医影在线
标题: X3664:不单单是脱位 [打印本页]
作者: 黑白光影 时间: 2008-3-18 22:59
标题: X3664:不单单是脱位
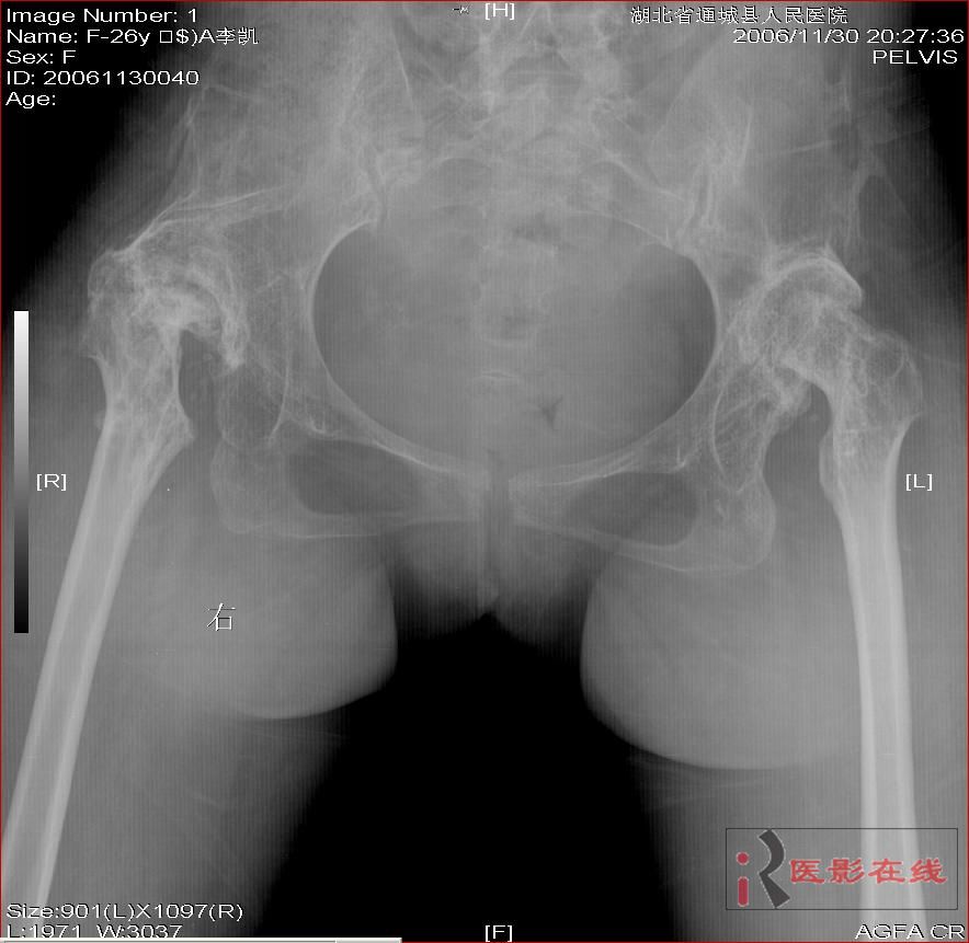
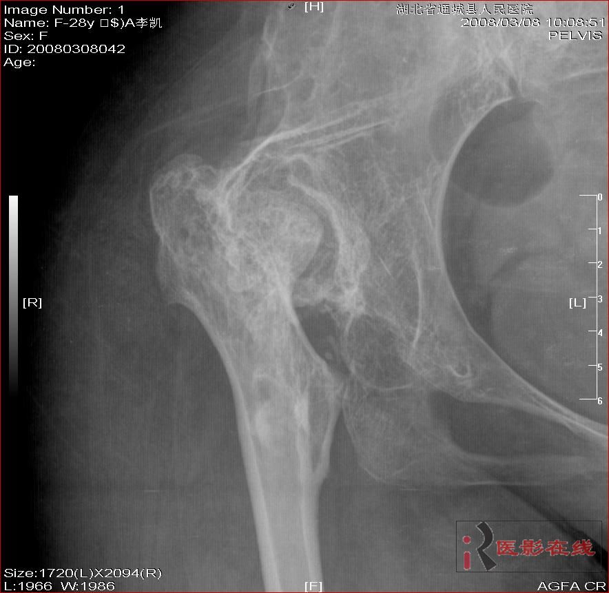
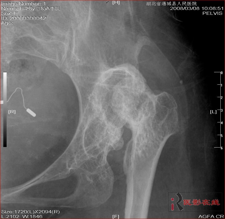
先天性双髋关节脱位自体骨关节再造
女 28岁 先天性髋关节脱位术后复查片(手术日期是2000年,数字化以前平片资料患者外带),现无其它不适,走路仍需双拐
2006年11月30日



2008年3月8日



[本贴已被 zhw974247 于 2008-3-18 15:19:26 修改过]
作者: 358450m 时间: 2008-3-19 01:54
1右髋关节脱位2无菌坏死
作者: 358450m 时间: 2008-3-19 01:56
1右髋关节脱位2无菌坏死 3左髋关节术后改变
作者: 前行 时间: 2008-3-19 02:07
脱位,退变、费用性不骨疏松。骨性强直?
