医影在线

标题: X3602:F17Y,右腿畸形 [打印本页]

作者: jiajie    时间: 2008-3-13 17:17
标题: X3602:F17Y,右腿畸形



作者: zxczxc    时间: 2008-3-13 17:31
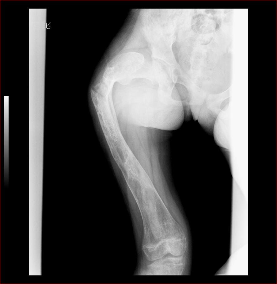
右股骨成骨不全。
左侧比较一下。
作者: jsmctmri    时间: 2008-3-13 17:50
骨纤.
作者: fsk_2023    时间: 2008-3-13 17:56
骨纤并病理性骨折
作者: huxi    时间: 2008-3-13 18:00
骨纤并病理性骨折
作者: xiaoniu    时间: 2008-3-13 18:05
股骨藏刀样畸形改变,骨髓腔消失,骨皮质结构紊乱,典型的骨纤维异常增殖症。
作者: liangshusheng    时间: 2008-3-13 20:17
骨纤?paget病?
作者: ZHANGZHONGSHOU    时间: 2008-3-13 20:33
股骨骨纤维异常增殖症并畸形、病理性骨折。
作者: 北方行者    时间: 2008-3-13 20:38
骨纤
作者: 杀毒软件    时间: 2008-3-13 21:02
支持
作者: 358450m    时间: 2008-3-13 21:38
骨纤
作者: jinguoji    时间: 2008-3-13 21:46
股骨骨纤维异常增殖症并病理性骨折。
作者: LIAOQIANG    时间: 2008-3-13 21:46
考虑股骨骨纤维异常增殖症并病理性骨折。
作者: yangyudong333    时间: 2008-3-13 23:05
股骨骨纤维异常增殖症并畸形、病理性骨折。
作者: 黑白光影    时间: 2008-3-13 23:41
股骨骨纤维异常增殖症并畸形、病理性骨折。支持。
作者: wei98ying    时间: 2008-3-14 00:16
支持骨纤,
作者: qsbaomingcheng    时间: 2008-3-14 00:18
骨纤并病理性骨折
作者: ml2007    时间: 2008-3-14 02:31
骨纤维异常增殖症
作者: wy232326    时间: 2008-3-14 04:38
股骨骨纤维异常增殖症并畸形、病理性骨折。
作者: zhangkening    时间: 2008-3-14 06:13
我觉得是畸形性骨炎的改变.
作者: dugujiujian    时间: 2008-3-14 18:15
学习了
作者: shibing    时间: 2013-10-30 08:39
骨纤并病理性骨折
作者: 独立宣言    时间: 2013-11-9 12:46
股骨藏刀样畸形改变,骨髓腔消失,骨皮质结构紊乱,典型的骨纤维异常增殖症。




欢迎光临 医影在线 (http://bbs.radida.com/bbs/) Powered by Discuz! X3.2