












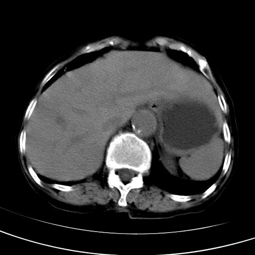
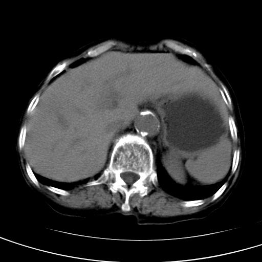
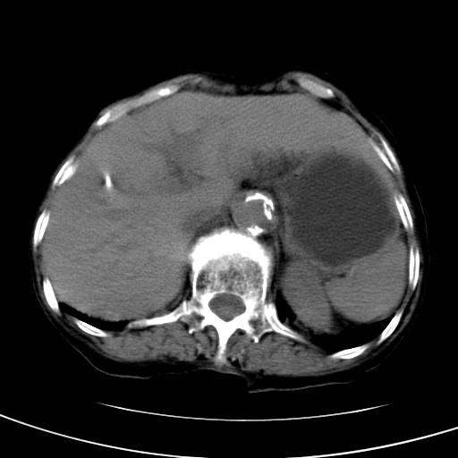
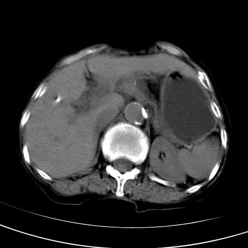
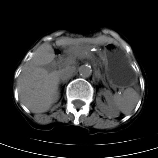
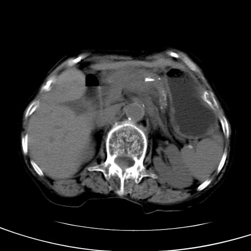
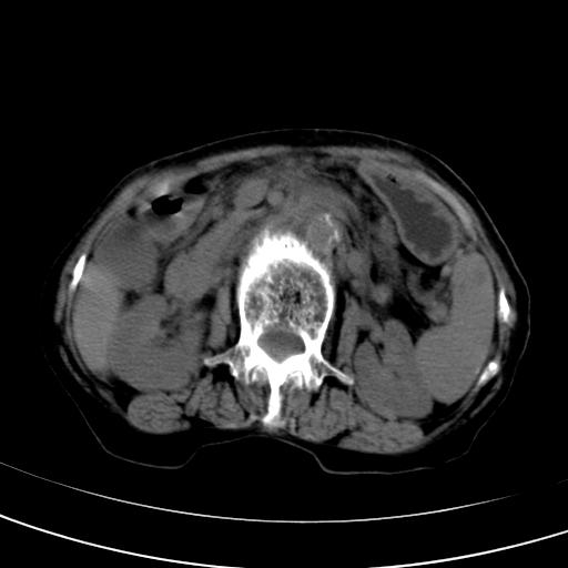
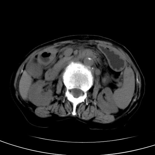
以下是引用wolft在2008-3-5 12:30:00的发言:[br]肝脏未见明显肿块影,但肝左叶增大,跨越腹中线到达脾胃前,且有一血管过去,考虑为先天变异:獭尾肝,胆囊为慢性胆囊炎急发,但胰腺头颈部有增大,密度不均匀,应该ct增强一下。
以下是引用wolft在2008-3-5 12:30:00的发言:[br]肝脏未见明显肿块影,但肝左叶增大,跨越腹中线到达脾胃前,且有一血管过去,考虑为先天变异:獭尾肝,胆囊为慢性胆囊炎急发,但胰腺头颈部有增大,密度不均匀,应该ct增强一下。
以下是引用zjzjr在2008-3-5 16:41:00的发言:[br]1.考虑慢性胰腺炎急性发作,建议增强除外占位性病变.[br]2.胆囊结石伴胆囊炎.[br]3.肝内胆管结石.
| 欢迎光临 医影在线 (http://bbs.radida.com/bbs/) | Powered by Discuz! X3.2 |