

















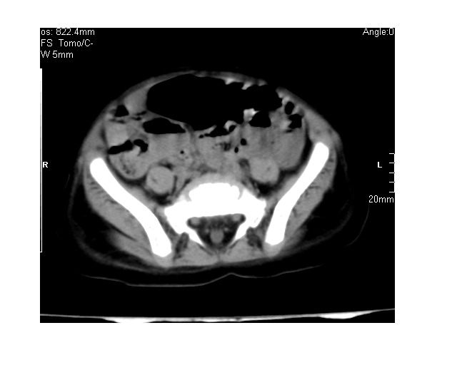
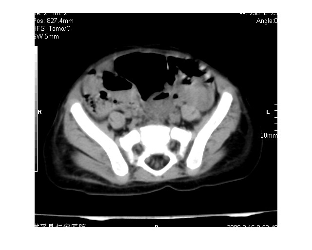
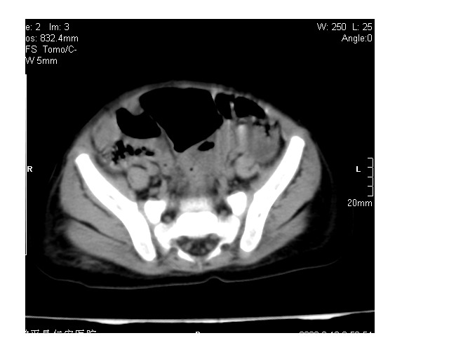
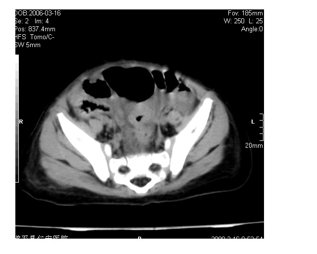
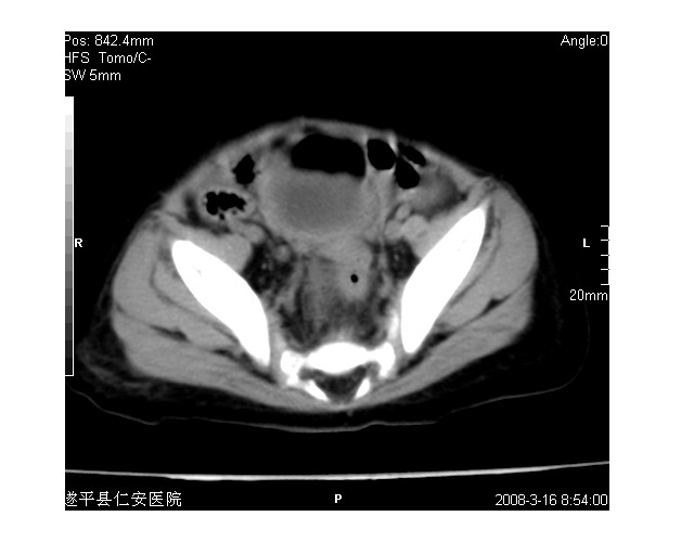
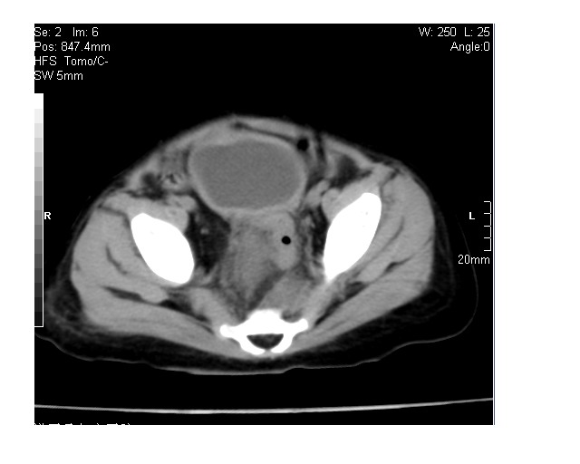
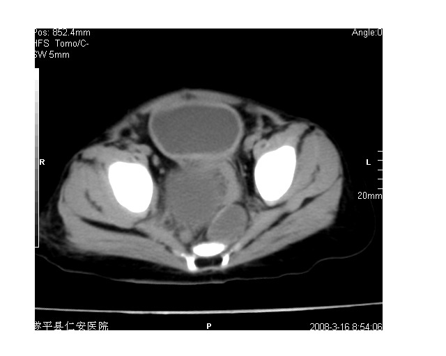
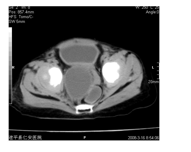
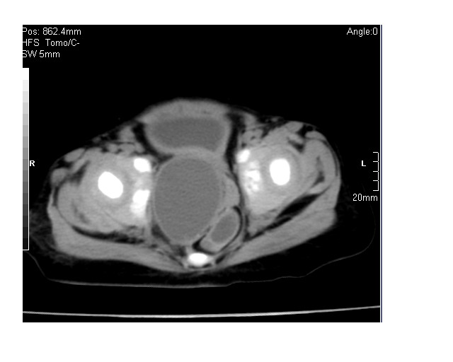
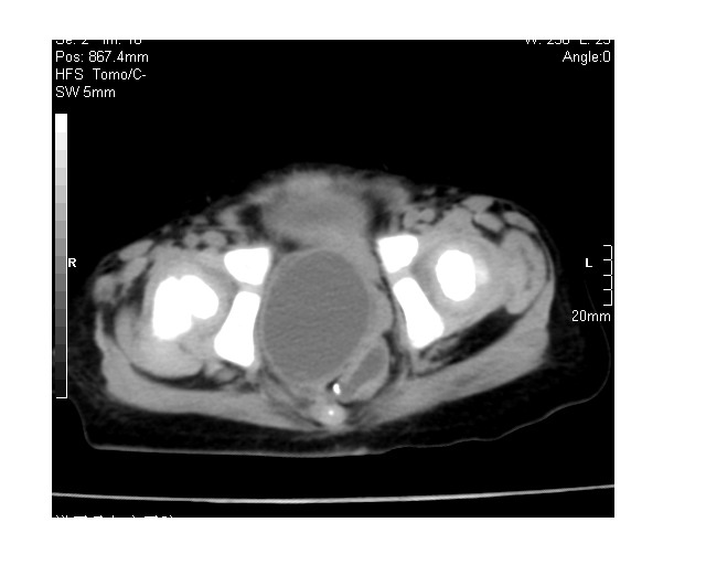
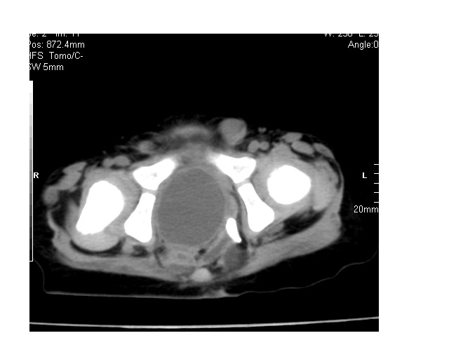
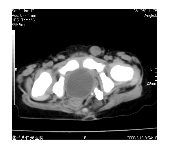
