








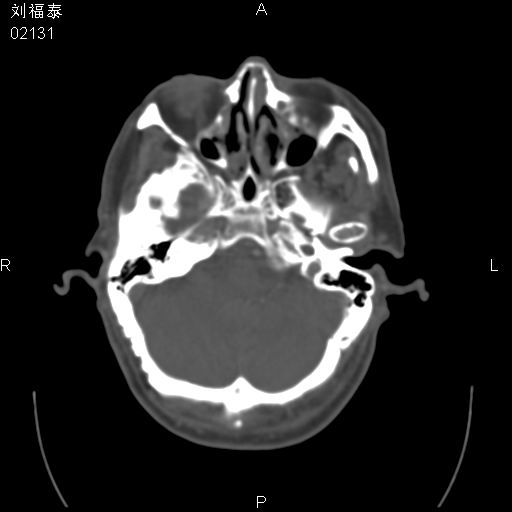
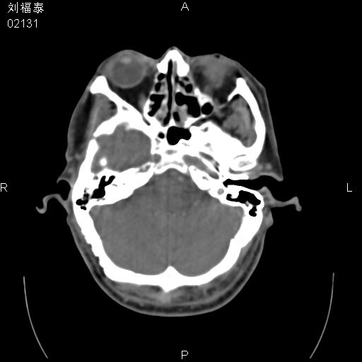
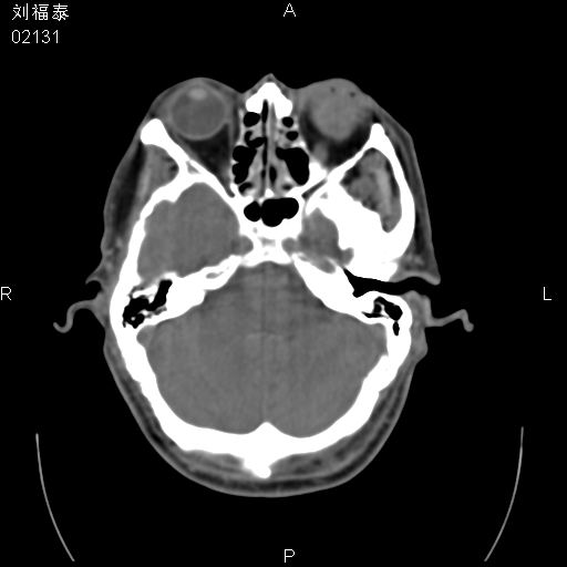
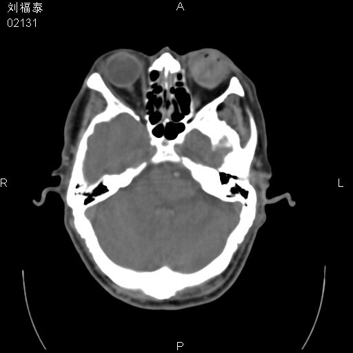
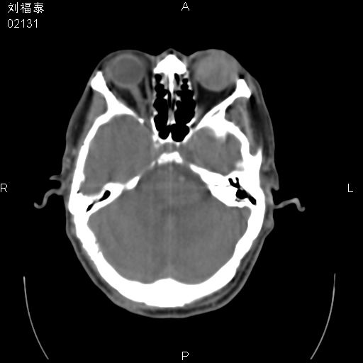
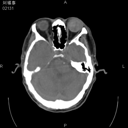
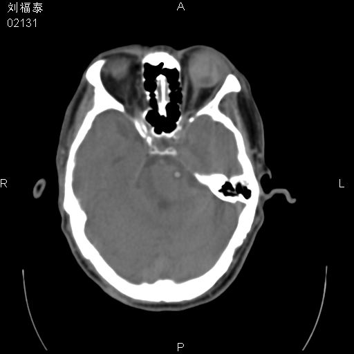
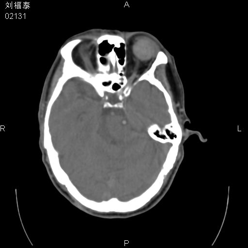
以下是引用余辉在2008-3-4 14:00:00的发言:[br]考虑左眼球黑色素瘤或血管源性肿瘤可能性大,建议增强检查
以下是引用余辉在2008-3-4 14:00:00的发言:[br]考虑眼球黑色素瘤或血管源性肿瘤可能性大,建议增强检查
以下是引用zsl6918在2008-3-4 15:08:00的发言:[br]现有征象只能提示球内出血,视网膜脱落,至于是否为肿瘤性病变需mri检查。
| 欢迎光临 医影在线 (http://bbs.radida.com/bbs/) | Powered by Discuz! X3.2 |