医影在线

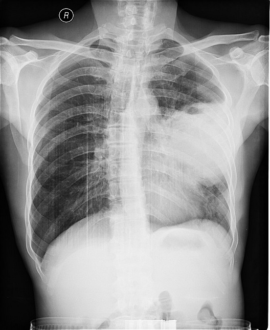
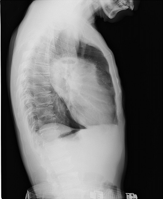
标题: X3612:男,48岁,咳嗽气逼月余 [打印本页]

作者: hexue    时间: 2008-3-14 02:05
标题: X3612:男,48岁,咳嗽气逼月余




[本贴已被 jiajie 于 2008-3-13 19:29:23 修改过]

作者: 胡志兴    时间: 2008-3-14 02:32
考虑肺脓肿,ct除外ca
作者: 杀毒软件    时间: 2008-3-14 02:42
首先考虑肺癌,次之考虑慢性肺脓肿。
作者: 小小大夫    时间: 2008-3-14 02:48
实性包块,上有小液平,如无脓肿症状,考虑肺癌
作者: ZHANGZHONGSHOU    时间: 2008-3-14 03:01
肺癌可能性大,建议ct检查并结合临床,除外肺脓肿的可能。
作者: 358450m    时间: 2008-3-14 03:05
标题: 回复:男,48岁,咳嗽气逼月余
以下是引用胡志兴在2008-3-13 18:32:00的发言:[br]考虑肺脓肿,ct除外ca

作者: cmj    时间: 2008-3-14 03:43
考虑肺癌
作者: darrenzhang    时间: 2008-3-14 04:06
肺囊肿
作者: wy232326    时间: 2008-3-14 04:06
肺癌可能性大不除外肺脓肿可能
作者: yangyudong333    时间: 2008-3-14 04:41
考虑肺脓肿,ct除外ca
作者: dyqct    时间: 2008-3-14 05:01
标题: 回复:x3612:男,48岁,咳嗽气逼月余
以下是引用zhangzhongshou在2008-3-13 19:01:00的发言:[br]肺癌可能性大,建议ct检查并结合临床,除外肺脓肿的可能。

支持!
作者: zhangkening    时间: 2008-3-14 05:06
肺脓肿应该是边缘不清楚吧,而这个好象是块状密度增高影,所以我觉得是周围性肺癌引起的空洞.
作者: qsbaomingcheng    时间: 2008-3-14 05:28
考虑肺脓肿,ct除外ca
作者: luoxinjun    时间: 2008-3-14 05:42
肺癌可能性大,建议ct检查并结合临床,除外肺脓肿的可能
作者: 知识    时间: 2008-3-14 07:22
考虑肺脓肿,建议ct除外肺癌。
作者: jinguoji    时间: 2008-3-14 07:28
肺癌可能性大,建议ct检查除外肺脓肿的可能。
作者: shibing    时间: 2013-10-30 08:44
建议ct检查
作者: lyming00    时间: 2013-10-31 06:41
肺癌可能性大,建议ct检查并结合临床,除外肺脓肿的可能
作者: 黑白艺术    时间: 2013-10-31 22:59
肺癌的可能性大,不排除肺脓肿。期待结果。
作者: 独立宣言    时间: 2013-11-8 22:53
肺癌可能性大,建议ct检查并结合临床,除外肺脓肿的可能
作者: 592438394    时间: 2013-11-12 20:13
肺癌可能性大不除外肺脓肿可能




欢迎光临 医影在线 (http://bbs.radida.com/bbs/) Powered by Discuz! X3.2