

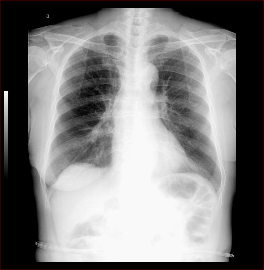
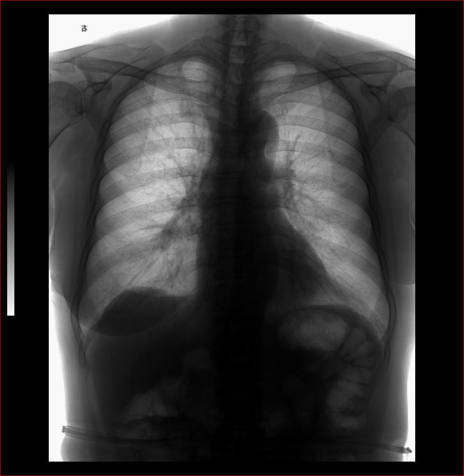
以下是引用杀毒软件在2008-3-9 20:19:00的发言:[br]如果和投照体位无关,考虑:双侧先天性高位肩胛症。
以下是引用杀毒软件在2008-3-9 20:19:00的发言:[br]如果和投照体位无关,考虑:双侧先天性高位肩胛症。
以下是引用杀毒软件在2008-3-9 20:19:00的发言:[br]如果和投照体位无关,考虑:双侧先天性高位肩胛症。
以下是引用huenhao在2008-3-9 22:45:00的发言:[br]如果和投照体位无关,考虑:双侧先天性高位肩胛症。支持
| 欢迎光临 医影在线 (http://bbs.radida.com/bbs/) | Powered by Discuz! X3.2 |