医影在线

标题: CT12355:男性, 49岁, 主因头痛 [打印本页]

作者: mzh123    时间: 2008-3-21 18:39
标题: CT12355:男性, 49岁, 主因头痛
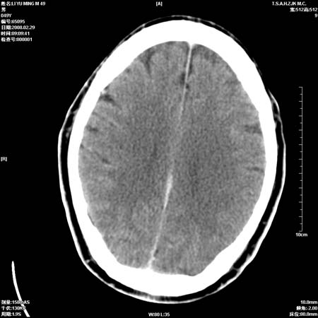
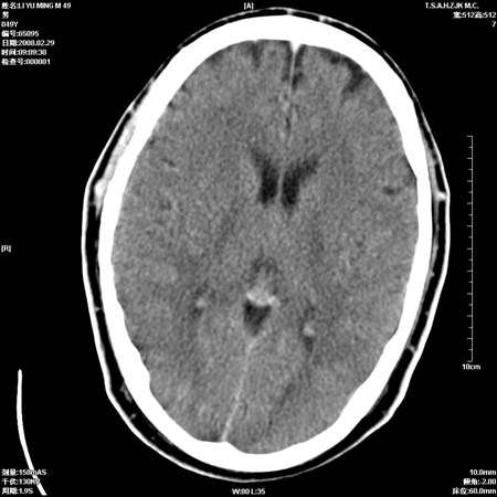
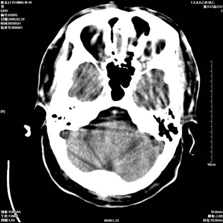
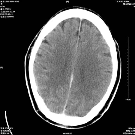
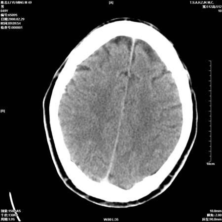
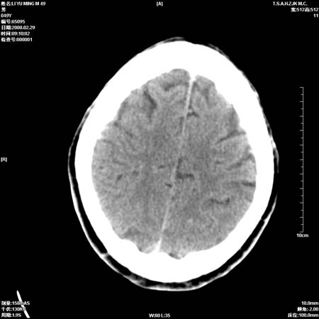
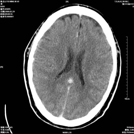
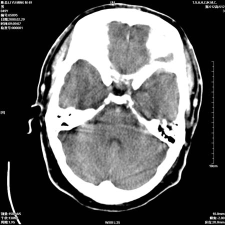
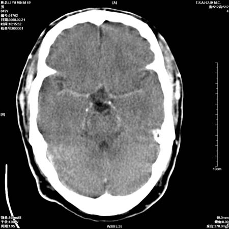
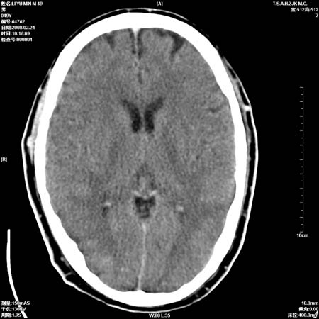
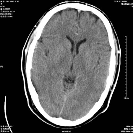
男性, 49岁, 头痛, 行ct检查后, 我科一名大夫报了蛛网膜下腔出血, 请大家讨论!













