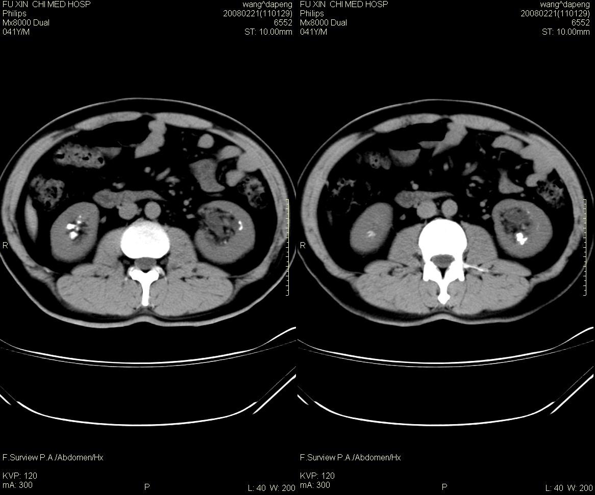
男,41岁,临床发现双肾结石10年。是髓质海绵肾吗?如何确诊。请战友指教。






[本贴已被 翁志蓬 于 2008-2-21 23:09:50 修改过]

作者: cyr88888    时间: 2008-2-22 03:56
海绵肾
作者: lijuanln    时间: 2008-2-22 04:03
能麻烦各位老师具体介绍一下何为海绵肾?非常感谢!
作者: xulianj    时间: 2008-2-22 04:09
海绵肾。支持
作者: 卜一    时间: 2008-2-22 04:14
髓质海绵肾是一种先天性的肾髓质囊性病变, 其特征为肾锥体部乳头管及集合管呈梭形或囊状扩张,并伴发感染和尿路结石形成。在肾标本切面上, 可见髓质中呈海绵状改变。ct平扫表现为肾盏旁锥体内多发小斑点状结石, 成扇形排列.增强扫描后扩张的肾集合管内结石周围有造影剂充盈, 无结石的肾锥体集合管呈条纹状或小囊状造影剂积聚,肾功能正常.
本例支持:髓质海绵肾
作者: lijuanln    时间: 2008-2-22 04:15
多谢卜一老师,学习了!
作者: 美人    时间: 2008-2-22 04:27
海绵肾,ct不仅对诊断本病有肯定的意义,更有助于海绵肾早期诊断和并发症的检出。
作者: 牵手    时间: 2008-2-22 04:27
还应该除外通风肾结石~`
作者: ydx_74    时间: 2008-2-22 04:30
海绵肾。我们通常下多发结石,因下海绵肾,临床不高兴的。再痛风也跟此差不多。
作者: 随光逐影    时间: 2008-2-22 04:32
双侧海绵肾。
    海绵肾是先天性的,可能是有遗传倾向的良性肾髓质囊性病变,常于40岁以后发现,易误诊断肾结石和尿路感染。其病理特征是肾小管远端集合小管扩张,形成小囊和囊性空腔,并位于肾盏连接处,易导致结石、感染等。病变一般为双侧性80%的病人部分或全部肾乳头受累。临床上病变局限,轻微者可无明显症状,常见的症状为腰痛、血尿、尿路感染及肾绞痛等。
    海绵肾的影像诊断主要靠静脉尿路造影,在平片上表现为双侧肾盏处侧有多发的小结石影。造影后显示肾乳头囊状扩张,内见单发或多发的钙化点,表现为环绕于肾盏、肾盂周围的多数囊腔,形似菜花。ct对海绵肾集合小管囊状扩张的空间分辨率不如ivu高,但对检出其中的小结石较x线敏感。因此,可疑海绵肾的影像诊断应结合上述两种检查。
    鉴别诊断:1)肾结石:位于肾盂或肾小盏内,增强后排泌的造影剂常把结石掩盖,较大的结石常使其以远的肾盏发生梗阻性积水。2)肾结核:一般常单侧发生,肾实质内可见单发或多发大小不等、形态不一的囊腔,囊壁有钙化斑,局部肾盏可见不规则的破坏或造影剂充盈不佳,常并发有肾盏、肾盂积水。3)肾乳头坏死:愈合期表现为集合小管内或周围弥散性钙盐沉积,钙化较海绵肾更广泛。
作者: 晨风    时间: 2008-2-22 04:49
学习了,感谢各位同仁!
