医影在线
标题: CT11864:男,47岁,反复咳嗽、咯痰、咯血3年,请分析. [打印本页]
作者: 邓 时间: 2008-2-26 00:56
标题: CT11864:男,47岁,反复咳嗽、咯痰、咯血3年,请分析.
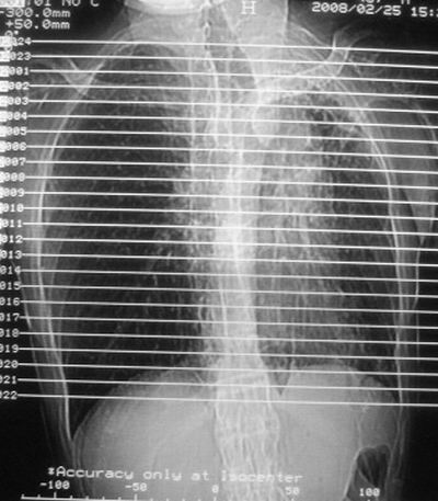
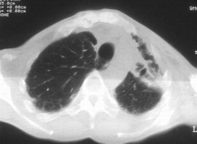
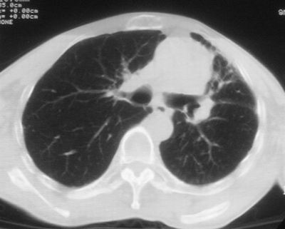
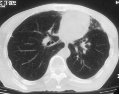
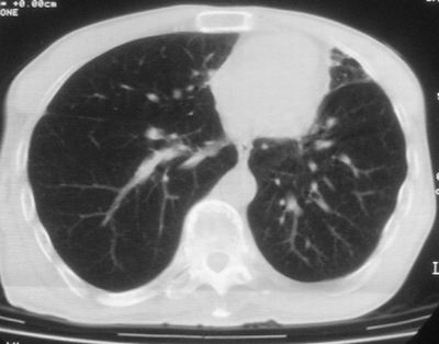
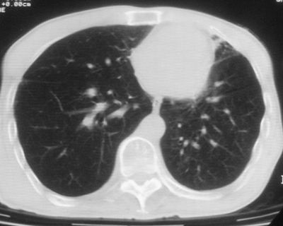
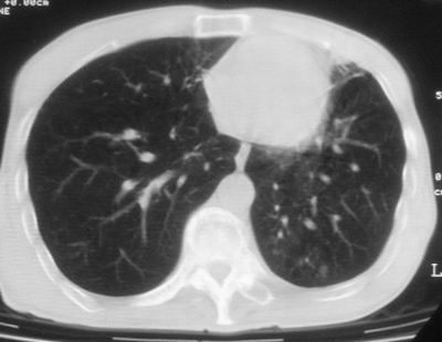
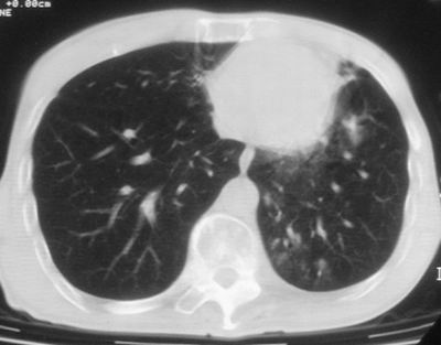
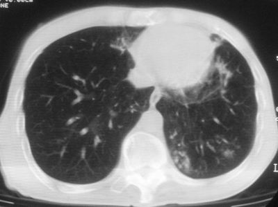
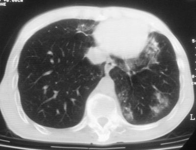
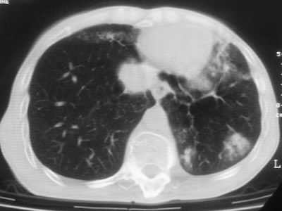
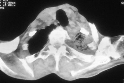
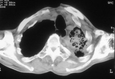
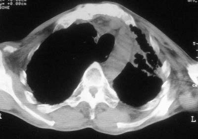
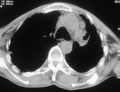
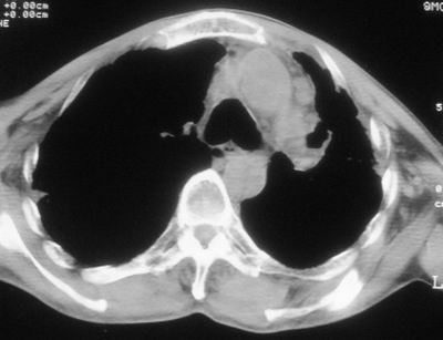
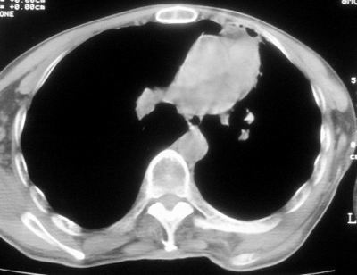
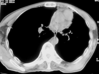
