
































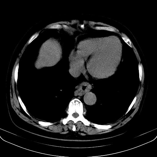
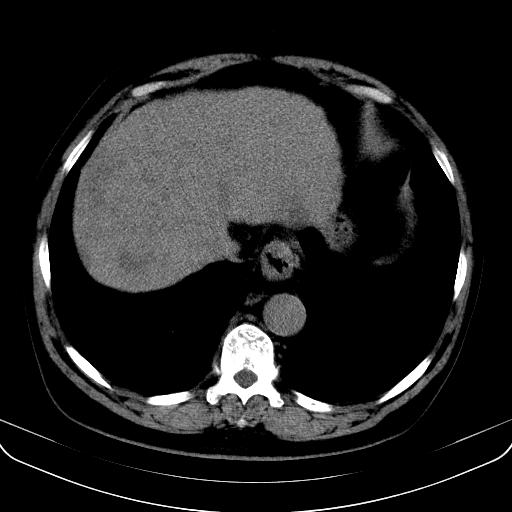
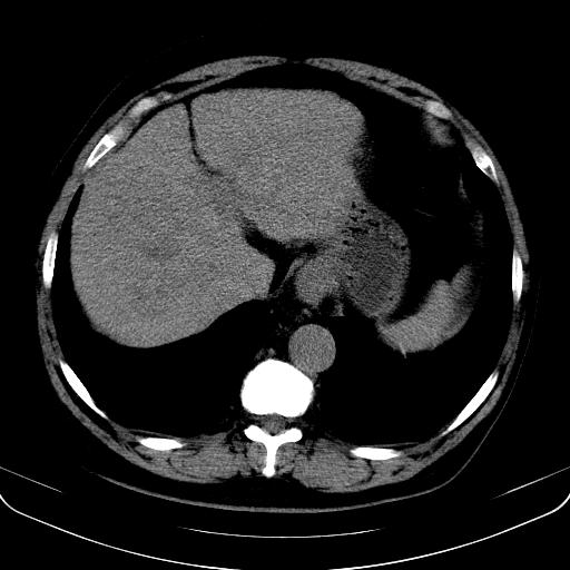
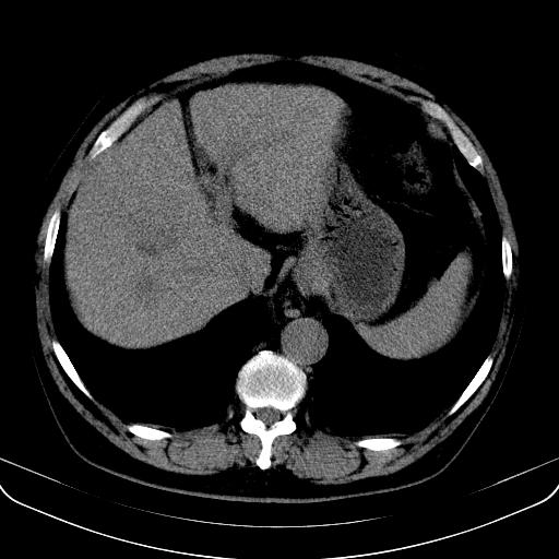
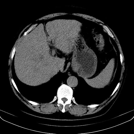
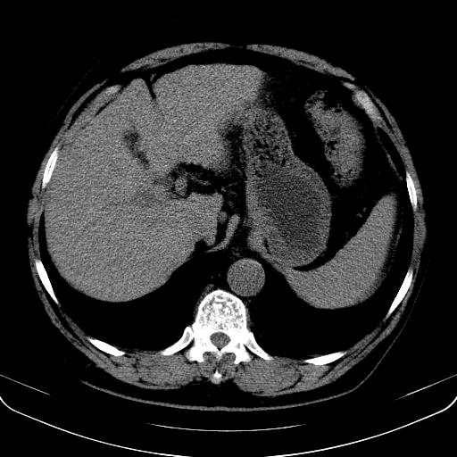
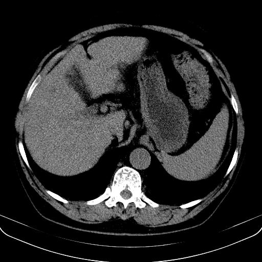
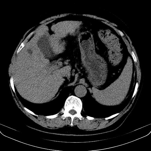
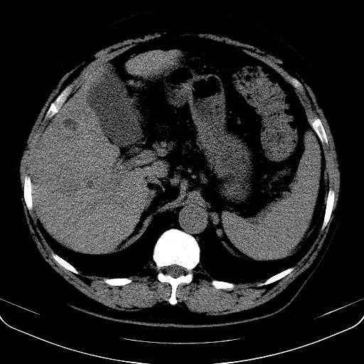
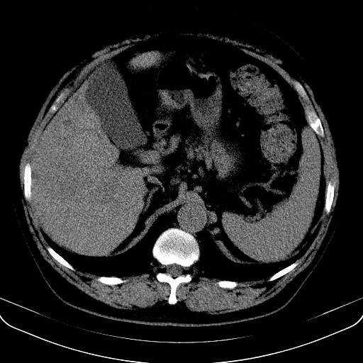
