医影在线

标题: X0227:[转帖]才20岁,颈椎 [打印本页]

作者: LXL    时间: 2005-4-16 15:54
标题: X0227:[转帖]才20岁,颈椎
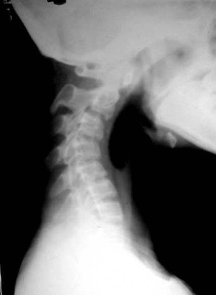
f/20y,在南方打工,电子车间作业,一坐就是五六个小时,现颈部痛。


很遗憾,只照了个侧位。


[本贴已被 翁志蓬 于 2005-4-16 19:51:42 修改过]

作者: 扬仪    时间: 2005-4-16 21:41
又多了 同病相连的人了哦
作者: huhong1111111    时间: 2005-4-17 04:45
慢性肌肉损伤
作者: ctm    时间: 2005-4-17 06:06
我是在电脑前出报告。一天7h工作,也快成这样了。搞影像就是这样的。
作者: x-ray    时间: 2005-4-18 00:43
反屈如此厉害
作者: ysglong    时间: 2005-4-18 08:36
好多人有呀,职业病!!!!!
作者: 奇永根    时间: 2005-4-19 02:50
那就是职业病引起的生理曲度消失
作者: cefcmj    时间: 2005-4-19 05:21
厉害!这么严重的颈椎反弓。[emb14]
作者: 水萝卜    时间: 2005-4-19 05:28
深表同情哦[emb9]以后我可得多注意了,适时远望活动一下,调节一下!现在脖子有时会疼啦[emb5]
作者: sxsxs    时间: 2005-4-19 21:04
颈椎小关节功能不稳
作者: xinting0506    时间: 2005-4-20 01:03
别说工作5小时了,即使是12小时,平时注意活动,也不至于到这种地步,朋友们,关爱自己的身体吧。
作者: 向医生    时间: 2005-6-27 07:21
颈椎极度后突畸形。难道每天坐五、六个小时就会出现这种改变吗?不知楼主是从哪里转贴过来的,最后的诊断是什么?
作者: dgma    时间: 2005-6-30 04:16
看侧位片下颌部下垂,肯定是头颈肌肉僵硬,病根还在颈部软组织。
各位战友大可放心,注意劳逸结合。
作者: xyerykh    时间: 2005-6-30 20:57
小关节功能失稳。
作者: 悬壶济世    时间: 2005-7-1 00:49
颈椎反弓如此厉害,颈椎不稳,可怕!平常应该注意坐姿和锻炼身体。
作者: rjbjl    时间: 2005-7-1 04:56
我觉得这个病人不简单是职业病问题,5小时工作不至于此吧!不是我不同情劳动者,而是有蹊跷!首先肯定单个椎体形态还可以,可是测量好像有发育性椎管狭窄,即便如此也不至于此呀.另外只是颈痛是不存在手术干预条件的,希望患者改变习惯,更好维护自身健康!总觉得不对劲,吻合度差太多!
作者: w1t2p3    时间: 2005-7-3 03:18
c23c34椎小关节不稳,需保护一下
作者: jinguoji    时间: 2006-11-9 23:33
可怕!
作者: yrjw    时间: 2007-8-21 02:25
这么严重的颈椎反弓
作者: shibing    时间: 2013-4-4 09:47
严重的颈椎反弓




欢迎光临 医影在线 (http://bbs.radida.com/bbs/) Powered by Discuz! X3.2