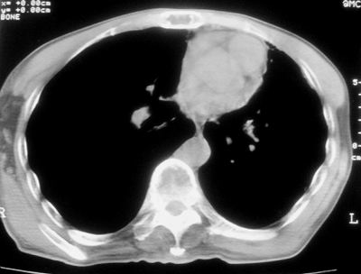
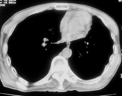
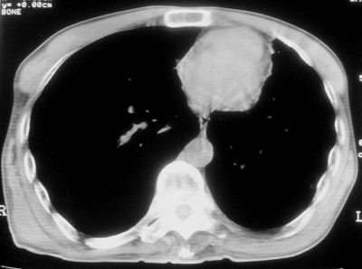
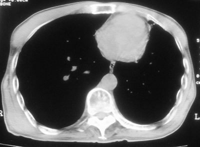
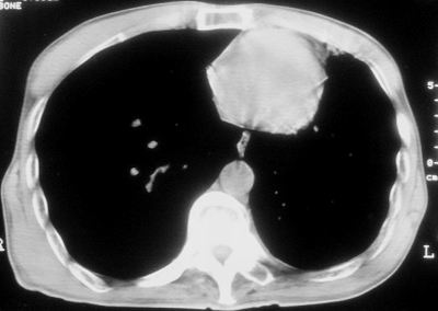
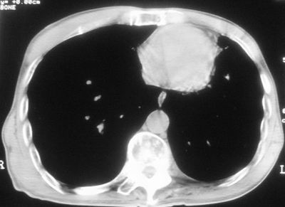
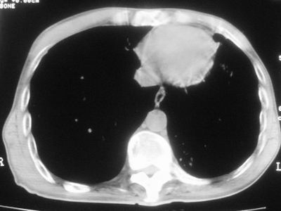
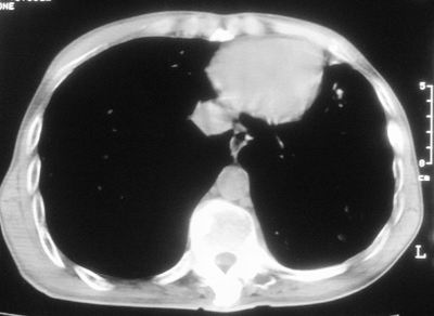
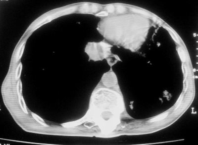
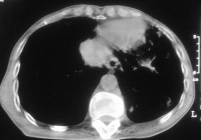
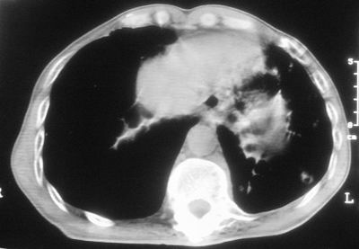
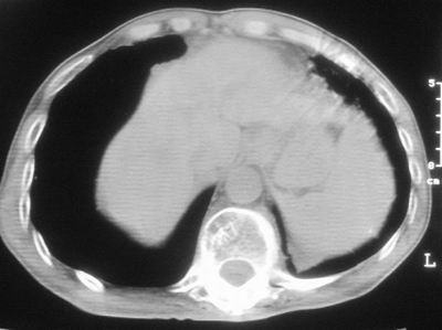
患者,男,47岁,反复咳嗽、咯痰、咯血3年,再发5天。痰培养未找到真菌、抗酸杆菌、癌细胞。


















































[本贴已被 jiajie 于 2008-2-26 8:57:43 修改过]
作者: maliang01 时间: 2008-2-26 01:03
象肺tb表现
作者: 邓 时间: 2008-2-26 01:07
痰检,痰培养,抗酸杆菌(-),ppd弱阳性
作者: 312nanyang 时间: 2008-2-26 01:12
左上肺肺结核可能。左下肺合并感染
作者: 影象小泰斗 时间: 2008-2-26 01:52
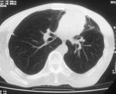
胸片上看很像“垂柳征”,支持肺结核!左下肺炎症!还有肺气肿!
