医影在线

标题: CT11877:[原创]颅脑CT片,请大家看看! [打印本页]

作者: xhsmx    时间: 2008-2-26 17:24
标题: CT11877:[原创]颅脑CT片,请大家看看!
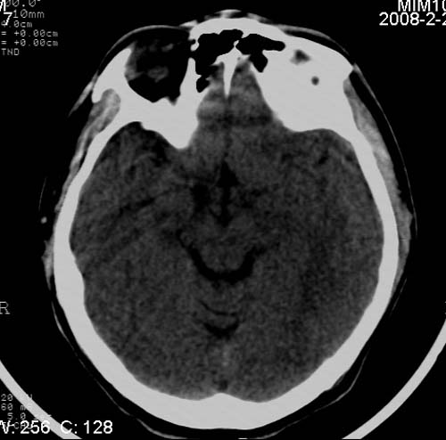
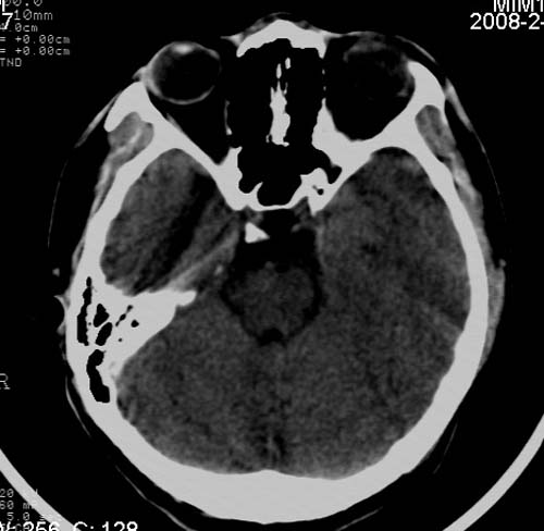
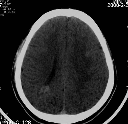
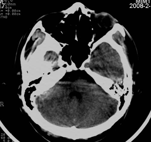
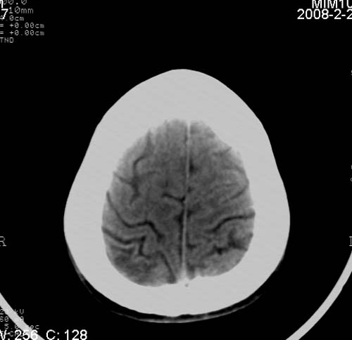
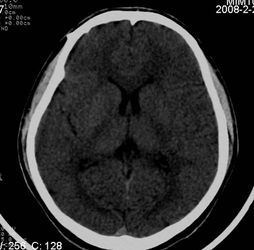
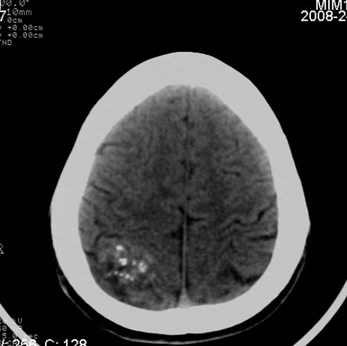
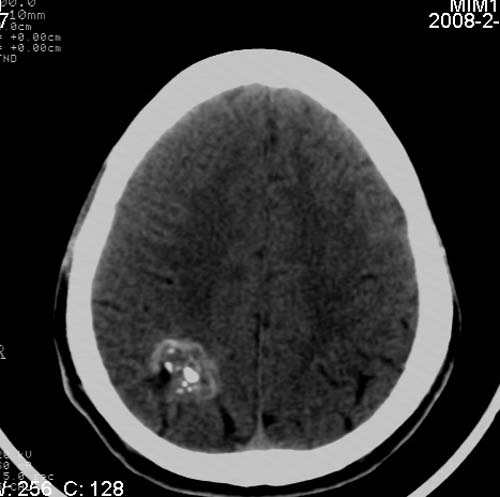
男,17岁,3天前与人斗殴,自述头痛、头晕。无恶心、呕吐,无阳性体征,一般情况良好。











[本贴已被 翁志蓬 于 2008-2-26 10:43:45 修改过]

