医影在线

标题: X0231:请赐教 左小腿 [打印本页]

作者: lxb    时间: 2005-4-19 04:35
标题: X0231:请赐教 左小腿
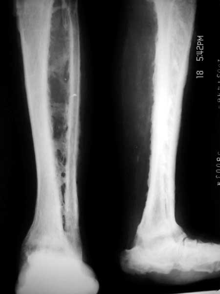
男,42岁,左踝外伤20余年。
查:体温正常,左踝部肿胀,小腿无流脓,跛行。




[本贴已被 翁志蓬 于 2005-4-19 23:31:41 修改过]

作者: caihe    时间: 2005-4-20 04:42
该病例胫腓骨之间见交叉骨质连接,其内似见杂乱骨纹,胫腓骨皮质增厚,骨髓腔模糊不清,跟骨形态边缘不整,结合外伤史考虑:左小腿(胫腓骨)骨化性肌炎.
作者: jiangjing    时间: 2005-4-20 07:21
42岁,左踝外伤20年,左踝肿胀,无流脓,跛行,胫腓骨皮质增厚,隋腔变窄增密昏暗,骨间膜骨化,跟骨
增密变形考虑1低毒感染伴骨化性肌炎2氟骨症。
作者: huhong1111111    时间: 2005-4-21 18:26
标题: 回复:x0231:请赐教 左小腿
以下是引用caihe在2005-4-19 20:42:13的发言:[br]该病例胫腓骨之间见交叉骨质连接,其内似见杂乱骨纹,胫腓骨皮质增厚,骨髓腔模糊不清,跟骨形态边缘不整,结合外伤史考虑:左小腿(胫腓骨)骨化性肌炎.

作者: zhangfumin8    时间: 2005-4-21 22:31
加照对侧及骨盆片有无相同改变,如有就可诊断氟骨症。
作者: lxb    时间: 2005-4-29 06:53
多谢各位,[emb7]
作者: xiongxm_zh    时间: 2005-5-3 04:33
支持骨化性肌炎
作者: 大头    时间: 2005-5-3 08:59
骨化性肌炎应该不会侵及关节腔及骨髓腔,考虑化脓性骨髓炎?

[emb12][emb12]
作者: 大头    时间: 2005-5-3 09:00
骨化性肌炎应该不会侵及关节腔及骨髓腔,考虑化脓性骨髓炎?

[emb12][emb12]
作者: 向医生    时间: 2005-7-2 16:54
左小腿软组织内有较多条片状致密影,胫腓骨相对应区骨皮质不规则,符合骨化肌炎改变.
        左距骨明显碎裂变小,密度增高,跟骨密度亦增高,足弓消失,左胫骨下端有骨质吸收,踝关节间隙几近消失.考虑有1左踝创伤性关节炎;2神经营养性关节;3跟距骨缺血性坏死.
作者: wshp    时间: 2005-7-2 21:33
很好玩的病例。我还是考虑为低毒性感染,主要累及骨间膜。
作者: lxb    时间: 2005-8-10 07:55
本人也是第一次碰到这种病例,请指教,谢谢大家的参与!!
作者: zhengguonala    时间: 2005-8-15 22:22
考虑广泛的骨化性肌炎,情ct进一步检查除外骨质异常
作者: jinguoji    时间: 2006-11-10 01:34
考虑广泛的骨化性肌炎
作者: jssqcdm    时间: 2006-11-10 07:32
1低毒感染伴骨化性肌炎。左踝创伤性关节炎。跟距骨陈旧性骨折。
作者: shibing    时间: 2012-9-3 07:16
标题: Re:X0231:请赐教   左小腿
考虑广泛的骨化性肌炎
作者: lyming00    时间: 2012-9-13 08:15
标题: Re:X0231:请赐教   左小腿
考虑广泛的骨化性肌炎




欢迎光临 医影在线 (http://bbs.radida.com/bbs/) Powered by Discuz! X3.2