医影在线
标题: CT12368:女,44岁。突发性左侧肢体麻木4天。 [打印本页]
作者: fanshl 时间: 2008-3-22 00:34
标题: CT12368:女,44岁。突发性左侧肢体麻木4天。









[本贴已被 jiajie 于 2008-3-21 17:26:01 修改过]
作者: 形影不离 时间: 2008-3-22 00:39
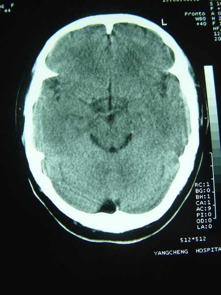
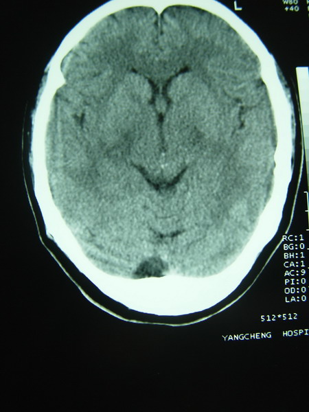
右侧基底节区腔隙性脑梗塞;右侧顶叶深部及放射冠区病灶考虑机器伪影所致,建议ct增强扫描。
作者: fanshl 时间: 2008-3-22 01:01
标题: 大家帮助来定性吧
看到黑箭所致的类圆形图形了吧?周围是低密度环形影,用腔隙梗塞来解释很难令人信服。
[本贴已被 fanshl 于 2008-3-21 17:05:12 修改过]
作者: 尚峰 时间: 2008-3-22 01:30
择期复查或mri.
作者: LIAOQIANG 时间: 2008-3-22 01:49
考虑右侧基底节区脑梗塞。复查或mri检查。
作者: zhengfaming 时间: 2008-3-22 02:11
1确实看到环状低密度影,看症状支持梗塞,最好增强下
2大枕大池?还是脂肪浸润?
作者: liangshusheng 时间: 2008-3-22 02:16
梗塞
作者: lj11119999 时间: 2008-3-22 02:21
我感觉最好还是先增强或mri检查!
作者: 随光逐影 时间: 2008-3-22 02:21
从多个层面上来看,象是机器伪影。
建议:必要时复查。
作者: 主力军 时间: 2008-3-22 02:32
枕大池蛛网膜下腔囊肿。右侧半卵圆中心占位性病变,建议强化
作者: yy杨洋 时间: 2008-3-22 02:35
从多个层面上来看,象是机器伪影。
建议:必要时复查。
作者: 前行 时间: 2008-3-22 02:46
mr检查
作者: HARRY 时间: 2008-3-22 02:57
对了那个是伪影所致,可以做一下空气校正一下就好了
作者: wqs571018 时间: 2008-3-22 02:59
建议增强。
作者: hhcckk 时间: 2008-3-22 03:00
考虑梗塞,过几天复查一下就有结果了
作者: 老爱克斯 时间: 2008-3-22 03:25
标题: 回复:ct12368:女,44岁。突发性左侧肢体麻木4天。
以下是引用yy杨洋在2008-3-21 18:35:00的发言:[br]从多个层面上来看,象是机器伪影。[br][br]建议:必要时复查。
支持!
作者: yanghaochen88 时间: 2008-3-22 03:30
梗塞性出血
作者: zhxq 时间: 2008-3-22 03:33
应该是机器伪影吧(做一个空气校正或薄层扫描可以改善)。如果是病灶,没有占位效应(排除占位性病变),有4天病史的梗塞灶应该是低密度改变。
作者: 远征 时间: 2008-3-22 03:42
考虑脑梗塞,必要可做mri检查。
作者: 同 时间: 2008-3-22 04:04
支持梗塞.
作者: 不学无术 时间: 2008-3-22 04:11
支持梗塞,环型低密度灶多层面都有应该是伪影
作者: zjzjr 时间: 2008-3-22 04:12
标题: 回复:ct12368:女,44岁。突发性左侧肢体麻木4天。
以下是引用zhxq在2008-3-21 19:33:00的发言:[br]应该是机器伪影吧(做一个空气校正或薄层扫描可以改善)。如果是病灶,没有占位效应(排除占位性病变),有4天病史的梗塞灶应该是低密度改变。
作者: 卜一 时间: 2008-3-22 04:24
首选:增强或mri检查!
作者: jw-830 时间: 2008-3-22 04:28
建议复查
作者: hjk 时间: 2008-3-22 04:28
建议增强
作者: 黑白光影 时间: 2008-3-22 04:33
考虑梗塞,过几天复查一下。
作者: 枫岩 时间: 2008-3-22 04:38
枕大池蛛网膜下腔囊肿。右侧半卵圆中心占位性病变,建议强化
作者: zhanglixian1985 时间: 2008-3-22 04:42
建议mri
作者: zsl6918 时间: 2008-3-22 04:42
平扫说明不了问题,强化吧。
作者: xulianj 时间: 2008-3-22 05:00
增强或mri检查!
作者: liuyue 时间: 2008-3-22 06:36
从多个层面上来看,象是机器伪影。
建议:必要时复查。
作者: yangyudong333 时间: 2008-3-22 15:00
应该是机器伪影吧(做一个空气校正或薄层扫描可以改善)。如果是病灶,没有占位效应(排除占位性病变),有4天病史的梗塞灶应该是低密度改变。
作者: wanghuiyellf 时间: 2008-3-22 18:39
右侧半卵圆中心占位性病变,建议强化
作者: 拾荒者 时间: 2008-3-23 03:57
但从症状支持脑梗塞诊断,但右侧半卵园中心“影”确实用梗塞及占位都不好解释,可以做一下机器校正后薄层扫描。
作者: zyx168 时间: 2008-9-19 19:53
枕大池蛛网膜下腔囊肿。右侧半卵圆中心占位性病变。
| 欢迎光临 医影在线 (http://bbs.radida.com/bbs/) |
Powered by Discuz! X3.2 |