作者: ZHANGZHONGSHOU    时间: 2008-2-22 05:21
符合髓质海绵肾
作者: 黑白光影    时间: 2008-2-22 05:32
海绵肾。支持
作者: 天南地北    时间: 2008-2-22 06:38
不是很支持海绵肾
海绵肾的钙化呈簇状
这个病例要与肾小盏结石及肾钙盐沉着症鉴别
作者: liuyue    时间: 2008-2-22 13:14
支持:髓质海绵肾。
作者: 宇宙CT    时间: 2008-2-22 16:44
侧海绵肾。
    海绵肾是先天性的,可能是有遗传倾向的良性肾髓质囊性病变,常于40岁以后发现,易误诊断肾结石和尿路感染。其病理特征是肾小管远端集合小管扩张,形成小囊和囊性空腔,并位于肾盏连接处,易导致结石、感染等。病变一般为双侧性80%的病人部分或全部肾乳头受累。临床上病变局限,轻微者可无明显症状,常见的症状为腰痛、血尿、尿路感染及肾绞痛等。
    海绵肾的影像诊断主要靠静脉尿路造影,在平片上表现为双侧肾盏处侧有多发的小结石影。造影后显示肾乳头囊状扩张,内见单发或多发的钙化点,表现为环绕于肾盏、肾盂周围的多数囊腔,形似菜花。ct对海绵肾集合小管囊状扩张的空间分辨率不如ivu高,但对检出其中的小结石较x线敏感。因此,可疑海绵肾的影像诊断应结合上述两种检查。
    鉴别诊断:1)肾结石:位于肾盂或肾小盏内,增强后排泌的造影剂常把结石掩盖,较大的结石常使其以远的肾盏发生梗阻性积水。2)肾结核:一般常单侧发生,肾实质内可见单发或多发大小不等、形态不一的囊腔,囊壁有钙化斑,局部肾盏可见不规则的破坏或造影剂充盈不佳,常并发有肾盏、肾盂积水。3)肾乳头坏死:愈合期表现为集合小管内或周围弥散性钙盐沉积,钙化较海绵肾更广泛。
作者: qiushi    时间: 2008-2-22 18:25
符合髓质海绵肾影像学表现
作者: jiangjing    时间: 2008-2-22 22:47
双侧海绵肾。
    海绵肾是先天性的,可能是有遗传倾向的良性肾髓质囊性病变,常于40岁以后发现,易误诊断肾结石和尿路感染。其病理特征是肾小管远端集合小管扩张,形成小囊和囊性空腔,并位于肾盏连接处,易导致结石、感染等。病变一般为双侧性80%的病人部分或全部肾乳头受累。临床上病变局限,轻微者可无明显症状,常见的症状为腰痛、血尿、尿路感染及肾绞痛等。
    海绵肾的影像诊断主要靠静脉尿路造影,在平片上表现为双侧肾盏处侧有多发的小结石影。造影后显示肾乳头囊状扩张,内见单发或多发的钙化点,表现为环绕于肾盏、肾盂周围的多数囊腔,形似菜花。ct对海绵肾集合小管囊状扩张的空间分辨率不如ivu高,但对检出其中的小结石较x线敏感。因此,可疑海绵肾的影像诊断应结合上述两种检查。
    鉴别诊断:1)肾结石:位于肾盂或肾小盏内,增强后排泌的造影剂常把结石掩盖,较大的结石常使其以远的肾盏发生梗阻性积水。2)肾结核:一般常单侧发生,肾实质内可见单发或多发大小不等、形态不一的囊腔,囊壁有钙化斑,局部肾盏可见不规则的破坏或造影剂充盈不佳,常并发有肾盏、肾盂积
作者: dyqct    时间: 2008-2-22 22:55
标题: 回复:ct11813:是髓质海绵肾吗
以下是引用卜一在2008-2-21 20:14:00的发言:[br]髓质海绵肾是一种先天性的肾髓质囊性病变, 其特征为肾锥体部乳头管及集合管呈梭形或囊状扩张,并伴发感染和尿路结石形成。在肾标本切面上, 可见髓质中呈海绵状改变。ct平扫表现为肾盏旁锥体内多发小斑点状结石, 成扇形排列.增强扫描后扩张的肾集合管内结石周围有造影剂充盈, 无结石的肾锥体集合管呈条纹状或小囊状造影剂积聚,肾功能正常.[br]本例支持:髓质海绵肾

精辟!学习了。
作者: wqs571018    时间: 2008-2-23 03:28
符合髓质海绵肾影像学表现。支持卜一老师!
