医影在线

标题: CT12082:头颅CT [打印本页]

作者: zzyy    时间: 2008-3-8 17:57
标题: CT12082:头颅CT
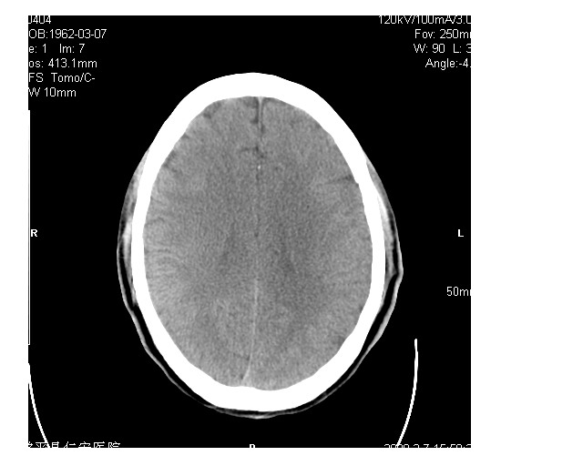
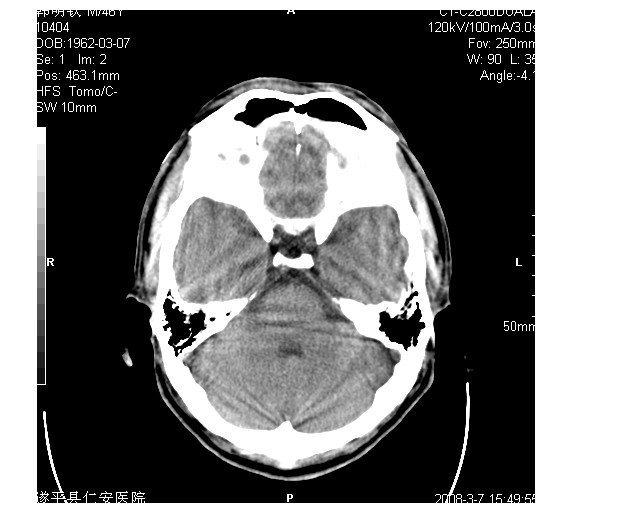
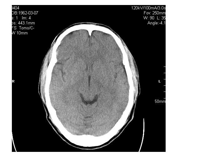
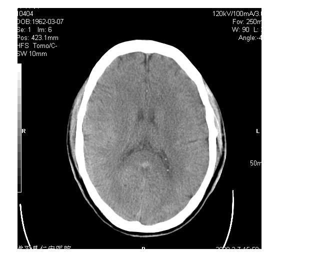
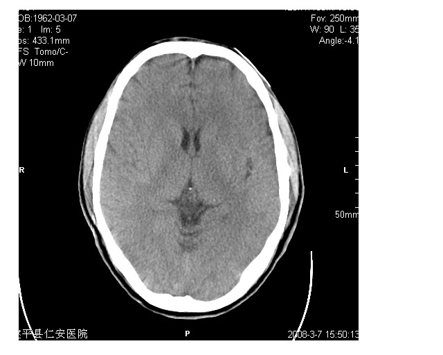
男36岁,外伤进行ct检查时发现脑实质及脑室旁多个细结节状影。是囊虫病吗?










[本贴已被 翁志蓬 于 2008-3-8 11:08:26 修改过]

作者: 杀毒软件    时间: 2008-3-8 18:28
mri检查,可疑囊虫。
作者: 宁娃    时间: 2008-3-8 18:38
脑内及脑室内可见多发性结节影,脑囊虫病不能除外,建议强化扫描或mri。
作者: 形影不离    时间: 2008-3-8 18:52
支持楼主!
作者: 卜一    时间: 2008-3-8 18:54
支持楼主!
作者: ZHANGZHONGSHOU    时间: 2008-3-8 20:15
建议mri检查。
作者: yangyudong333    时间: 2008-3-8 20:21
支持楼主!
作者: 光影★笑子    时间: 2008-3-8 21:13
建议mri检查或实验室检查。
作者: ydx_74    时间: 2008-3-8 21:37
有吗?我只看见图象噪声致颗粒粗大,未见异常。建议加大mas
作者: 随光逐影    时间: 2008-3-8 21:57
疑脑囊虫病。建议:1)结合临床相关检查;2)必要时行mri检查。
作者: jinguoji    时间: 2008-3-8 23:43
标题: 回复:ct12082:头颅ct
以下是引用随光逐影在2008-3-8 13:57:00的发言:[br]疑脑囊虫病。建议:1)结合临床相关检查;2)必要时行mri检查。

作者: qc80012345    时间: 2008-3-9 00:38
mri检查
作者: zjzjr    时间: 2008-3-9 01:23
疑脑囊虫病。建议:1)结合临床相关检查;2)必要时行mri检查。
作者: pushaolin    时间: 2008-3-9 01:36
观察欠佳,建议进一步检查确诊,排外其他病灶。
作者: 黑白光影    时间: 2008-3-9 04:00
疑脑囊虫病。建议:1)结合临床相关检查;2)必要时行mri检查。
作者: night6    时间: 2008-3-9 04:51
我没有看见什么东西
作者: 拾荒者    时间: 2008-3-10 04:14
同意楼主意见:疑脑囊虫病。建议:1)结合临床相关检查;2)必要时行mri检查。
作者: liuchunlei    时间: 2008-3-10 04:29
只看到左侧脑室内多发钙化.可以做结合补体实验啊.但未必阳性.还是隔期复查.mr 也未必定啊.
作者: springlin888999    时间: 2008-3-10 06:25
行mri检查明确是否结节。
作者: 黑金    时间: 2008-3-11 06:37
未见异常
作者: zhw974247    时间: 2008-3-11 17:55
建议mri检查或实验室检查。
作者: dyqct    时间: 2008-3-11 19:40
未见明显异常。
作者: zyx168    时间: 2008-9-7 19:58
未见明显异常。
作者: dr.yang    时间: 2011-6-18 22:57
疑脑囊虫病。建议:1)结合临床相关检查;2)必要时行mri检查。




欢迎光临 医影在线 (http://bbs.radida.com/bbs/) Powered by Discuz! X3.2