医影在线

标题: CT12024:男,77岁。咳嗽两月余,气喘一月,13年前岑作贲门 [打印本页]

作者: sxlcbc    时间: 2008-3-5 19:39
标题: CT12024:男,77岁。咳嗽两月余,气喘一月,13年前岑作贲门










[本贴已被 jiajie 于 2008-3-5 12:10:51 修改过]

作者: guohengxin    时间: 2008-3-5 20:21
中心型肺癌 纵隔淋巴结转移
作者: ZHANGZHONGSHOU    时间: 2008-3-5 21:06
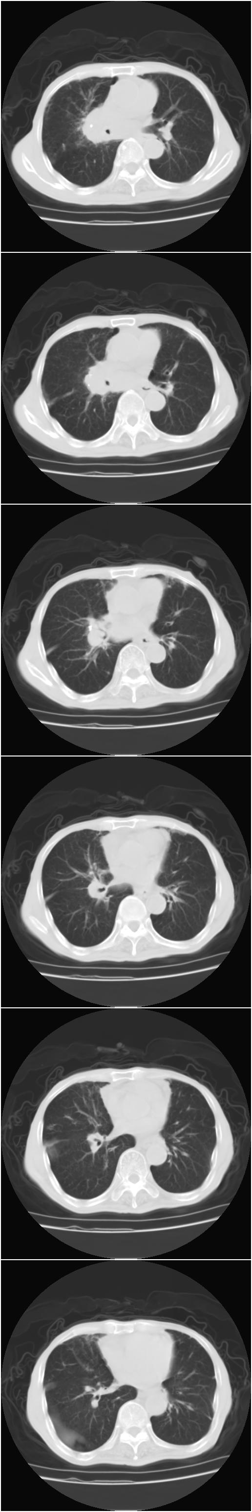
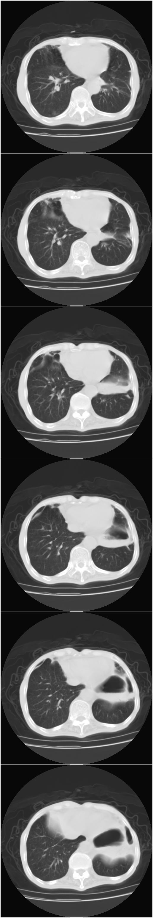
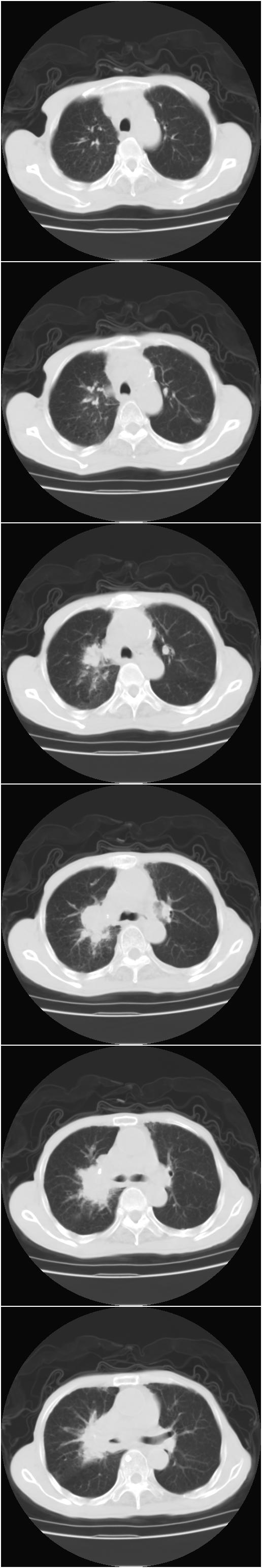
1、右侧中心型肺癌,右肺门,纵隔淋巴结转移可能性大。
2、贲门癌术后所见。
作者: xulianj    时间: 2008-3-5 21:35
右侧中心型肺癌,右肺门,纵隔淋巴结转移。
作者: jun-527    时间: 2008-3-5 21:45
右中心型肺癌 纵隔淋巴结转移  
左术后改变
作者: 同    时间: 2008-3-5 21:52
右侧中央型肺癌伴右肺门及纵隔淋巴结转移.
作者: jsgdoctor    时间: 2008-3-5 22:16
1、右侧中心型肺癌,右肺门,纵隔淋巴结转移可能性大。
2、贲门癌术后所见。
作者: 杀毒软件    时间: 2008-3-5 22:33
标题: 回复:ct12024:男,77岁。咳嗽两月余,气喘一月,13年前岑作
以下是引用zhangzhongshou在2008-3-5 13:06:00的发言:[br]1、右侧中心型肺癌,右肺门,纵隔淋巴结转移可能性大。[br]2、贲门癌术后所见。

支持
作者: 沙漠骆驼    时间: 2008-3-5 22:35
1 右肺中心型肺癌伴右肺门及纵隔淋巴结转移.
       2  左肺贲门癌术后改变.
作者: dyqct    时间: 2008-3-6 00:04
标题: 回复:ct12024:男,77岁。咳嗽两月余,气喘一月,13年前岑作
以下是引用zhangzhongshou在2008-3-5 13:06:00的发言:[br]1、右侧中心型肺癌,右肺门,纵隔淋巴结转移可能性大。[br]2、贲门癌术后所见。

支持!
作者: zsl6918    时间: 2008-3-6 00:12
右侧中心型肺癌并纵隔淋巴结转移
作者: zjzjr    时间: 2008-3-6 01:00
1、右侧中心型肺癌,右肺门,纵隔淋巴结转移可能性大。
2、贲门癌术后所见。
作者: zhw974247    时间: 2008-3-6 02:05
1、右侧中心型肺癌,右肺门,纵隔淋巴结转移可能性大。
2、贲门癌术后所见。
作者: 随光逐影    时间: 2008-3-6 02:20
1)考虑为:右侧中心型肺癌并右肺门及纵隔淋巴结转移。2)贲门癌术后改变。
作者: 宝天曼    时间: 2008-3-6 03:49
1、右侧中心型肺癌,右肺门,纵隔淋巴结转移可能性大。
2、贲门癌术后所见。
作者: 拾荒者    时间: 2008-3-6 05:22
1、右侧中心型肺癌,右肺门,纵隔淋巴结转移可能性大。
2、贲门癌术后所见。
作者: yangyudong333    时间: 2008-3-6 06:03
1、右侧中心型肺癌,右肺门,纵隔淋巴结转移可能性大。
2、贲门癌术后所见。
作者: zyx168    时间: 2008-9-7 15:21
右侧中心型肺癌,右肺门,纵隔淋巴结转移




欢迎光临 医影在线 (http://bbs.radida.com/bbs/) Powered by Discuz! X3.2