医影在线

标题: CT11943:男,25,头痛伴癫痫发作数年.请会诊. [打印本页]

作者: muzi888    时间: 2008-3-1 19:26
标题: CT11943:男,25,头痛伴癫痫发作数年.请会诊.
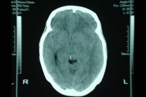
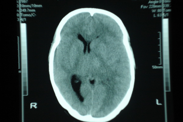
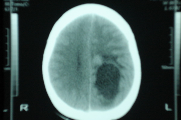
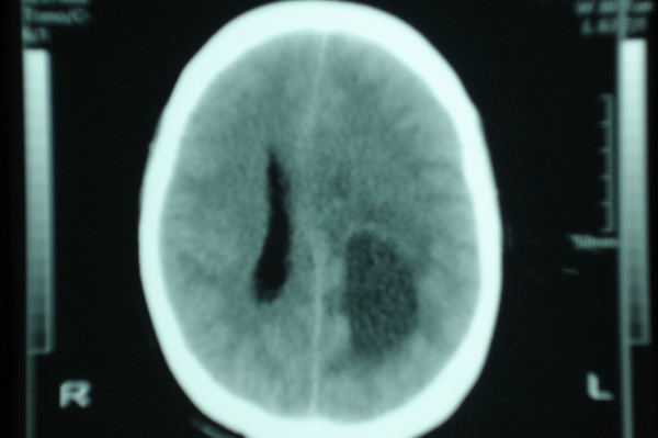
男,25,头痛伴癫痫发作数年.










[本贴已被 jiajie 于 2008-3-1 11:50:35 修改过]

作者: yangyudong333    时间: 2008-3-1 20:06
考虑胶质瘤建议做增强
作者: 杀毒软件    时间: 2008-3-1 20:24
考虑胶质瘤可能性大,建议增强。
作者: lrj    时间: 2008-3-1 20:39
胶质瘤可能性大,建议mr检查
作者: 不学无术    时间: 2008-3-1 21:23
左侧脑室局部受压闭塞,相应脑实质有等密度病变,顶叶区见均匀低密度病灶,外围见钙化有占位效应,胶质瘤可能,血管畸形不排除,建议强化或磁共振
作者: 随光逐影    时间: 2008-3-1 21:53
考虑为:胶质瘤可能性大;建议进一步检查。
作者: dongjingmou    时间: 2008-3-1 22:05
考虑为囊性胶质瘤  建议mri 检查。
作者: swyyy2007    时间: 2008-3-1 22:43
没有见过囊性胶质瘤
作者: zjzjr    时间: 2008-3-2 00:19
考虑为:胶质瘤可能性大;建议进一步检查。
作者: ydx_74    时间: 2008-3-2 00:29
胶质瘤可能性大
作者: gaoshengjiang    时间: 2008-3-2 01:09
胶质瘤可能。
作者: yy杨洋    时间: 2008-3-2 01:12
考虑为:胶质瘤可能性大;建议进一步检查。
作者: chmh    时间: 2008-3-2 01:17
考虑为:胶质瘤可能性大;建议进一步检查。
作者: zylcq608    时间: 2008-3-2 03:09
支持胶质瘤
作者: zhw974247    时间: 2008-3-2 03:42
考虑为:胶质瘤可能性大;建议进一步检查。
作者: 卜一    时间: 2008-3-2 03:47
考虑为:胶质瘤可能性大;建议进一步检查。支持!
作者: 徐飞    时间: 2008-3-2 04:03
没有脓肿的可能吗?
作者: 同    时间: 2008-3-2 04:07
考虑囊性胶质瘤可能性大.
作者: 豫章    时间: 2008-3-2 04:10
年轻男性,是否考虑:生殖细胞瘤。
作者: bin917    时间: 2008-3-2 04:16
考虑囊性胶质瘤可能性大.
作者: 拾荒者    时间: 2008-3-3 06:20
考虑为:胶质瘤可能性大;建议进一步检查。
作者: dyqct    时间: 2008-3-3 19:45
标题: 回复:ct11943:男,25,头痛伴癫痫发作数年.请会诊.
以下是引用zjzjr在2008-3-1 16:19:00的发言:[br]考虑为:胶质瘤可能性大;建议进一步检查。

支持!
作者: zyx168    时间: 2008-8-18 08:18
胶质瘤可能性大




欢迎光临 医影在线 (http://bbs.radida.com/bbs/) Powered by Discuz! X3.2