医影在线
标题: CT11938:头外伤 [打印本页]
作者: 豫章 时间: 2008-3-1 04:17
标题: CT11938:头外伤
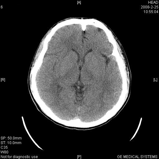
男,23岁,下颌部外伤一天,主因头痛、头晕、左面部麻木来院。两年前有外伤史,至左眼视力差。余无异常。骨窗未见异常故未上传。











[本贴已被 翁志蓬 于 2008-2-29 22:44:42 修改过]
[本贴已被 豫章 于 2008-2-29 22:50:55 修改过]
作者: hhcckk 时间: 2008-3-1 04:22
增强吧,可能是颈动脉—海绵窦瘘
作者: zf197545 时间: 2008-3-1 04:28
做增强扫描吧,外伤引起的颈动脉海绵窦瘘可能性最大.
作者: 形影不离 时间: 2008-3-1 04:32
考虑为:左侧颈动脉—海绵窦瘘。建议:行ct增强扫描检查。
作者: sungh 时间: 2008-3-1 04:40
左侧海绵窦区高密度肿块影,颈动脉—海绵窦瘘不排除,不过患者眼上静脉无增粗,无突眼,也不能排除血管瘤的可能,建议增强扫描。外伤病人应该有骨窗。
作者: 难民 时间: 2008-3-1 04:41
支持
作者: xulianj 时间: 2008-3-1 05:11
左侧海绵窦区高密度肿块影,颈动脉—海绵窦瘘不排除,不过患者眼上静脉无增粗,无突眼,也不能排除血管瘤的可能,建议增强扫描。外伤病人应该有骨窗。
作者: zylcq608 时间: 2008-3-1 05:19
1、左侧海绵窦血管瘤。2、左顶后叶高密度影,建议增强扫描,血管瘤可能,脑白质异位待排。
作者: 宇宙CT 时间: 2008-3-1 06:51
做增强扫描吧,外伤引起的颈动脉海绵窦瘘可能性最大.
作者: guanaishengming 时间: 2008-3-1 08:10
mri检查吧,象多发血管瘤
作者: happyverycd 时间: 2008-3-1 09:26
标题: 回复:ct11938:头外伤
以下是引用sungh在2008-2-29 20:40:00的发言:[br]左侧海绵窦区高密度肿块影,颈动脉—海绵窦瘘不排除,不过患者眼上静脉无增粗,无突眼,也不能排除血管瘤的可能,建议增强扫描。外伤病人应该有骨窗。
作者: muzi888 时间: 2008-3-1 16:36
做增强扫描吧,外伤引起的颈动脉海绵窦瘘可能性最大.
作者: sl789 时间: 2008-3-1 17:51
考虑海绵窦血管瘤可能,建议做mr检查
作者: 小明 时间: 2008-3-1 17:55
还是应该作个增强的,整体感觉还是象血管瘤或者是畸形血管团。
作者: zsl6918 时间: 2008-3-1 17:55
强化检查明确诊断,左侧顶叶可见钙化改变。
作者: dyqct 时间: 2008-3-1 18:01
建议增强进一步检查。
作者: jiangjing 时间: 2008-3-1 18:01
1、左侧鞍旁海绵窦区稍高密度占位---左侧海绵窦血管瘤或脑膜瘤,以前者可能性大。2、左顶后叶高密度影,血管瘤可能,脑白质异位待排。3建议mri检查
作者: 王仕学 时间: 2008-3-1 18:32
做增强扫描吧,外伤引起的颈动脉海绵窦瘘可能性最大.
作者: zjzjr 时间: 2008-3-1 18:40
1、左侧鞍旁海绵窦区稍高密度占位---左侧海绵窦血管瘤或脑膜瘤,以前者可能性大。2、左顶后叶高密度影,血管瘤可能
作者: shiqingfa 时间: 2008-3-1 19:17
左侧海绵窦区高密度肿块影,颈动脉—海绵窦瘘不排除,不过患者眼上静脉无增粗,无突眼,也不能排除血管瘤的可能,建议增强扫描。外伤病人应该有骨窗。
作者: yy杨洋 时间: 2008-3-1 20:31
1、左侧鞍旁海绵窦区稍高密度占位---左侧海绵窦血管瘤或脑膜瘤,以前者可能性大。2、左顶后叶高密度影,血管瘤可能,脑白质异位待排。3建议mri检查
作者: 杀毒软件 时间: 2008-3-1 20:35
标题: 回复:ct11938:头外伤
以下是引用xulianj在2008-2-29 21:11:00的发言:[br]左侧海绵窦区高密度肿块影,颈动脉—海绵窦瘘不排除,不过患者眼上静脉无增粗,无突眼,也不能排除血管瘤的可能,建议增强扫描。外伤病人应该有骨窗。
支持
作者: lrj 时间: 2008-3-1 20:58
左侧海绵窦见到肿块影,建议增强或mr检查
作者: 随光逐影 时间: 2008-3-1 21:09
左侧鞍旁海绵窦区稍高密度肿块,境界清楚;结合病史,不排除左侧颈内动脉海绵窦瘘可能。须与动脉瘤,海绵状血管瘤及左侧鞍旁脑膜瘤相鉴别。建议:行ct增强扫描检查,必要时行dsa检查。
作者: swyyy2007 时间: 2008-3-1 22:57
1、左侧海绵窦血管瘤。2、左顶后叶高密度影,建议增强扫描,多发血管瘤可能,脑白质异位待排
作者: jinguoji 时间: 2008-3-1 23:31
建议增强进一步检查。
作者: ydx_74 时间: 2008-3-2 01:06
有外伤,支持左侧海绵窦血管瘤。左顶后叶高密度影,伪影待排。
作者: zhw974247 时间: 2008-3-2 03:48
做增强扫描吧,外伤引起的颈动脉海绵窦瘘可能性最大.
作者: 拾荒者 时间: 2008-3-2 04:25
标题: 回复:ct11938:头外伤
以下是引用yy杨洋在2008-3-1 12:31:00的发言:[br]1、左侧鞍旁海绵窦区稍高密度占位---左侧海绵窦血管瘤或脑膜瘤,以前者可能性大。2、左顶后叶高密度影,血管瘤可能,脑白质异位待排。3建议mri检查
作者: shenjiu 时间: 2008-3-2 06:52
1、左侧海绵窦血管瘤。2、左顶后叶高密度影,建议增强扫描。
作者: zyyzzy 时间: 2008-3-2 07:01
左侧海绵窦区高密度肿块影,考虑颈动脉—海绵窦瘘,病人临床左眼视力差,头疼、头晕也较符合。但确诊最好还是强化,有战友说病人的眼上静脉不粗,主要是楼主没有扫到。建议增强的时候薄扫一下!!
作者: qc80012345 时间: 2008-3-2 09:07
增强
作者: zyx168 时间: 2008-8-18 07:59
左侧海绵窦血管瘤或脑膜瘤。
| 欢迎光临 医影在线 (http://bbs.radida.com/bbs/) |
Powered by Discuz! X3.2 |