作者: 前行 时间: 2008-2-26 02:37
查痰结核杆菌阴也不能完全排除肺结核。建议抗痨治疗后复查。
作者: tianjinjun 时间: 2008-2-26 02:37
支持肺结核!左下肺炎症!还有肺气肿
作者: 杀毒软件 时间: 2008-2-26 02:40
肺tb,胸膜肥厚,肺气肿。。
作者: 老爱克斯 时间: 2008-2-26 02:53
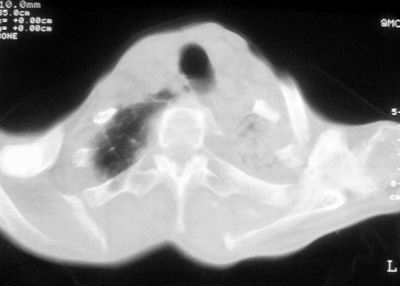
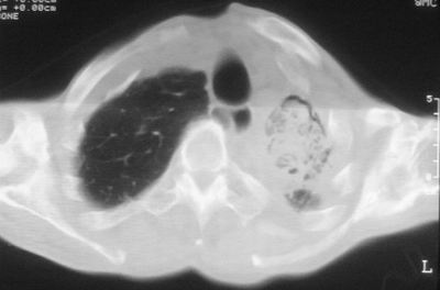
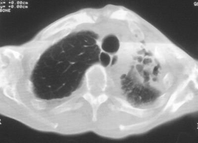
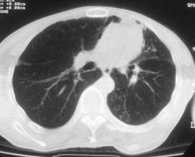
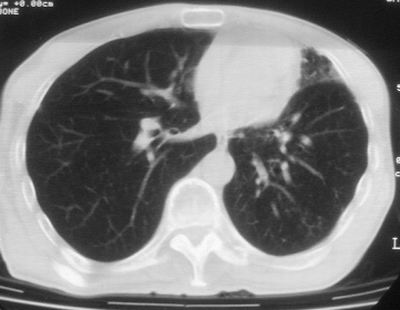
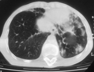
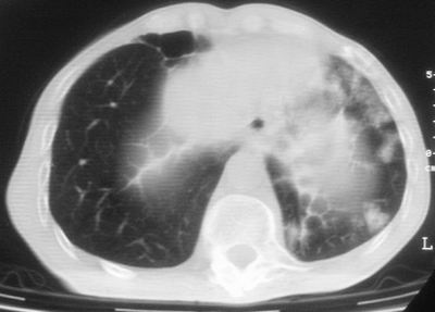
左肺上叶体积明显缩小,其内见多发透光区,纵隔向左侧移位,左肺下叶多发班片状病灶,边界模糊,1左肺上叶先天肺发育不全,2左肺下叶肺炎,
作者: gaoxiao 时间: 2008-2-26 03:09
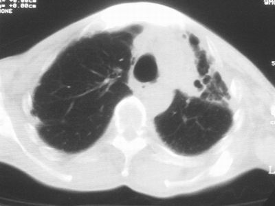
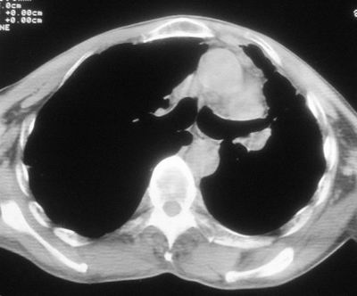
左肺上叶结核伴肺纤维化,纵隔移位,左肺下叶感染性病变,建议抗炎抗结核后复查,双肺气肿.
