医影在线
标题: CT12101:髋关节疼痛,请会诊。 [打印本页]
作者: zhw974247 时间: 2008-3-9 03:56
标题: CT12101:髋关节疼痛,请会诊。
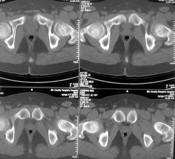
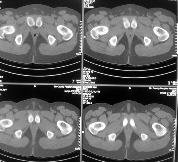
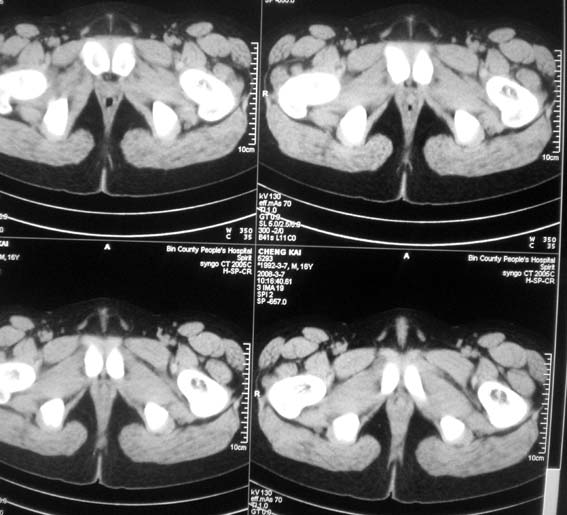
男,16岁,髋部疼痛,发育延迟。










[本贴已被 zhw974247 于 2008-3-8 20:01:40 修改过]
[本贴已被 jiajie 于 2008-3-9 11:37:26 修改过]
作者: 道哥 时间: 2008-3-9 04:20
未见明显异常
作者: 杀毒软件 时间: 2008-3-9 04:34
考虑:双侧髋臼发育不良性骨病。
作者: hou-wg 时间: 2008-3-9 04:58
战友你好,你们的机器没骨算法重建的吗?
作者: panyishengct 时间: 2008-3-9 05:03
双侧髋臼发育不良性骨病
作者: yangyudong333 时间: 2008-3-9 05:31
双侧髋臼发育不良性骨病
作者: huenhao 时间: 2008-3-9 06:55
双侧髋臼发育不良性骨病.股骨头早期坏死?
作者: 宝天曼 时间: 2008-3-9 21:39
双侧髋臼发育不良性骨病
作者: zjzjr 时间: 2008-3-9 23:35
未见明显异常.
作者: 形影不离 时间: 2008-3-9 23:44
双侧髋臼发育不良性骨病
作者: 拾荒者 时间: 2008-3-10 06:09
双侧髋臼发育不良性骨病(髋臼窝变浅,髋臼内上缘关节面毛糙)。
作者: zsl6918 时间: 2008-3-10 06:20
标题: 回复:ct12101:髋关节疼痛,请会诊。
考虑:双侧髋臼发育不良性骨病
作者: dyqct 时间: 2008-3-11 01:28
未见异常。
作者: 阿敏 时间: 2008-3-11 03:55
未见明显异常
作者: zyx168 时间: 2008-9-7 21:14
未见明显异常
作者: zhaz2 时间: 2010-7-16 09:49
我有一例差不多的病例。
| 欢迎光临 医影在线 (http://bbs.radida.com/bbs/) |
Powered by Discuz! X3.2 |