医影在线
标题: CT12218:颅脑占位,请大家会诊! [打印本页]
作者: 陈宏 时间: 2008-3-14 06:54
标题: CT12218:颅脑占位,请大家会诊!
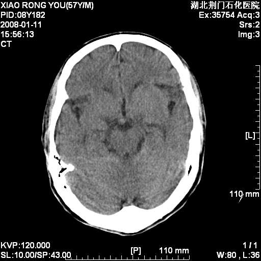
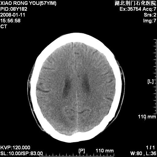
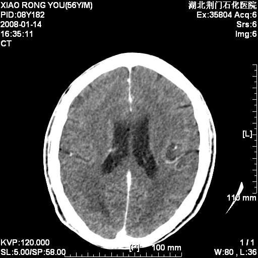
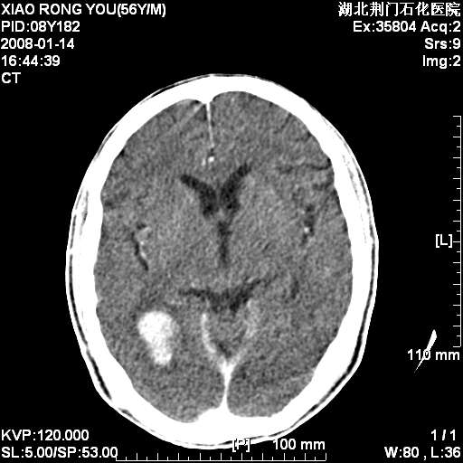
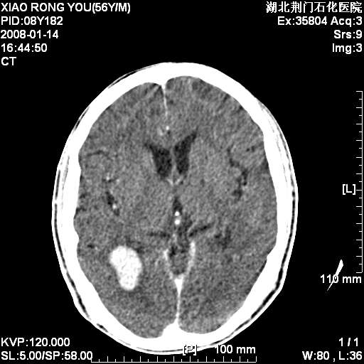
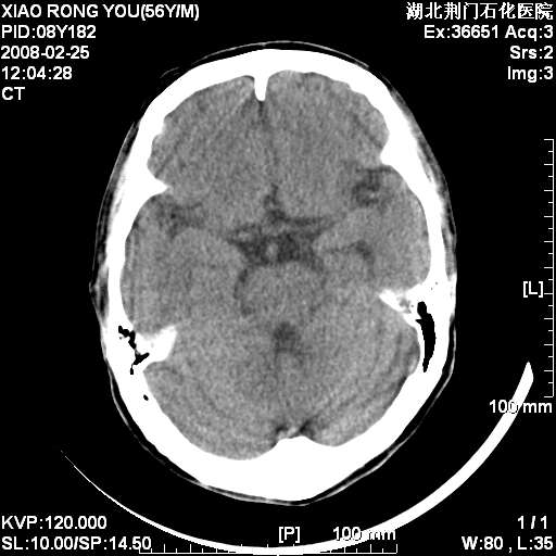
男性,68岁,多年肺结核病史。最近ct复查右肺有占位。
头部平扫





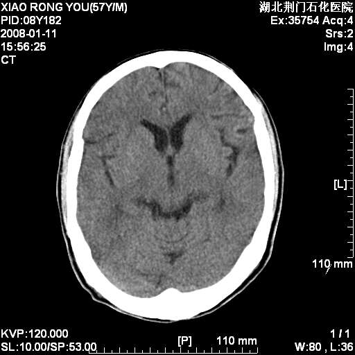
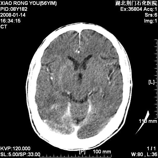
3天后增强











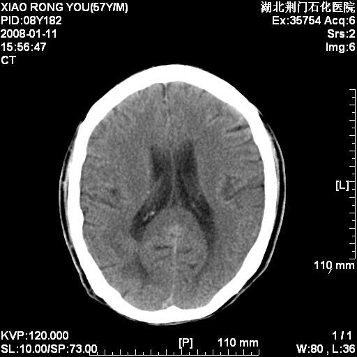
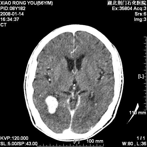
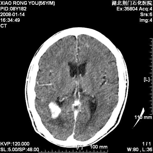
1月后复查










