医影在线
标题: CT12308:头颅CT请大家会诊 [打印本页]
作者: muxinhua 时间: 2008-3-19 04:56
标题: CT12308:头颅CT请大家会诊
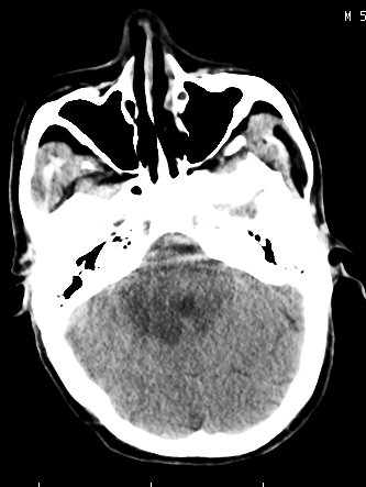
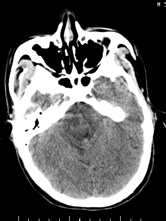
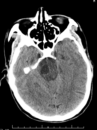
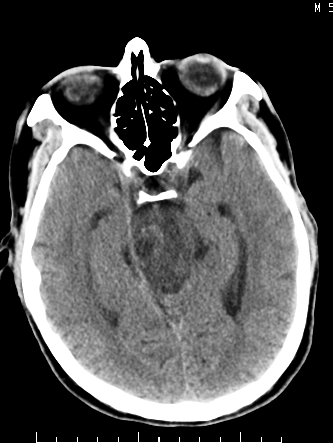
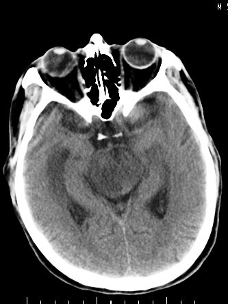
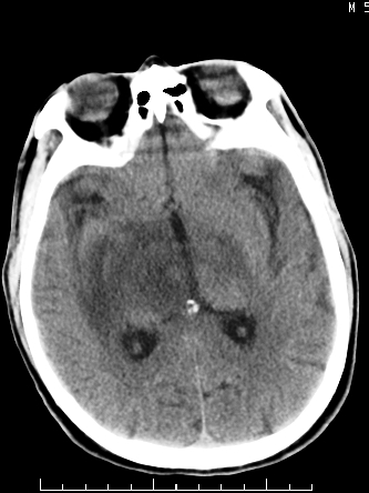
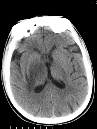
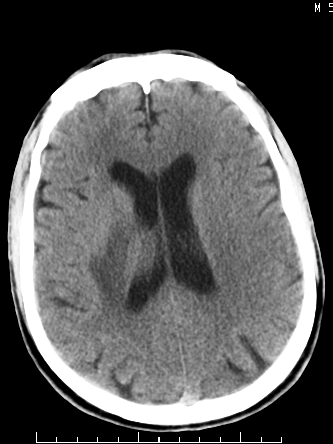
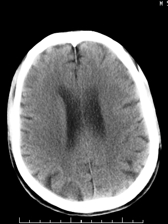
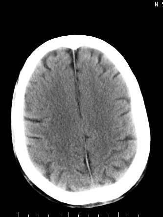
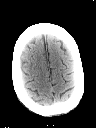
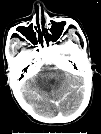
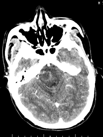
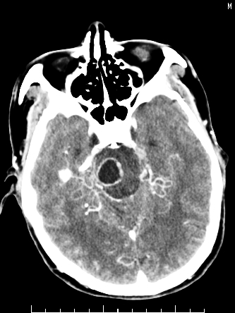
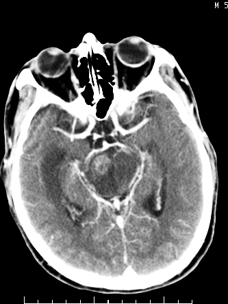
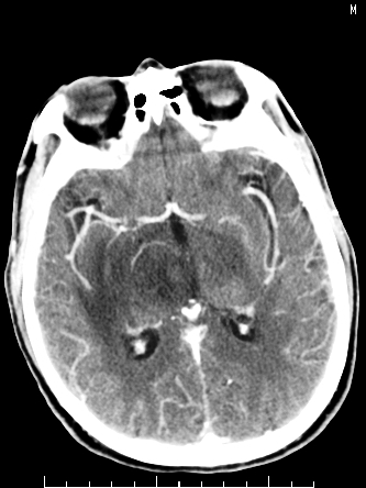
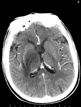
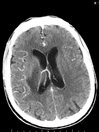
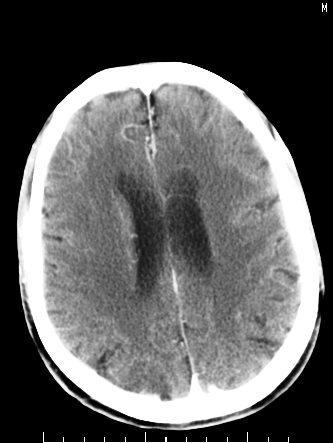
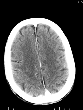
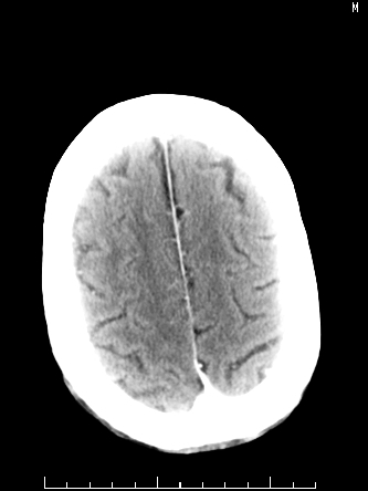
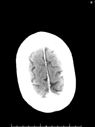
m/50,头昏头痛1月,近3天感觉左半肢体活动不利,自述半年前呈患肺tb,腰穿脑脊液未见特殊改变。现做头颅ct请大家会诊。























[本贴已被 muxinhua 于 2008-3-18 21:06:18 修改过]
[本贴已被 翁志蓬 于 2008-3-18 22:00:55 修改过]
作者: liangshusheng 时间: 2008-3-19 05:13
ct值?是囊变?梗塞软化灶形成
作者: 形影不离 时间: 2008-3-19 05:20
考虑颅内感染性病变:结核可能性大。
作者: zsl6918 时间: 2008-3-19 05:29
好病例,考虑结核
作者: trljl 时间: 2008-3-19 05:47
脑干区胶质瘤可能性大。
作者: xulianj 时间: 2008-3-19 05:57
建议mri检
作者: w_jianhua 时间: 2008-3-19 05:58
考虑:1.结核脓肿,2.星形胶质瘤,但脑积液正常,这考虑肿瘤的可能性大些.期待结果
作者: 影像孺子牛 时间: 2008-3-19 06:06
首先考虑肿瘤性病变,星形细胞瘤可能性大,不排外转移瘤。建议mri。
作者: 岚儿 时间: 2008-3-19 06:13
结核性脑膜炎,结核瘤,梗塞灶三症并存,提示颅内结核感染可能性大。
作者: panyishengct 时间: 2008-3-19 06:19
考虑颅内感染性病变:结核可能性大。
作者: 青石¥ 时间: 2008-3-19 06:22
