医影在线
标题: PED0639:M 3Y,颅内占位,结果已公布 [打印本页]
作者: cefcmj    时间: 2008-3-8 05:55
标题: PED0639:M 3Y,颅内占位,结果已公布
(结果连接:http://www.radida.com/bbs/forum.php?mod=viewthread&tid=36449)
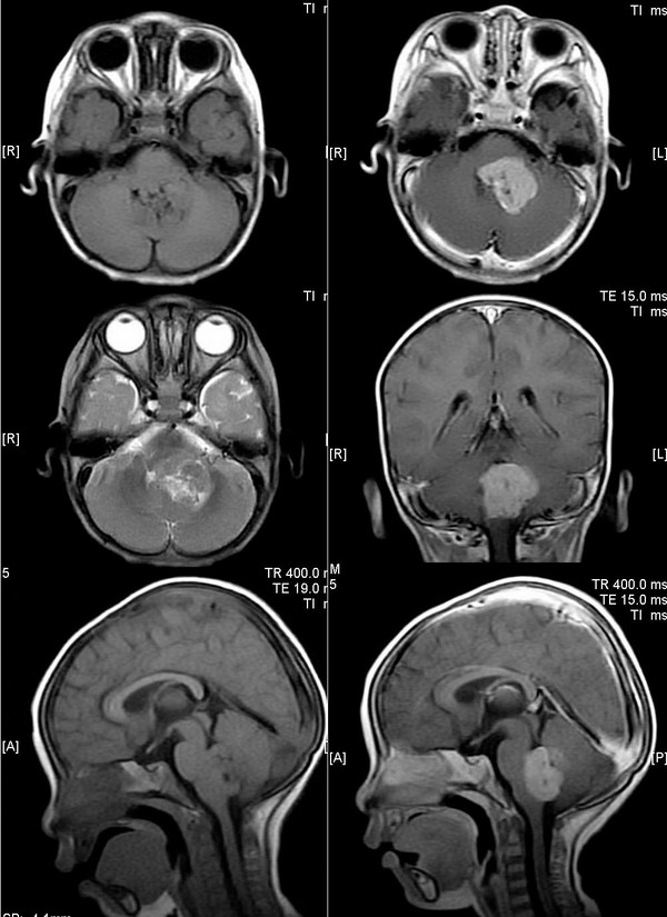
 m 3y,头痛,走路不稳半月。

[本贴已被 jiajie 于 2008-3-9 11:46:54 修改过]
[本贴已被 cefcmj 于 2008-3-20 15:05:11 修改过]
作者: xulianj    时间: 2008-3-8 06:00
四脑室占位,乳头状瘤可能大。建议增强。
作者: zsl6918    时间: 2008-3-8 06:00
只有mri没有ct啊,看不好,结合临床考虑髓母。
作者: ydx_74    时间: 2008-3-8 06:22
髓母
作者: 516429ASDF    时间: 2008-3-8 06:34
支持楼主的,髓母细胞瘤
作者: hjk    时间: 2008-3-8 06:37
考虑室管膜瘤
作者: 彭进    时间: 2008-3-8 07:12
小脑髓母细胞瘤
作者: 宝天曼    时间: 2008-3-8 14:09
标题: 回复:ct12077:颅内占位,有结果
以下是引用彭进在2008-3-7 23:12:00的发言:[br]小脑髓母细胞瘤
作者: yangyudong333    时间: 2008-3-8 14:57
小脑髓母细胞瘤
作者: zjb    时间: 2008-3-8 15:19
室管膜瘤可能性大
作者: hsy666    时间: 2008-3-8 15:46
小脑蚓部占位性病变.髓母细胞瘤.