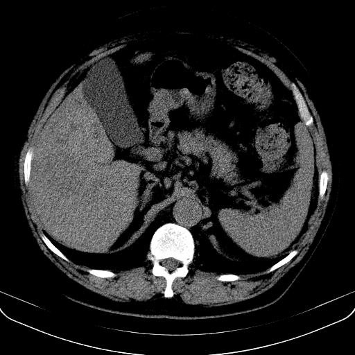
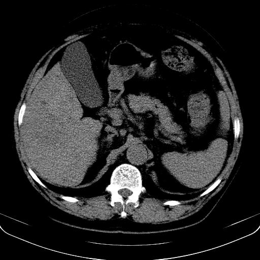
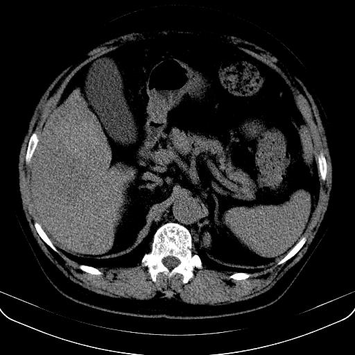
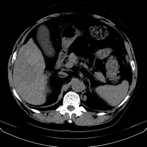
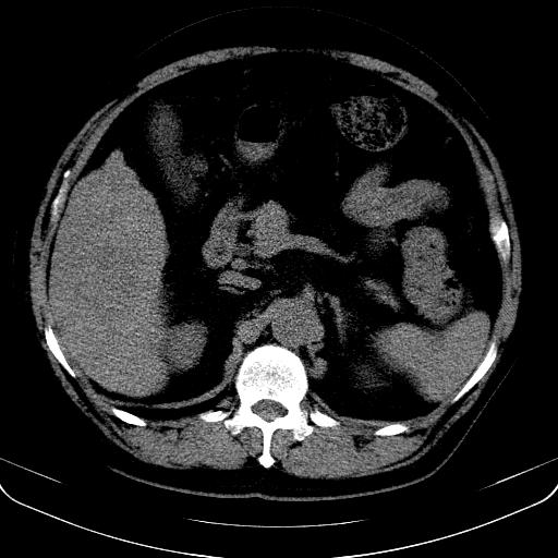
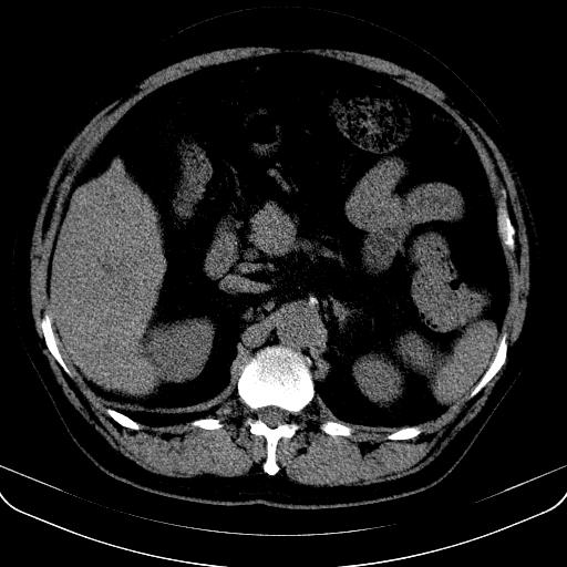
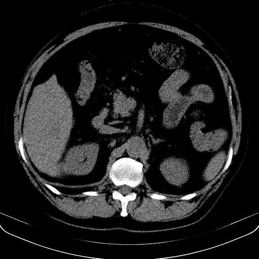
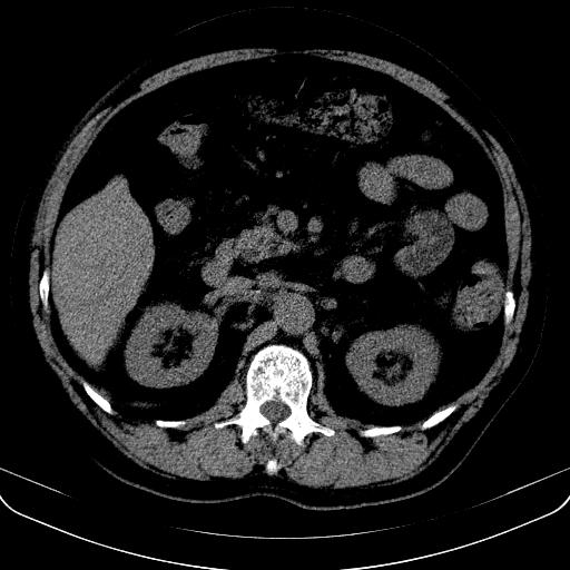
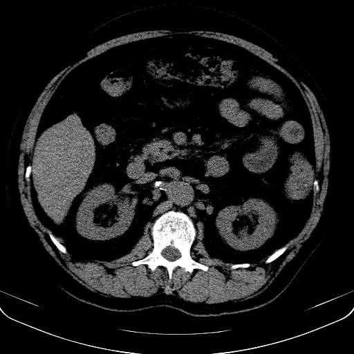
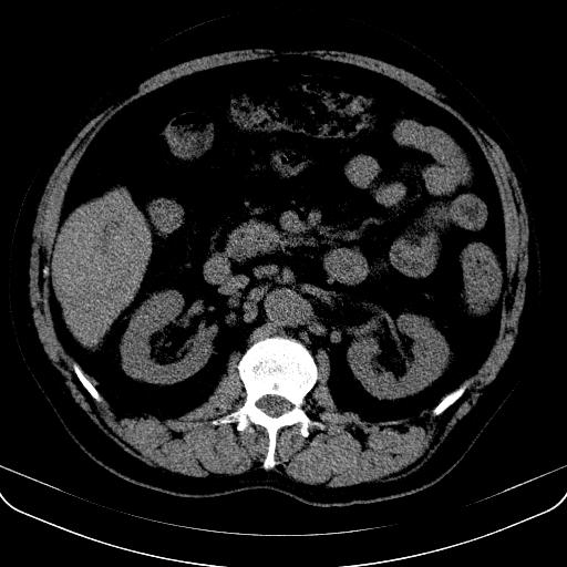
