医影在线
标题: PED0678:男,10岁,寰枢椎平扫。 [打印本页]
作者: 狙击手 时间: 2008-3-21 03:52
标题: PED0678:男,10岁,寰枢椎平扫。
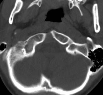
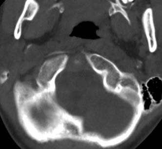
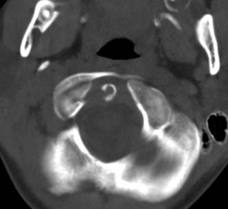
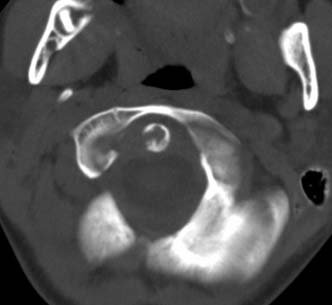
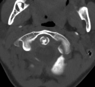
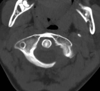
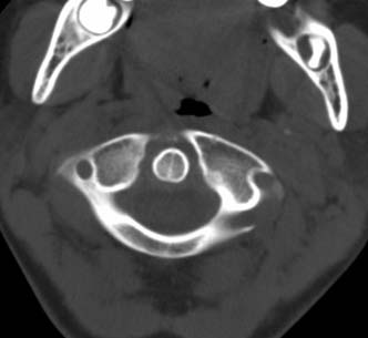
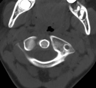
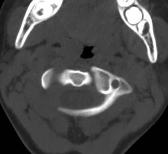
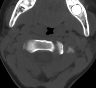
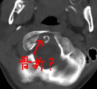
患者在校与同龄孩子打闹后(据家长说被拳击中颈部)出现颈部不适30分钟后入院检查,来时脖子歪斜。请大家看看枢椎齿状突及寰枢关节有问题吗?(3mm层厚断层扫描)。










[本贴已被 狙击手 于 2008-3-20 22:01:57 修改过]
[本贴已被 翁志蓬 于 2008-3-21 0:12:55 修改过]
作者: 道哥 时间: 2008-3-21 04:20
未见异常
作者: 杀毒软件 时间: 2008-3-21 04:49
未见明显异常
作者: jsgdoctor 时间: 2008-3-21 05:14
未见明显异常
作者: xulianj 时间: 2008-3-21 05:47
未见明显异常.再查mri看看。
作者: yy杨洋 时间: 2008-3-21 05:53
未见明显异常
作者: 不学无术 时间: 2008-3-21 06:40
未见明显异常
作者: 宇宙CT 时间: 2008-3-21 07:08
未见明显异常
作者: jinguoji 时间: 2008-3-21 08:15
未见明显异常。
作者: yangyudong333 时间: 2008-3-21 15:44
未见明显异常。
作者: wy232326 时间: 2008-3-21 19:36
未见明显异常。
作者: wangjj555 时间: 2008-3-22 00:27
未见异常
作者: xn2ylwg 时间: 2008-3-22 04:56
环枢关节未见异常征象.
作者: zjzjr 时间: 2008-3-23 17:29
未见异常
作者: shiqingfa 时间: 2008-3-24 03:32
未见异常
作者: dyqct 时间: 2008-3-26 18:54
未见异常。
| 欢迎光临 医影在线 (http://bbs.radida.com/bbs/) |
Powered by Discuz! X3.2 |