作者: ZHANGZHONGSHOU    时间: 2008-3-8 15:48
髓母细胞瘤可能性大----mri学习中
作者: 老爱克斯    时间: 2008-3-8 15:52
四脑室增宽不是受压变窄,应该考虑脑室内肿瘤,室管膜瘤可能大,髓母细胞瘤好发小脑蚓部四脑室应该是受压变小,
作者: 宇宙CT    时间: 2008-3-8 16:43
髓母细胞瘤可能性大----mri学习中
作者: zyyzzy    时间: 2008-3-8 16:55
小脑髓母细胞瘤可能性大
作者: 形影不离    时间: 2008-3-8 16:59
小脑髓母细胞瘤可能性大
作者: zjzjr    时间: 2008-3-8 17:15
应该是小脑占位性病变,四脑室受压变形,支持髓母细胞瘤。
作者: dongjingmou    时间: 2008-3-8 17:20
病灶位于第四脑室内考虑为室管膜瘤可能性大。
作者: rongzhangyile    时间: 2008-3-8 17:33
髓母细胞瘤可能性大
作者: 杀毒软件    时间: 2008-3-8 17:53
髓母细胞瘤可能性大
作者: 王光光    时间: 2008-3-8 18:21
室管膜瘤可能性大 ,支持.
作者: aiqinhai    时间: 2008-3-8 18:32
支持楼主的,髓母细胞瘤
作者: jinguoji    时间: 2008-3-8 18:59
标题: 回复:ct12077:颅内占位,有结果
以下是引用zhangzhongshou在2008-3-8 7:48:00的发言:[br]髓母细胞瘤可能性大----mri学习中
作者: 卜一    时间: 2008-3-8 19:02
小脑髓母细胞瘤!支持!
作者: 光影★笑子    时间: 2008-3-8 21:17
小脑髓母细胞瘤。
作者: qc80012345    时间: 2008-3-9 01:14
小脑髓母细胞瘤
作者: pushaolin    时间: 2008-3-9 01:30
考虑为;1.髓母细胞瘤可能较大;
        2.室管膜瘤待排外,建议进一步检查。
作者: 随光逐影    时间: 2008-3-9 01:35
考虑为:室管膜瘤可能性大。
作者: 拾荒者    时间: 2008-3-9 06:10
四脑室内占位,t1像呈等、低信号,t2像呈等、高混杂信号,增强病灶明显强化,中间似有低信号点状钙化区,病灶外形欠规则,幕上脑室扩张不明显,首先考虑室管膜瘤,与髓母细胞瘤鉴别。
作者: 老单    时间: 2008-3-9 23:17
髓母
作者: lj11119999    时间: 2008-3-10 00:47
支持髓母
作者: yjrgw666    时间: 2008-3-11 05:16
先考虑为了1髓母细胞瘤2\\室管膜瘤可能.
作者: lkc8963    时间: 2008-3-11 07:57
后颅窝中线占位,t1像呈等信号,t2像呈混杂信号,中等为主,内见散在小片状长t1长t2囊变坏死区,右前方及左后方见新月形脑脊液信号,增强病灶中等强化,病灶外形欠规则,幕上脑室扩张,中脑导水管位置及四叠体板形态未见异常,首先考虑四脑室内占位,室管膜瘤可能性大。
主要是定位:1 如果肿块后方见脑脊液信号,说明是四室内的;;如果后方未见仅前方见脑脊液信号,说明是小脑的。2 中脑导水管位置是否前移,四叠体板形态是否上移,移位者为髓母。3 乳头状瘤t1多呈低信号,明显不支持。
作者: dyqct    时间: 2008-3-11 23:51
标题: 回复:ped0639:m 3y,颅内占位,有结果
以下是引用yangyudong333在2008-3-8 6:57:00的发言:[br]小脑髓母细胞瘤
支持!
作者: 随光逐影    时间: 2008-3-21 03:16
ped0639病理结果为:髓母细胞瘤
学习了,谢谢!
作者: 寻芳者    时间: 2008-3-21 07:47
年龄,部位---首先考虑\"髓母\"!!!!!!
作者: xn2ylwg    时间: 2008-3-22 09:02
结果收到.谢谢.
作者: jinguoji    时间: 2008-4-17 05:09
结果收到,学习了,谢谢!
作者: ZHONGXINMR    时间: 2009-6-2 00:16
收到,谢谢
| 欢迎光临 医影在线 (http://bbs.radida.com/bbs/) | 
Powered by Discuz! X3.2 |