作者: 刘国良 时间: 2008-3-19 02:51
双髋关节无菌坏死,骨性强直。
作者: lishibao 时间: 2008-3-19 03:19
1右髋形成假关节.
2双髋骨质退变.
3无菌坏死可能.
作者: liangshusheng 时间: 2008-3-19 03:27
髋关节脱位自体骨关节再造术后,股骨头发育不良,骨质疏松
作者: zhxq 时间: 2008-3-19 04:00
1.双髋关节先天性脱位术后改变;2.双髋关节退行性变;3.骨质疏松(骨盆明显)。
作者: hexue 时间: 2008-3-19 05:34
1\\双髋关节脱位假关节形成.
2\\骨盆先天性发育异常.
作者: 宇宙CT 时间: 2008-3-19 06:16
髋关节脱位自体骨关节再造术后,股骨头发育不良,骨质疏松
作者: 宇宙CT 时间: 2008-3-19 06:34
1右髋形成假关节.
2双髋骨质退变.
3无菌坏死可能.
作者: 眼睛 时间: 2008-3-19 17:34
1右髋关节脱位2无菌坏死 3左髋关节术后改变
作者: zhangkai 时间: 2008-3-19 18:54
手术做得不太成功。
作者: ljj88 时间: 2008-3-19 18:59
1右髋形成假关节.
2双髋骨质退变.
3无菌坏死可能.
作者: 杀毒软件 时间: 2008-3-20 01:56
双侧髋关节仍为脱位表现,假关节形成,部分已经强直,右股骨头碎裂,股骨干近端增粗。
结合手术史考虑:原地臼盖成形术后,髋关节退变,股骨头无菌性坏死,右股骨近端生长紊乱,骨质疏松。
作者: 小小乡医 时间: 2008-6-1 22:42
脱位,骨性愈合畸形
作者: 870615 时间: 2008-7-8 03:58
1.双侧髋关节脱位并假关节形成。
2.考虑双髋关节骨性关节炎并股骨头缺血坏死。
作者: zengpingli 时间: 2008-7-11 05:04
标题: 回复:x3664:不单单是脱位
以下是引用zhxq在2008-3-18 20:00:00的发言:[br]1.双髋关节先天性脱位术后改变;2.双髋关节退行性变;3.骨质疏松(骨盆明显)。
作者: wy232326 时间: 2008-7-19 01:07
1.双髋关节先天性脱位术后改变;2.双髋关节退行性变;3.骨质疏松(骨盆明显)。
作者: 吴文利 时间: 2008-7-19 01:14
.双髋关节先天性脱位术后改变;2.双髋关节退行性变;3.骨质疏松
作者: zengpingli 时间: 2008-7-19 01:22
标题: 回复:x3664:不单单是脱位
以下是引用zhxq在2008-3-18 20:00:00的发言:[br]1.双髋关节先天性脱位术后改变;2.双髋关节退行性变;3.骨质疏松(骨盆明显)。
作者: chenfei126 时间: 2008-8-3 05:45
学习了
作者: yuhongjun 时间: 2008-8-3 13:22
标题: 回复:x3664:不单单是脱位
以下是引用杀毒软件在2008-3-19 17:56:00的发言:[br]双侧髋关节仍为脱位表现,假关节形成,部分已经强直,右股骨头碎裂,股骨干近端增粗。[br]结合手术史考虑:原地臼盖成形术后,髋关节退变,股骨头无菌性坏死,右股骨近端生长紊乱,骨质疏松。
作者: shibing 时间: 2014-3-3 08:30
髋关节脱位自体骨关节再造术后,股骨头发育不良,骨质疏松
| 欢迎光临 医影在线 (http://bbs.radida.com/bbs/) |
Powered by Discuz! X3.2 |