[本贴已被 翁志蓬 于 2008-3-13 23:58:52 修改过]
作者: wangzhengyuan 时间: 2008-3-14 07:08
增强明显强化,转移?
作者: 2005laoma 时间: 2008-3-14 07:33
标题: 回复:颅脑占位,请大家会诊!
以下是引用wangzhengyuan在2008-3-13 23:08:00的发言:[br]增强明显强化,转移?[br]
作者: hjk 时间: 2008-3-14 07:46
右侧脑室脑膜瘤
作者: xuhuihong 时间: 2008-3-14 07:50
肺部有占位,考虑转移!
作者: 随光逐影 时间: 2008-3-14 08:25
考虑为:转移瘤可能性大。
作者: 大漠孤雁 时间: 2008-3-14 14:30
支持脑膜瘤.
作者: yangyudong333 时间: 2008-3-14 14:54
结合病史考虑转移可能性大
作者: zsl6918 时间: 2008-3-14 15:23
如此血管样强化表现,转移瘤不好解释,考虑脑膜瘤或血管瘤
作者: dj19760805 时间: 2008-3-14 16:29
多发,考虑转移
作者: 小笨熊24 时间: 2008-3-14 17:26
标题: 新手还没毕业
考虑室管膜瘤
或转移瘤
[本贴已被 小笨熊24 于 2008-3-14 9:27:42 修改过]
作者: luobingquan 时间: 2008-3-14 17:27
转移瘤,前后对比可发现复查片左顶叶出现一低密度灶
作者: 卜一 时间: 2008-3-14 18:12
多发转移!
作者: 子期 时间: 2008-3-14 18:16
考虑右侧脑室后角脑膜瘤.
作者: xysheng 时间: 2008-3-14 18:20
脉络从乳头状瘤
作者: xysheng 时间: 2008-3-14 18:22
不好意思,刚搞错了,考虑侧脑室三角区脑膜瘤
作者: 沙漠骆驼 时间: 2008-3-14 18:37
结合病史考虑转移可能性大.
作者: zjzjr 时间: 2008-3-14 18:40
考虑为:多发转移瘤可能性大。
作者: chengjiaqiu1 时间: 2008-3-14 18:58
支持脑膜瘤
作者: liuqiang 时间: 2008-3-14 19:04
结合病史考虑转移。
作者: 王仕学 时间: 2008-3-14 19:22
结合病史考虑转移可能性大
作者: 宇宙CT 时间: 2008-3-14 19:51
结合病史考虑转移可能性大
作者: 前行 时间: 2008-3-14 20:28
平扫无明显占位及水肿、增强扫描强化明显以血管瘤可能性大
作者: yy杨洋 时间: 2008-3-14 20:29
结合病史考虑转移可能性大
作者: jinguoji 时间: 2008-3-14 21:10
结合病史考虑转移可能性大。
作者: jiangjing 时间: 2008-3-14 22:13
kaolv 侧脑室三角区脑膜瘤,转移瘤待排
作者: jsgdoctor 时间: 2008-3-14 22:57
考虑转移瘤.
作者: 影象小泰斗 时间: 2008-3-14 23:06
病变范围在一个多月时间增大,且密度不均周围有税种,并且多发!考虑转移瘤!
作者: 清净19 时间: 2008-3-14 23:43
考虑转移
作者: wqs571018 时间: 2008-3-14 23:51
结合病史,首先考虑转移可能性大。其次考虑脑膜瘤。
作者: 熊嘎→婆 时间: 2008-3-15 00:00
强化如此明显,周围又见水肿带,支持血管瘤。
作者: wanghuiyellf 时间: 2008-3-15 00:11
结合病史考虑转移可能性大
作者: 玉真 时间: 2008-3-15 00:17
考虑转移
作者: 形影不离 时间: 2008-3-15 00:25
支持转移瘤.
作者: 52yingxiang 时间: 2008-3-15 00:41
多发转移!
作者: xulianj 时间: 2008-3-15 05:10
结合病史考虑转移可能性大。
作者: 拾荒者 时间: 2008-3-15 05:14
结合病史考虑转移可能性大。
作者: dyqct 时间: 2008-3-15 18:23
为什么第三次不直接增强呢?
作者: 江南霜晓 时间: 2008-3-15 19:45
这么明显的强化不支持转移瘤,血管瘤可能大。
作者: 光影相伴 时间: 2008-3-15 23:40
考虑:脑转移瘤。
作者: panyishengct 时间: 2008-3-16 00:24
左枕/顶叶出现新病灶,转移瘤
作者: zyx168 时间: 2008-9-17 01:24
虽病史支持转移瘤,但影像不支持!
作者: gedong 时间: 2008-9-17 01:32
强化明显,周围水肿轻,考虑脑膜瘤
作者: 杀毒软件 时间: 2008-9-17 01:55
结合病史考虑转移可能性大
作者: arven 时间: 2008-9-17 05:01
标题: 回复:ct12218:颅脑占位,请大家会诊!
以下是引用江南霜晓在2008-3-15 11:45:00的发言:[br]这么明显的强化不支持转移瘤,血管瘤可能大。
作者: 蓝星 时间: 2008-9-17 05:53
周围水肿不明显,增强后明显强化,应该多脑膜瘤或着血管瘤。
作者: dr.yang 时间: 2011-6-18 23:51
结合病史考虑转移可能性大
| 欢迎光临 医影在线 (http://bbs.radida.com/bbs/) |
Powered by Discuz! X3.2 |