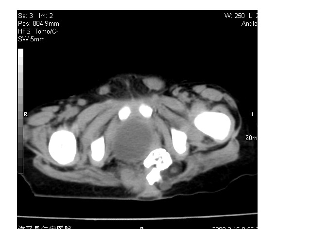
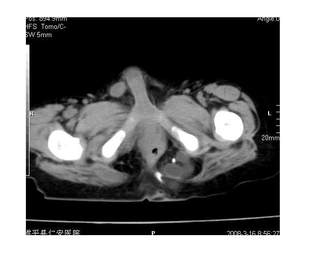
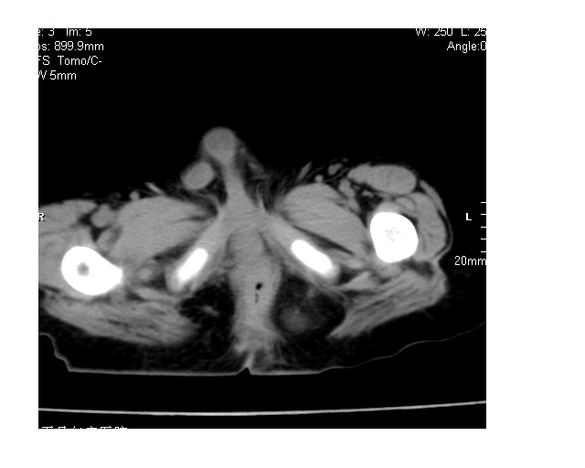
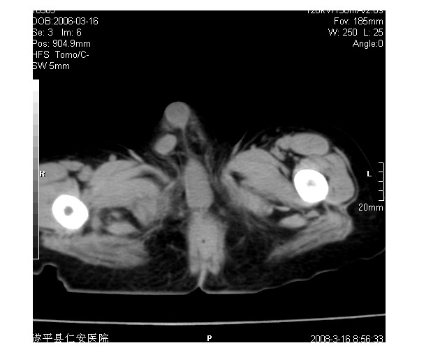
以下是引用lkc8963在2008-3-16 12:49:00的发言:[br]盆底巨大混杂密度肿块,富含多种组织成分包括脂肪/液体/软组织/钙化,边界清楚,向前压迫肠管及膀胱,向后突入骶尾部皮下脂肪层,首先考虑畸胎瘤,诊断时需要与脊柱裂/囊性淋巴管瘤等区别。
以下是引用lkc8963在2008-3-16 12:49:00的发言:[br]盆底巨大混杂密度肿块,富含多种组织成分包括脂肪/液体/软组织/钙化,边界清楚,向前压迫肠管及膀胱,向后突入骶尾部皮下脂肪层,首先考虑畸胎瘤,诊断时需要与脊柱裂/囊性淋巴管瘤等区别。
| 欢迎光临 医影在线 (http://bbs.radida.com/bbs/) | Powered by Discuz! X3.2 |