作者: 青石¥    时间: 2008-2-26 18:31
海绵状血管瘤,建议mri检查!
作者: dyqct    时间: 2008-2-26 18:39
考虑:右顶叶avm或海绵状血管瘤,建议增强进一步检查。
作者: liuqiang    时间: 2008-2-26 18:42
考虑:右顶叶avm或海绵状血管瘤,建议增强进一步检查。
作者: zjzjr    时间: 2008-2-26 18:57
其内似可见脂肪密度影,考虑畸胎瘤可能性大.
作者: 向医生    时间: 2008-2-26 19:07
标题: 回复:ct11877:[原创]颅脑ct片,请大家看看!
     病灶以钙化为主,无明显占位效应,病灶周围无水肿,这种情况应该是脑血管畸形,最多见的是动静脉畸形,其次是海绵状血管瘤.
作者: zzyy    时间: 2008-2-26 19:26
病灶以钙化为主,无明显占位效应,病灶周围无水肿,这种情况应该是脑血管畸形,最多见的是动静脉畸形,其次是海绵状血管瘤.
作者: 旭阳    时间: 2008-2-26 20:19
标题: 回复:ct11877:[原创]颅脑ct片,请大家看看!
以下是引用向医生在2008-2-26 11:07:00的发言:[br][br]      病灶以钙化为主,无明显占位效应,病灶周围无水肿,这种情况应该是脑血管畸形,最多见的是动静脉畸形,其次是海绵状血管瘤.

作者: 随光逐影    时间: 2008-2-26 20:26
考虑为:右侧顶叶脑血管畸形。建议:行进一步检查明确诊断。
作者: xuhuihong    时间: 2008-2-26 20:42
病灶以钙化为主,无明显占位效应,病灶周围无水肿,这种情况应该是脑血管畸形,最多见的是动静脉畸形,其次是海绵状血管瘤.建议dsa进一步检查。
作者: 赖医生    时间: 2008-2-26 20:43
建议增强进一步检查
作者: HARRY    时间: 2008-2-26 22:45
考虑:右顶叶avm或海绵状血管瘤,建议增强进一步检查。
作者: 山东凡人    时间: 2008-2-26 23:00
右顶叶血管瘤
作者: zsl6918    时间: 2008-2-26 23:03
考虑脑血管畸形或海绵状血管瘤可能性大
作者: LIAOQIANG    时间: 2008-2-26 23:14
考虑脑血管畸形(动静脉畸形?海绵状血管瘤?)。
作者: wy232326    时间: 2008-2-26 23:16
支持考虑脑血管畸形(动静脉畸形?海绵状血管瘤?)。
作者: yangyudong333    时间: 2008-2-26 23:45
考虑为:右侧顶叶脑血管畸形。建议:行进一步检查明确诊断
作者: peijunlong    时间: 2008-2-26 23:49
支持脑血管畸形
作者: shenhs    时间: 2008-2-27 00:34
右顶叶avm或海绵状血管瘤
作者: 形影不离    时间: 2008-2-27 00:44
考虑右侧顶叶脑血管畸形;avm可能性大。建议:mri检查。
作者: 新竹平易    时间: 2008-2-27 01:46
右顶叶avm或海绵状血管瘤,建议增强进一步检查。
作者: 拾荒者    时间: 2008-2-27 03:48
病灶以钙化为主,无明显占位效应,病灶周围无水肿,这种情况应该是脑血管畸形,最多见的是动静脉畸形,其次是海绵状血管瘤.
病人较年轻,有头疼、头晕症状,动静脉畸形可能性大。
作者: xulianj    时间: 2008-2-27 04:42
考虑:右顶叶avm或海绵状血管瘤,建议增强进一步检查。
作者: xhsmx    时间: 2008-2-27 17:22
谢谢大家的讨论!已经建议其做dsa检查!
作者: shuhuang2007    时间: 2008-2-27 17:28
考虑右顶叶avm或海绵状血管瘤,建议增强进一步检查。
作者: zyx168    时间: 2008-8-16 08:22
考虑:右顶叶avm或海绵状血管瘤




欢迎光临 医影在线 (http://bbs.radida.com/bbs/) Powered by Discuz! X3.2