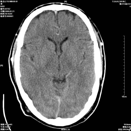
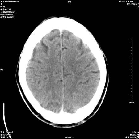
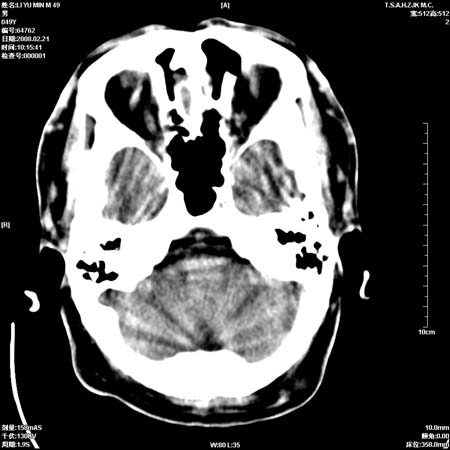
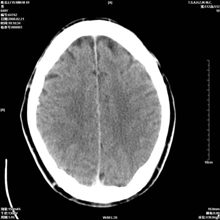
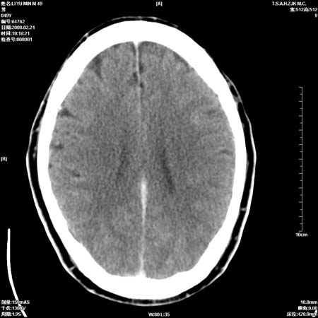
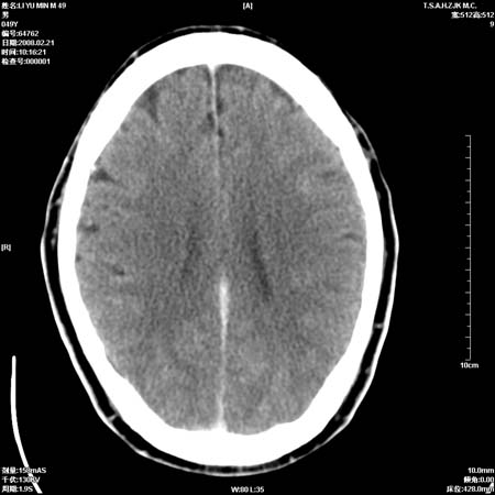
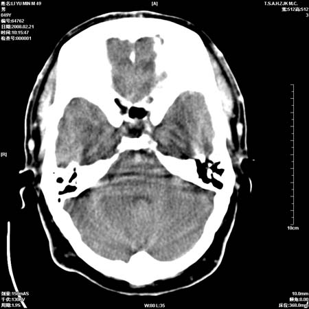
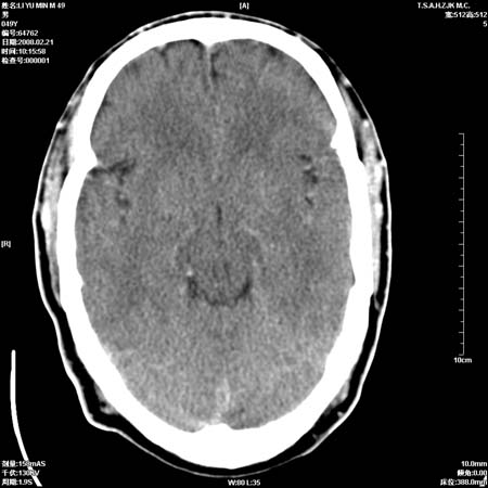
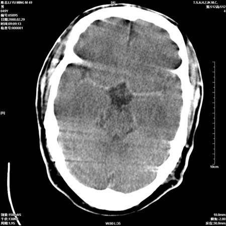
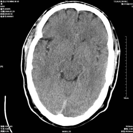
一周后复查ct:













[本贴已被 jiajie 于 2008-3-21 13:00:34 修改过]

作者: xiaogang123    时间: 2008-3-21 19:02
大脑纵裂池及鞍上池应该有蛛血
作者: zjzjr    时间: 2008-3-21 19:02
可能性脑动脉硬化所致
作者: 宇宙CT    时间: 2008-3-21 19:35
大脑纵裂池及鞍上池应该有蛛血
作者: zxczxc    时间: 2008-3-21 23:56
支持蛛网膜下腔出血。
作者: jinguoji    时间: 2008-3-22 00:41
支持蛛网膜下腔出血。
作者: zhengfaming    时间: 2008-3-22 02:30
支持蛛网膜下腔出血
作者: 随光逐影    时间: 2008-3-22 03:15
是平扫图像?
作者: hjk    时间: 2008-3-22 03:19
正常
作者: xulianj    时间: 2008-3-22 04:02
可能为正常。间隔一周蛛血应基本吸收;再过一周复还是这样应该可以肯定了。
作者: zsl6918    时间: 2008-3-22 06:05
支持出血
作者: 拾荒者    时间: 2008-3-22 06:51
一周时间密度未见改变,考虑为正常图像(脑动脉硬化?)。
作者: 黑白光影    时间: 2008-3-22 07:16
蛛血可能,建议短期内复查。
作者: yangyudong333    时间: 2008-3-22 15:21
支持蛛网膜下腔出血
作者: 形影不离    时间: 2008-3-22 16:21
支持蛛网膜下腔出血。
作者: wanghuiyellf    时间: 2008-3-22 17:55
可能为正常。间隔一周蛛血应基本吸收;再过一周复还是这样应该可以肯定了。
作者: zyx168    时间: 2008-9-19 19:31
支持蛛网膜下腔出血




欢迎光临 医影在线 (http://bbs.radida.com/bbs/) Powered by Discuz! X3.2