医影在线

标题: CT11931:请看看有无异常!! [打印本页]

作者: mao    时间: 2008-2-29 23:33
标题: CT11931:请看看有无异常!!
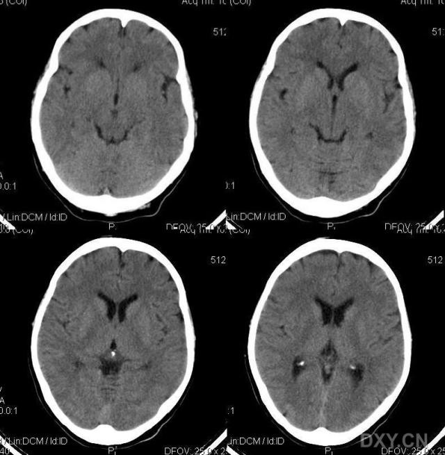
女性,62岁.头顶部不适,自述"头顶发凉"多年.









[本贴已被 jiajie 于 2008-2-29 16:16:47 修改过]

作者: mao    时间: 2008-2-29 23:37
这是我丈母娘的头颅平扫,同事在丁香园发了2天,没有回复。今天我值班回来,在医影在线发一发。让各位高手帮我看看。
作者: 形影不离    时间: 2008-2-29 23:37
颅内无异常,骨窗呢?
作者: 老金    时间: 2008-2-29 23:47
还好啊
作者: sungh    时间: 2008-3-1 00:06
脑内未见异常,顶部头皮下怎么有多个点状高密度影?重建个骨窗吧!
作者: dyqct    时间: 2008-3-1 00:08
颅内平扫未见异常。
作者: 宇宙CT    时间: 2008-3-1 00:32
脑内未见异常,顶部头皮下怎么有多个点状高密度影?重建个骨窗吧!
作者: mao    时间: 2008-3-1 00:34
头皮下多个点状高密度影,ct值220hu左右,考虑是什么东西
作者: sl789    时间: 2008-3-1 00:42
颅脑内未见异常
作者: LIAOQIANG    时间: 2008-3-1 01:14
颅脑平扫未见异常。
作者: ZHANGZHONGSHOU    时间: 2008-3-1 01:34
未见明显异常
作者: 随光逐影    时间: 2008-3-1 01:40
颅脑ct轴位平扫颅内未见明确异常。
作者: mao    时间: 2008-3-1 01:49
头顶部皮下软组织内多个点状高密度影,ct值220hu左右,考虑是什么东西???
作者: zjzjr    时间: 2008-3-1 01:51
颅内ct平扫未间异常。顶部皮下可见多发小点状钙化影,病人无个伤排除异物情况下,考虑囊虫病后遗改变,建议上传软组织窗。
作者: hhcckk    时间: 2008-3-1 02:08
首先排除异物的可能
作者: yangyudong333    时间: 2008-3-1 02:28
颅内平扫未见异常。
作者: 拾荒者    时间: 2008-3-1 02:53
颅顶部皮下多发小结节状高密度影,边缘锐利;颅内未见异常,结合有头顶发凉病史,考虑多发静脉石可能。
作者: happyverycd    时间: 2008-3-1 03:00
颅脑ct轴位平扫颅内未见明确异常。顶部皮下可见多发小点状高密度影,首先排除异物的可能
作者: wwp    时间: 2008-3-1 03:49
脑内未见异常,顶部头皮下怎么有多个点状高密度影?重建个骨窗吧
作者: 徐飞    时间: 2008-3-1 03:53
头顶皮肤感觉受颈2神经支配,建议查颈椎
作者: 前行    时间: 2008-3-1 04:20
未见明显异常,必时mr检查。
作者: yanguoliang    时间: 2008-3-1 04:53
看看骨床啊,不行做个mri啊
作者: xulianj    时间: 2008-3-1 05:13
未见异常
作者: mao    时间: 2008-3-1 05:53
患者没有明显外伤史,对于囊虫病,我觉的为什么只局限在头顶部皮下,而颅内一切正常。我比较倾向于静脉石可能。
作者: zsl6918    时间: 2008-3-1 19:07
如除外异物那就考虑良性钙化,告诉丈母娘别紧张,没事的。
作者: swyyy2007    时间: 2008-3-1 23:18
未见异常
作者: jinguoji    时间: 2008-3-1 23:25
颅脑平扫未见异常。
作者: zhw974247    时间: 2008-3-2 04:01
颅脑ct轴位平扫颅内未见明确异常。顶部皮下可见多发小点状高密度影,首先排除异物的可能
作者: jsgdoctor    时间: 2008-3-3 16:23
颅内平扫未见异常。
作者: zyx168    时间: 2008-8-18 07:28
平扫未见异常




欢迎光临 医影在线 (http://bbs.radida.com/bbs/) Powered by Discuz! X3.2