医影在线

标题: X3452:胸部不适! [打印本页]

作者: shulongd    时间: 2008-2-23 22:44
标题: X3452:胸部不适!
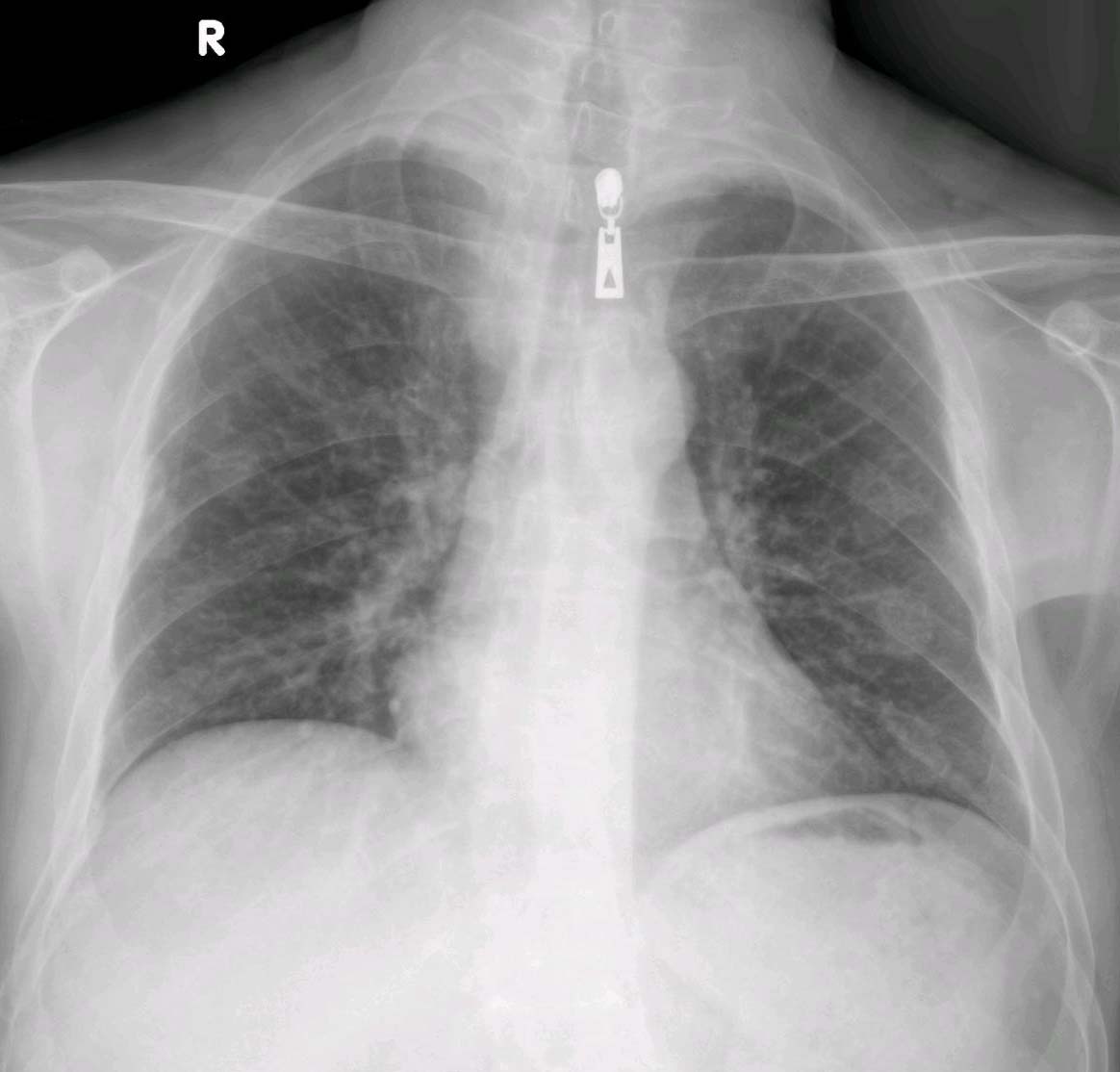
15天前外伤,现胸部不适!片子请帮看看!



[本贴已被 jiajie 于 2008-2-23 14:47:57 修改过]

作者: zhangkai    时间: 2008-2-23 23:13
多发、陈旧性肋骨骨折。
作者: qsbaomingcheng    时间: 2008-2-23 23:35
多发陈旧性肋骨骨折。
作者: DYQCT    时间: 2008-2-23 23:42
考虑:1、左侧3-5前肋骨折;
      2、右侧第8肋腋侧骨折;
      3、必要时请做ct进一步检查。
作者: 42573734    时间: 2008-2-23 23:44
多发肋骨骨折
作者: 黑白光影    时间: 2008-2-24 00:32
左侧胸廓腋缘多发性肋骨折,象是陈旧性的。
两侧肺野内亦可见多个类似小块状影,建议作ct检查排除肺部新生物可能。
作者: wy232326    时间: 2008-2-24 00:45
多发陈旧性肋骨骨折,必要时做ct进一步检查。
作者: 随光逐影    时间: 2008-2-24 01:36
建议:行ct扫描检查。
作者: jinguoji    时间: 2008-2-24 02:24
多发陈旧性肋骨骨折,必要时做ct进一步检查。
作者: hexue    时间: 2008-2-24 03:19
多发性肋骨骨折 片子也太不清楚了
作者: 胡志兴    时间: 2008-2-24 03:59
标题: 回复:x3452:胸部不适!
以下是引用dyqct在2008-2-23 15:42:00的发言:[br]考虑:1、左侧3-5前肋骨折;[br]      2、右侧第8肋腋侧骨折;[br]      3、必要时请做ct进一步检查。

作者: shilong    时间: 2008-2-24 04:13
是不是湿肺吸收不全,机化所制的含铁血黄素结节,还有请大夫一定要注意患者的年龄及病势的提供,要不然真的很难诊断,
作者: luoxinjun    时间: 2008-2-24 04:50
1多发肋骨骨折
2机化性肺炎可能
作者: ml2007    时间: 2008-2-24 05:45
多发肋骨骨折
作者: 358450m    时间: 2008-2-24 06:01
右第3前肋骨折
作者: 358450m    时间: 2008-2-24 06:03
多发、陈旧性肋骨骨折。
作者: xulianj    时间: 2008-2-24 06:41
多发陈旧性肋骨骨折,必要时做ct进一步检查。
作者: taky    时间: 2008-2-24 10:58
多发肋骨骨折
作者: 杀毒软件    时间: 2008-2-24 17:09
标题: 回复:x3452:胸部不适!
以下是引用dyqct在2008-2-23 15:42:00的发言:[br]考虑:1、左侧3-5前肋骨折;[br]      2、右侧第8肋腋侧骨折;[br]      3、必要时请做ct进一步检查。

支持
作者: 一剑飘红    时间: 2008-2-24 22:22
多发陈旧肋骨骨折
作者: zhangkening    时间: 2008-2-25 01:09
双肺散在的结节状密度灶,我觉得不是骨痂,所以我考虑是肺转移.
作者: zhm101    时间: 2008-2-25 06:02
多发性肋骨骨折 片子也太不清楚了
作者: deltoid    时间: 2008-2-26 01:24
多发陈旧性肋骨骨折。
作者: shibing    时间: 2013-10-11 08:06
考虑:1、左侧3-5前肋骨折;
2、右侧第8肋腋侧骨折;
3、必要时请做ct进一步检查。




欢迎光临 医影在线 (http://bbs.radida.com/bbs/) Powered by Discuz! X3.2