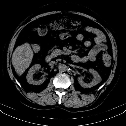
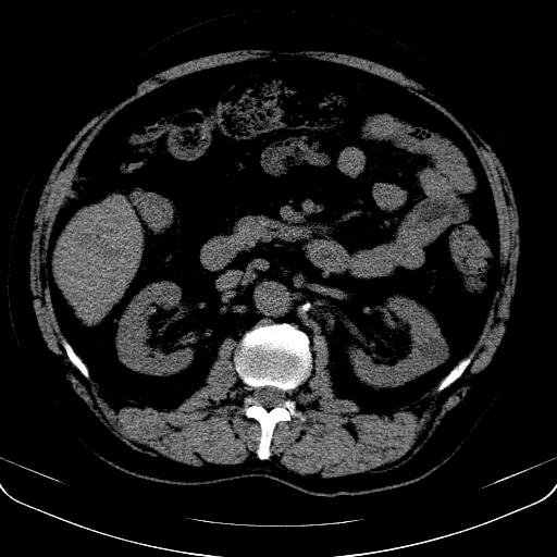
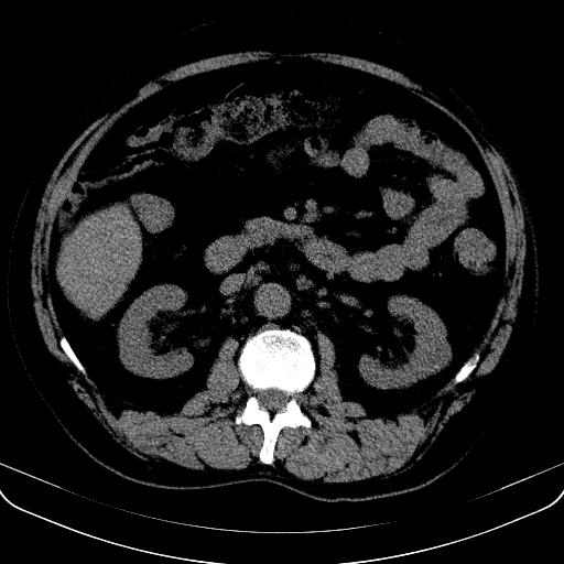
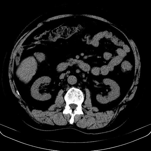
以下是引用jia119在2008-3-5 13:31:00的发言:[br]肝内多发片状低密度影,密度不均,我还是考虑肝ca可能,另肝内小囊肿,胆囊增大。
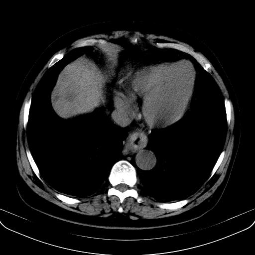
以下是引用jia119在2008-3-5 13:31:00的发言:[br]肝内多发片状低密度影,密度不均,我还是考虑肝ca可能,另肝内小囊肿,胆囊增大。
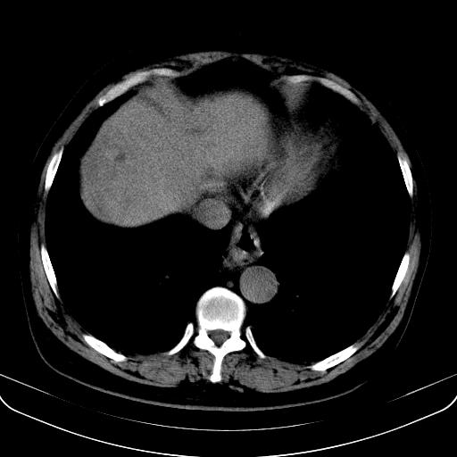
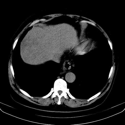
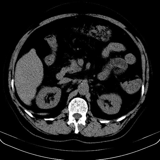
以下是引用形影不离在2008-3-5 12:18:00的发言:[br]肝硬化伴门脉高压征,肝内占位待排,增强再说.
以下是引用jia119在2008-3-5 13:31:00的发言:[br]肝内多发片状低密度影,密度不均,我还是考虑肝ca可能,另肝内小囊肿,胆囊增大。
以下是引用jia119在2008-3-5 13:31:00的发言:[br]肝内多发片状低密度影,密度不均,我还是考虑肝ca可能,另肝内小囊肿,胆囊增大。
以下是引用随光逐影在2008-3-5 21:11:00的发言:[br]肝硬化伴门脉高压(食管下段静脉曲张),肝癌不排除。建议:行ct增强扫描检查。
以下是引用同在2008-3-5 13:56:00的发言:[br]考虑肝癌可能性大,胆囊增大.
| 欢迎光临 医影在线 (http://bbs.radida.com/bbs/) | Powered by Discuz! X3.2 |