医影在线

标题: CT11878:F46Y,颈后区肿块. [打印本页]

作者: 旭阳    时间: 2008-2-26 18:50
标题: CT11878:F46Y,颈后区肿块.
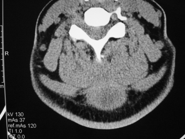
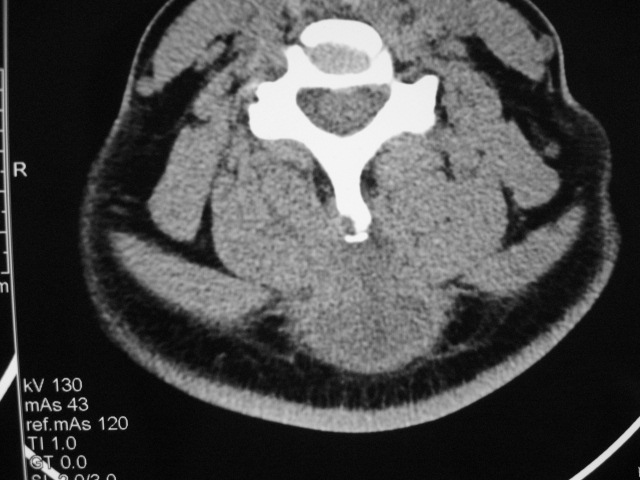
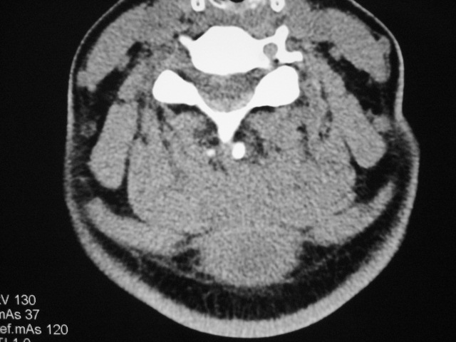
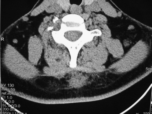
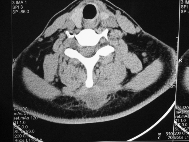
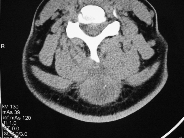
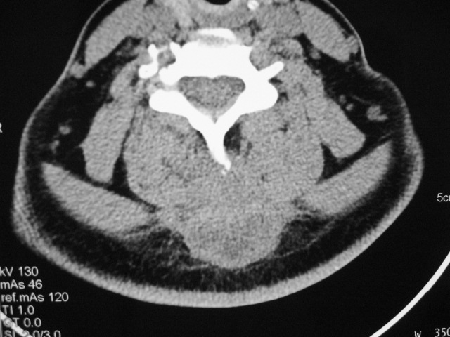
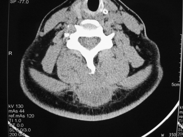
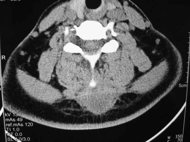
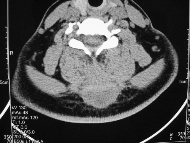
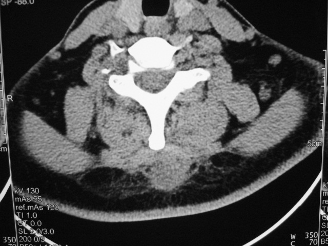
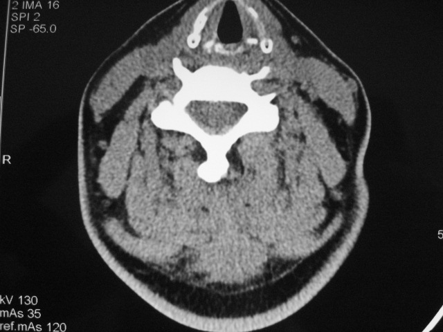
女,46岁,发现颈后区肿块3月余.
















