医影在线

标题: X0226:[原创]两肺结节状高密度 [打印本页]

作者: lxl    时间: 2005-4-16 15:38
标题: X0226:[原创]两肺结节状高密度
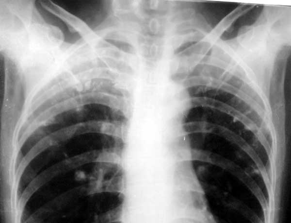
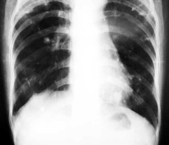
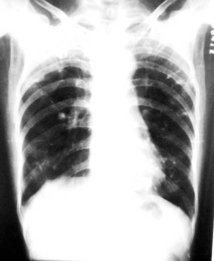
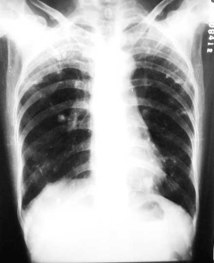
f/63y,胸痛数天,曾患结核性胸膜炎。






[本贴已被 翁志蓬 于 2005-4-16 19:49:01 修改过]

作者: ASYZHKY    时间: 2005-4-16 20:02
陈旧性肺结核
作者: 扬仪    时间: 2005-4-16 21:47
1、双上中继发性肺结核,右侧胸膜粘连;
2、最后一张胸片,左侧肺门处可以见到云雾状密度增高影,密度均匀,边缘模糊,是什么?
作者: huhong1111111    时间: 2005-4-17 04:55
双上肺结节条索。点仗钙化。透光度增强,诊断肺结核,肺气肿
作者: fxt2347    时间: 2005-4-17 05:29
双上肺陈旧性结核,右侧胸膜粘连,肺气肿右侧肺门可能是伪影
作者: x-ray    时间: 2005-4-18 00:46
[emb6]
作者: 25391486    时间: 2005-4-18 04:11
[emb6]
作者: 25391486    时间: 2005-4-18 04:20
[emb6]
作者: zsb_780331    时间: 2005-4-18 21:19
[emb6]
作者: llz    时间: 2005-4-19 04:53
两肺钙化灶,两上胸膜增厚、粘连
作者: 水萝卜    时间: 2005-4-19 05:47
两上肺继发性肺结核;左肺门云雾样高密度影为何物?心后可见结节样高密度影是?请楼主告知详情![emb10]
作者: cztrc    时间: 2005-4-19 07:59
两上肺陈旧性结核
作者: lxl    时间: 2005-4-21 05:16
不好意思,左肺门云雾样高密度影是数码相机摄像的伪影。[emb18]
作者: 向医生    时间: 2005-6-27 07:12
意见:1陈旧性肺结核;2右侧胸膜粘连;3两中下肺气肿。
(第三张片左肺门旁云雾状影楼主已提示为照相时出现的伪影。)
作者: 悬壶济世    时间: 2005-7-1 01:33
[emb6]
作者: mhdsj    时间: 2006-2-15 05:23
支持
作者: zhaochen    时间: 2006-2-15 14:51
1、双上中继发性肺结核,右侧胸膜粘连;
2、最后一张胸片,左侧肺门处可以见到云雾状密度增高影,密度均匀,边缘模糊,考虑左肺舌段渗出
作者: yczzq    时间: 2006-2-16 01:02
两上肺陈旧性结核
作者: 329833626    时间: 2006-2-19 00:52
肺结核
作者: NICU    时间: 2006-2-23 00:35
支持
作者: qxhxf    时间: 2006-3-8 22:24
双上肺陈旧性肺tb
作者: 衡医的药丸    时间: 2006-4-6 19:00
支持五楼~
作者: 天涯tianya    时间: 2006-4-7 06:16
双肺陈旧性结核,双上胸膜粘连
作者: jinguoji    时间: 2006-11-15 06:56
两上肺陈旧性结核
作者: shibing    时间: 2012-10-15 10:08
陈旧性肺结核




欢迎光临 医影在线 (http://bbs.radida.com/bbs/) Powered by Discuz! X3.2