










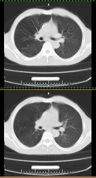
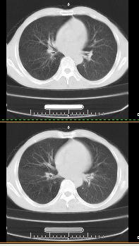
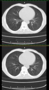
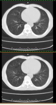
以下是引用liaoqiang在2008-3-21 17:45:00的发言:[br]右上叶尖段、后段有多发小结节和小条状影。考虑感染(结核可能性大。)。建议治疗后复查。
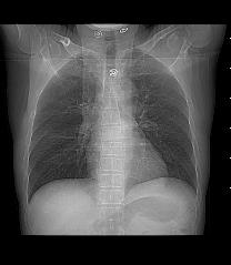
以下是引用王2008在2008-3-21 17:38:00的发言:[br]右上叶后段沿纹理走向呈串珠状.边缘欠清密度增高影,局部胸膜增厚.[br]考虑1.右上支扩可能.2.右上炎症.建议治疗后复查.请各位老师指教.
以下是引用lj11119999在2008-3-21 18:15:00的发言:[br]右上叶尖段、后段有多发小结节和小条状影。考虑感染(结核可能)建议进一步检查!
| 欢迎光临 医影在线 (http://bbs.radida.com/bbs/) | Powered by Discuz! X3.2 |