作者: 02707626    时间: 2008-2-23 03:49
学习了
作者: 拾荒者    时间: 2008-2-23 03:55
以下是引用卜一在2008-2-21 20:14:00的发言:
髓质海绵肾是一种先天性的肾髓质囊性病变, 其特征为肾锥体部乳头管及集合管呈梭形或囊状扩张,并伴发感染和尿路结石形成。在肾标本切面上, 可见髓质中呈海绵状改变。ct平扫表现为肾盏旁锥体内多发小斑点状结石, 成扇形排列.增强扫描后扩张的肾集合管内结石周围有造影剂充盈, 无结石的肾锥体集合管呈条纹状或小囊状造影剂积聚,肾功能正常.
本例支持:髓质海绵肾
谢谢!学习了。
作者: 当当涛涛    时间: 2008-2-23 04:03
海绵肾
作者: 宝天曼    时间: 2008-2-23 17:06
多谢卜一老师,学习了!
作者: LIAOQIANG    时间: 2008-2-23 19:16
支持海绵肾。
作者: zsl6918    时间: 2008-2-23 22:11
支持髓质海绵肾的诊断
作者: wy232326    时间: 2008-2-23 23:28
以下是引用卜一在2008-2-21 20:14:00的发言:
髓质海绵肾是一种先天性的肾髓质囊性病变, 其特征为肾锥体部乳头管及集合管呈梭形或囊状扩张,并伴发感染和尿路结石形成。在肾标本切面上, 可见髓质中呈海绵状改变。ct平扫表现为肾盏旁锥体内多发小斑点状结石, 成扇形排列.增强扫描后扩张的肾集合管内结石周围有造影剂充盈, 无结石的肾锥体集合管呈条纹状或小囊状造影剂积聚,肾功能正常.
本例支持:髓质海绵肾
多谢卜一老师,学习了!
作者: jinguoji    时间: 2008-3-9 05:47
支持海绵肾,学习了。
作者: 远征    时间: 2008-3-11 06:02
支持髓质海绵肾。msk是1939年由lenarduzzi首先报道,1948由cacchi等命名为髓质海绵肾。
作者: 黑金    时间: 2008-3-11 06:12
学习了
作者: zhangzhipo    时间: 2008-3-16 18:01
肾盏远端多发点状骨密度影;肾实质细管点壮水密度影;海绵肾须考滤
作者: zyx168    时间: 2008-8-11 08:01
髓质海绵肾
作者: dr.yang    时间: 2012-1-30 23:13
学习了
作者: wqs_120    时间: 2012-2-3 09:06
应该是
作者: 草上飞.    时间: 2012-2-3 21:59
符合髓质海绵肾 再次共同学习




欢迎光临 医影在线 (http://bbs.radida.com/bbs/) Powered by Discuz! X3.2