标题: 回复:ct12308:头颅ct请大家会诊
以下是引用形影不离在2008-3-18 21:20:00的发言:[br]考虑颅内感染性病变:结核可能性大。
作者: yy杨洋 时间: 2008-3-19 06:56
http://www.radida.com/radinet/read.php?tid=34309&page=1
感觉有点象.考虑颅内感染性病变.但腰穿不支持!
作者: jinguoji 时间: 2008-3-19 07:44
考虑颅内结核可能性大。
作者: hlbx126 时间: 2008-3-19 08:29
感染性病变;脑干脓肿(脓肿壁形成期),基底节及内囊(脑炎期)。顺便问一句,该病人是不是抵抗力很差,有没有糖尿病。
作者: wwyz 时间: 2008-3-19 08:40
考虑颅内感染性病变:结核可能性大。
作者: 卜一 时间: 2008-3-19 14:21
感染性病变:结核可能性大,支持!
作者: 宝天曼 时间: 2008-3-19 14:26
首先考虑肿瘤性病变,星形细胞瘤可能性大,不排外转移瘤。建议mri。
作者: 子期 时间: 2008-3-19 16:37
脑干占位,考虑转移瘤可能性大,不除外胶质瘤.
作者: 随光逐影 时间: 2008-3-19 16:37
考虑为:脑干脓肿;不排除胶质瘤或转移瘤。
作者: 宇宙CT 时间: 2008-3-19 18:20
考虑颅内感染性病变:结核可能性大。
作者: lclaiwa 时间: 2008-3-19 18:46
感染可能性大,是不是结核不好说,肿瘤好像不是很像,不过等待结果啦,、一切皆有可能。
作者: hanlongjiang 时间: 2008-3-19 19:33
请大家结合临床表现看一下 左侧肢体的症状是脑干 还是其他的问题 另外结核感染脑脊液应该有问题 所以应该考虑肿瘤性病变
作者: zhanglixian1985 时间: 2008-3-19 19:56
有结果吗?
作者: yangyudong333 时间: 2008-3-19 20:06
结核性脑膜炎,结核瘤,梗塞灶三症并存,提示颅内结核感染可能性大。
作者: zjzjr 时间: 2008-3-19 20:17
右侧基底节区缺血性脑梗塞.脑干区考虑结核.
作者: chmh 时间: 2008-3-19 22:00
考虑肿瘤性病变,星形细胞瘤?
作者: dyqct 时间: 2008-3-20 00:11
标题: 回复:ct12308:头颅ct请大家会诊
以下是引用yangyudong333在2008-3-19 12:06:00的发言:[br]结核性脑膜炎,结核瘤,梗塞灶三症并存,提示颅内结核感染可能性大。
作者: tao772 时间: 2008-3-20 00:18
感染性病变
作者: 拾荒者 时间: 2008-3-20 06:29
标题: 回复:ct12308:头颅ct请大家会诊
以下是引用岚儿在2008-3-18 22:13:00的发言:[br]结核性脑膜炎,结核瘤,梗塞灶三症并存,提示颅内结核感染可能性大。
支持!
作者: tyq12315 时间: 2008-3-20 08:36
可考虑结核,患者水肿范围大,囊性病灶边缘密度较高,不考虑胶质母细胞瘤
作者: zyx168 时间: 2008-9-19 17:18
考虑为:脑干脓肿;不排除胶质瘤或转移瘤。
作者: bmw011 时间: 2008-10-14 09:27
标题: 回复:ct12308:头颅ct请大家会诊
以下是引用trljl在2008-3-18 21:47:00的发言:[br]脑干区胶质瘤可能性大。[br]
作者: dr.yang 时间: 2012-4-26 06:45
结核性脑膜炎,结核瘤,梗塞灶三症并存,提示颅内结核感染可能性大。
-学习
| 欢迎光临 医影在线 (http://bbs.radida.com/bbs/) |
Powered by Discuz! X3.2 |