医影在线

标题: CT11948:男,78岁。意识病情12小时 [打印本页]

作者: sxlcbc    时间: 2008-3-2 01:52
标题: CT11948:男,78岁。意识病情12小时
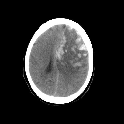
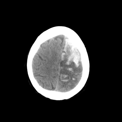
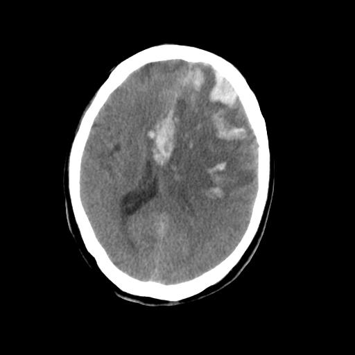
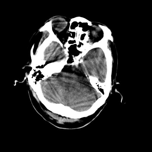
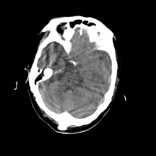
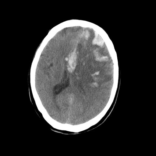
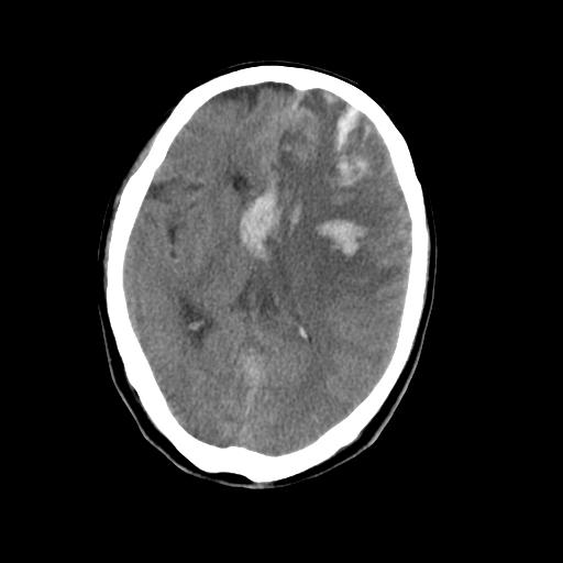
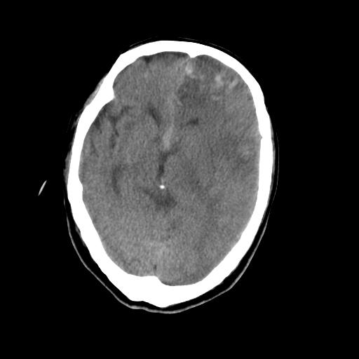
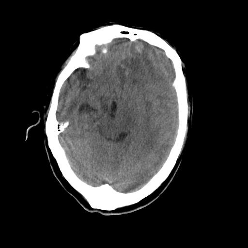
男,78岁。自诉两周前因右侧肢体障碍行ct检查,诊断为脑梗塞(患者ct片已丢失)治疗好转后出院。现因意不清12小时,又行ct检查。














[本贴已被 jiajie 于 2008-3-1 18:00:36 修改过]

作者: gaoshengjiang    时间: 2008-3-2 02:06
胶质瘤并瘤内出血?
作者: yangyudong333    时间: 2008-3-2 02:34
出血性脑梗塞
作者: 不学无术    时间: 2008-3-2 02:44
结合病史考虑中性脑出血并脑疝形成,血肿破入下腔及脑室.
作者: 随光逐影    时间: 2008-3-2 02:50
支持 出血性脑梗塞。
作者: 杀毒软件    时间: 2008-3-2 03:03
出血性脑梗塞
作者: zylcq608    时间: 2008-3-2 03:04
支持 出血性脑梗塞。
作者: ZHANGZHONGSHOU    时间: 2008-3-2 03:06
出血性脑梗塞
作者: LIAOQIANG    时间: 2008-3-2 03:07
结合病史考虑左侧额颞顶叶出血性脑梗塞。
作者: 卜一    时间: 2008-3-2 03:36
支持 出血性脑梗塞。
作者: happyverycd    时间: 2008-3-2 03:37
出血性脑梗塞
作者: 前行    时间: 2008-3-2 03:38
出血性脑梗塞
作者: zhw974247    时间: 2008-3-2 03:39
结合病史考虑左侧额颞顶叶出血性脑梗塞。
作者: bin917    时间: 2008-3-2 04:13
结合病史考虑左侧额颞顶叶出血性脑梗塞
作者: lrj    时间: 2008-3-2 04:14
支持出血性脑梗塞
作者: 同    时间: 2008-3-2 04:15
支持 出血性脑梗塞.
作者: 宝天曼    时间: 2008-3-2 04:54
出血性脑梗塞
作者: 风雨彩虹    时间: 2008-3-2 05:00
请教,这样的出血怎么测量出血量呢?
作者: 老金    时间: 2008-3-2 05:32
出血性脑梗塞
作者: 摘星空竹子    时间: 2008-3-2 06:07
出血性脑梗塞支持!
作者: zyyzzy    时间: 2008-3-2 07:58
出血性脑梗塞
作者: qc80012345    时间: 2008-3-2 08:21
出血性脑梗塞
作者: zsl6918    时间: 2008-3-2 15:09
结合病史考虑出血性脑梗塞。
作者: zjzjr    时间: 2008-3-2 17:57
支持 出血性脑梗塞。
作者: xulianj    时间: 2008-3-2 19:58
支持 出血性脑梗塞。
作者: 旭阳    时间: 2008-3-3 00:21
标题: 回复:ct11948:男,78岁。意识病情12小时
以下是引用xulianj在2008-3-2 11:58:00的发言:[br]支持 出血性脑梗塞。

作者: 形影不离    时间: 2008-3-3 00:26
支持 出血性脑梗塞。
作者: 拾荒者    时间: 2008-3-3 05:27
结合病史考虑左侧额颞顶叶出血性脑梗塞。
作者: jdpengj    时间: 2008-3-3 05:30
梗塞伴继发出血
作者: dyqct    时间: 2008-3-3 19:35
标题: 回复:ct11948:男,78岁。意识病情12小时
以下是引用liaoqiang在2008-3-1 19:07:00的发言:[br]结合病史考虑左侧额颞顶叶出血性脑梗塞。

支持!
作者: zyx168    时间: 2008-8-18 08:27
出血性脑梗塞




欢迎光临 医影在线 (http://bbs.radida.com/bbs/) Powered by Discuz! X3.2