医影在线

标题: CT12001:上腹部CT平扫 [打印本页]

作者: 同    时间: 2008-3-4 21:04
标题: CT12001:上腹部CT平扫
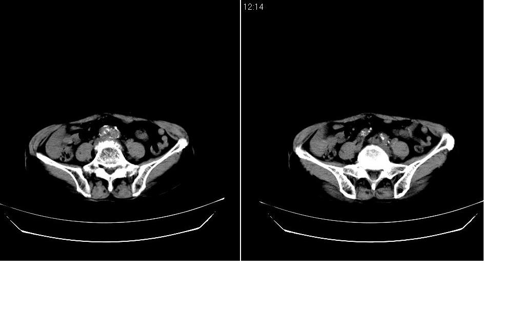
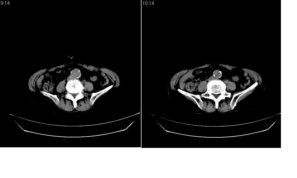
女73岁,病史不详,腹主动脉增宽.









[本贴已被 翁志蓬 于 2008-3-4 13:43:26 修改过]

作者: 陈愚2008    时间: 2008-3-4 21:16
腹主动脉夹层?
作者: 杀毒软件    时间: 2008-3-4 21:45
考虑:腹主动脉瘤。建议增强。
作者: zyyzzy    时间: 2008-3-4 22:08
考虑:腹主动脉瘤。建议增强。
作者: 沙漠骆驼    时间: 2008-3-4 22:30
建议:增强.  考虑 腹主动脉瘤可能性大.
作者: xuhuihong    时间: 2008-3-4 22:41
没有增强都是空话,建议增强。
作者: dyqct    时间: 2008-3-4 22:48
标题: 回复:ct12001:上腹部ct平扫
以下是引用杀毒软件在2008-3-4 13:45:00的发言:[br]考虑:腹主动脉瘤。建议增强。

支持!
作者: wansheng    时间: 2008-3-4 22:50
考虑:腹主动脉瘤。建议增强。
作者: zsl6918    时间: 2008-3-4 22:51
有可能是腹主动脉瘤
作者: zhw974247    时间: 2008-3-4 22:56
腹主动脉瘤是腹主动脉壁的扩张膨出。腹主动脉瘤发生后可逐渐增大,最后破裂出血,导致病人死亡。
腹主动脉瘤主要发生于60岁以上的老年人,常伴有高血压病和心脏疾病,但年轻人也偶尔可见。男性多于女性。腹主动脉瘤的发生主要与动脉硬化有关,其它少见原因是主动脉先天发育不良、梅毒、创伤、感染、大动脉炎、marfan综合征等。
作者: zzyy    时间: 2008-3-5 00:03
考虑:腹主动脉瘤。建议增强排除夹层的可能。
作者: yangyudong333    时间: 2008-3-5 00:03
腹主动脉夹层?
作者: 形影不离    时间: 2008-3-5 00:07
考虑:腹主动脉瘤。建议增强。
作者: zjzjr    时间: 2008-3-5 00:35
考虑:腹主动脉瘤。建议增强。
作者: jinguoji    时间: 2008-3-5 02:00
考虑腹主动脉瘤。建议增强。
作者: 求知若渴    时间: 2008-3-5 03:31
腹主动脉瘤
作者: 拾荒者    时间: 2008-3-5 04:07
支持腹主动脉瘤。建议增强或mri检查。
作者: ml2007    时间: 2008-3-5 04:42
腹主动脉瘤。
作者: 光影★小胖    时间: 2008-3-5 05:03
增强吧.
作者: ZHANGZHONGSHOU    时间: 2008-3-5 05:23
标题: 回复:ct12001:上腹部ct平扫
以下是引用杀毒软件在2008-3-4 13:45:00的发言:[br]考虑:腹主动脉瘤。建议增强。

作者: zyx168    时间: 2008-9-4 08:10
考虑:腹主动脉瘤
作者: gs-cds    时间: 2013-11-6 21:47
考虑主动脉夹层,可惜没有增强,标识




欢迎光临 医影在线 (http://bbs.radida.com/bbs/) Powered by Discuz! X3.2