作者: 宝天曼 时间: 2008-2-26 03:11
支持肺结核!左下肺炎症!还有肺气肿
作者: 青石¥ 时间: 2008-2-26 03:45
左肺结核并感染。
作者: 求知若渴 时间: 2008-2-26 03:53
1.左肺上叶慢纤空2.左肺下叶炎症
作者: 玉真 时间: 2008-2-26 04:16
支持肺tb,左下肺感染建议抗炎抗结核后复查
作者: 卜一 时间: 2008-2-26 04:32
左肺结核并感染。
作者: jsgdoctor 时间: 2008-2-26 04:46
左肺上叶体积明显缩小,其内见多发透光区,纵隔向左侧移位,左肺下叶多发班片状病灶,边界模糊,1左肺上叶先天肺发育不全
作者: xulianj 时间: 2008-2-26 05:01
左肺上叶结核伴肺纤维化,纵隔移位,左肺下叶感染性病变,建议抗炎抗结核后复查,双肺气肿.
作者: 拾荒者 时间: 2008-2-26 05:45
标题: 回复:胸部病变,请分析.
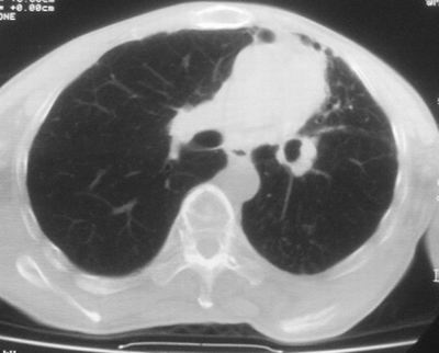
以下是引用xulianj在2008-2-25 21:01:00的发言:[br]左肺上叶结核伴肺纤维化有霉菌球形成,纵隔移位,左肺下叶感染性病变,建议抗炎抗结核后复查,双肺气肿.
[本贴已被 拾荒者 于 2008-2-26 20:46:05 修改过]
作者: zsl6918 时间: 2008-2-26 16:54
慢性病变过程合并有感染。
作者: dyqct 时间: 2008-2-26 18:09
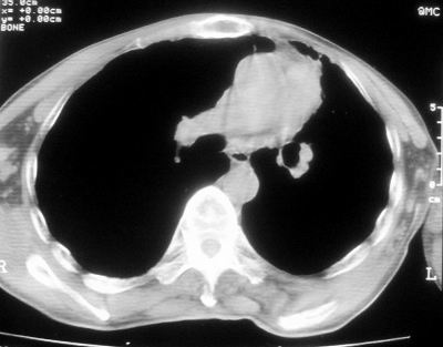
考虑:左肺慢纤伴霉菌球形成、双肺全小叶型肺气肿。
作者: 随光逐影 时间: 2008-2-26 21:12
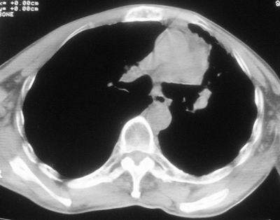
1)考虑为:左肺上叶肺结核(空洞形成),伴左下肺感染;不排除霉菌感染可能。2)肺气肿。
作者: 黑白光影 时间: 2008-2-26 21:50
左肺上叶结核伴肺纤维化空洞形成并左肺下叶感染,纵隔牵拉移位,建议作进一步检查排除左侧肺霉菌感染可能。
作者: zyx168 时间: 2008-8-13 08:08
左肺结核并感染。
作者: hqr123 时间: 2008-8-13 09:43
左上肺发育不良并支扩,慢支肺气肿并感染。
| 欢迎光临 医影在线 (http://bbs.radida.com/bbs/) |
Powered by Discuz! X3.2 |