医影在线
标题: 原创有病理结果,肩关节骨肿瘤。 [打印本页]
作者: ctm 时间: 2005-4-12 05:36
标题: 原创有病理结果,肩关节骨肿瘤。
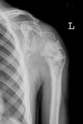
男,6y,肩关节疼痛2年。
[本贴已被 ctm 于 2005-4-13 20:40:27 修改过]

[本贴已被 ctm 于 2005-4-19 23:04:29 修改过]
作者: ctm 时间: 2005-4-12 05:37
我的bmp格式148k图片为什么传不上去?
作者: 寻芳者 时间: 2005-4-12 06:07
[emb10][emb10]___________[emb12]
作者: ctm 时间: 2005-4-12 06:15
搞不懂,原来都可以传现在怎么就不行呢??????????bmp格式不行吗。我用u盘转到我的电脑里的,用hposhop6.0转换大小。晕。[emb5][emb12][emb12][emb12]
作者: 翁志蓬 时间: 2005-4-12 07:35
按道理bmp格式的图片,且小于148k的图片是可以上传的,您既然使用photoshop编辑,为什么不干脆将图片转换成jpg格式?图片的大小会缩小许多,且质量不受影像。
作者: ctm 时间: 2005-4-14 04:03
标题: 回复:原创有病理结果,肩关节骨肿瘤。
请教怎样转换图像格式,在哪个工具条里?
作者: 翁志蓬 时间: 2005-4-14 19:49
打开图片后,点击“文件/存储为web所用格式”,在弹出的窗口中“设置”选为“jpeg 中”,再点击“好”就成了。
作者: jinguoji 时间: 2006-11-8 18:28
shi he肿瘤
作者: yrjw 时间: 2007-8-14 06:33
血管瘤
作者: shibing 时间: 2013-4-3 11:24
骨纤
| 欢迎光临 医影在线 (http://bbs.radida.com/bbs/) |
Powered by Discuz! X3.2 |