[本贴已被 jiajie 于 2008-2-26 11:38:05 修改过]

作者: zjzjr    时间: 2008-2-26 20:20
请告知临床症状,考虑脓肿可能性大,
作者: 青石¥    时间: 2008-2-26 20:25
颈后软组织肿块,内可见坏死区及点状钙化,邻近颈椎棘突可见破坏,邻近肌间隙模糊,肿块周围脂肪间隙可见索条状影。
考虑:1)感染,结核可能;
      2)肿瘤不能排除。
作者: qiuleiyu    时间: 2008-2-26 20:33
肌纤维瘤>感染性病变.
作者: xuhuihong    时间: 2008-2-26 20:45
颈后软组织肿块,内可见坏死区及点状钙化,邻近颈椎棘突可见破坏,邻近肌间隙模糊,肿块周围脂肪间隙可见索条状影。
考虑:1)感染,结核可能;
      2)肿瘤不能排除。  
  
支持!
作者: 沙漠骆驼    时间: 2008-2-26 22:25
1 请多提供临床资料?
            2 从影象形态及密度, 考虑:感染性病变可能性大.
                                                其它病变待排除.{ 结合临床 }
作者: dyqct    时间: 2008-2-26 22:48
考虑:起源于项韧带的硬纤维瘤可能性大,建议活检进一步检查。
作者: zsl6918    时间: 2008-2-26 23:04
考虑软组织的良性肿瘤
作者: 旭阳    时间: 2008-2-26 23:18
临床无明显其它症状.
作者: 宇宙ct    时间: 2008-2-26 23:29
颈后软组织肿块,内可见坏死区及点状钙化,邻近颈椎棘突可见破坏,邻近肌间隙模糊,肿块周围脂肪间隙可见索条状影。
考虑:1)感染,结核可能;
      2)肿瘤不能排除。  
  
支持!
作者: wangjj555    时间: 2008-2-26 23:49
肌纤维瘤>感染性病变
作者: peijunlong    时间: 2008-2-26 23:55
还是考虑感染性病变。以慢性脓肿可能性大。
作者: shenhs    时间: 2008-2-27 00:33
硬纤维瘤可能性大
作者: ksx1980    时间: 2008-2-27 01:25
是颈部还是项部?能指明一下吗?
作者: 拾荒者    时间: 2008-2-27 03:34
颈后软组织肿块,内可见坏死区及点状钙化,邻近颈椎棘突可见破坏,邻近肌间隙模糊,肿块周围脂肪间隙可见索条状影。
考虑:1)感染,结核可能;
      2)肿瘤不能排除。  
  
支持!
作者: xulianj    时间: 2008-2-27 04:38
考虑:感染性病变可能性大.
作者: lijuanln    时间: 2008-2-27 05:57
标题: 回复:ct11878:f46y,颈后区肿块.
以下是引用dyqct在2008-2-26 14:48:00的发言:[br]考虑:起源于项韧带的硬纤维瘤可能性大,建议活检进一步检查。

作者: ZHANGZHONGSHOU    时间: 2008-2-27 15:45
颈后部结核性脓肿可能性大,侵犯临近颈椎棘突,建议进一步检查并照胸片。
作者: zhangkai    时间: 2008-2-27 17:24
标题: 回复:ct11878:f46y,颈后区肿块.
以下是引用zhangzhongshou在2008-2-27 7:45:00的发言:[br]颈后部结核性脓肿可能性大,侵犯临近颈椎棘突,建议进一步检查并照胸片。

支持!
作者: shuhuang2007    时间: 2008-2-27 17:40
考虑颈后区良性肿瘤可能,不排除感染。
作者: 形影不离    时间: 2008-2-27 18:55
考虑:起源于项韧带的硬纤维瘤可能性大,建议活检进一步检查。  
   

dyqct说
支持! !
作者: jinguoji    时间: 2008-2-27 19:14
颈后软组织肿块,内可见坏死区及点状钙化,邻近颈椎棘突可见破坏,邻近肌间隙模糊,肿块周围脂肪间隙可见索条状影。
考虑:1)感染,结核可能;
      2)肿瘤不能排除。  
  支持!
作者: zyx168    时间: 2008-8-16 08:24
考虑:起源于项韧带的硬纤维瘤可能性大,建议活检进一步检查。  
  
支持! !




欢迎光临 医影在线 (http://bbs.radida.com/bbs/) Powered by Discuz! X3.2