医影在线

标题: CT12370:男.60岁.咳嗽发热胸痛. [打印本页]

作者: 王2008    时间: 2008-3-22 02:33
标题: CT12370:男.60岁.咳嗽发热胸痛.





























[本贴已被 jiajie 于 2008-3-21 18:35:38 修改过]

作者: 王2008    时间: 2008-3-22 02:44
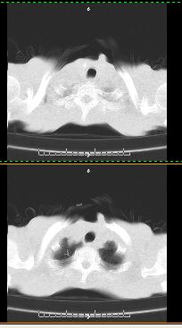
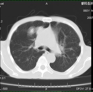
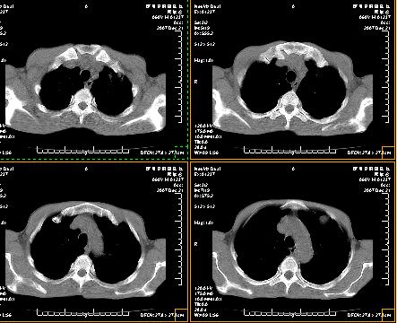
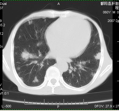
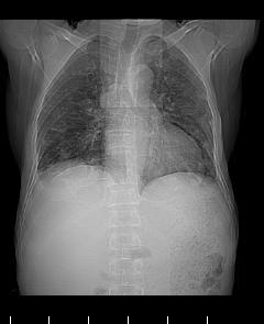
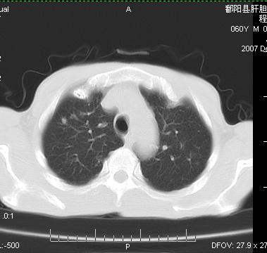
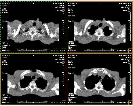
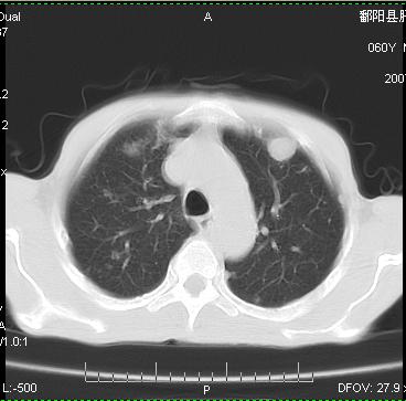
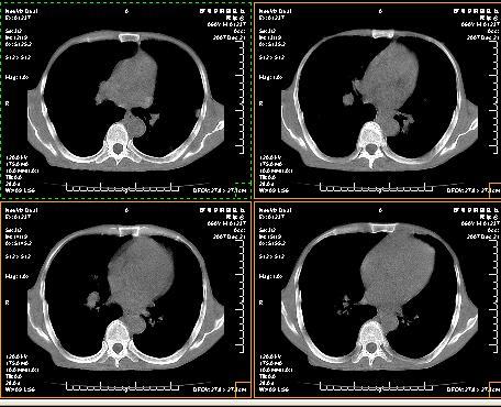
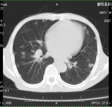
两肺示有散在大小不等类园形边缘不整密增高影.
考虑多发性转移瘤.请各位老师指导.
作者: 沉默是金    时间: 2008-3-22 02:54
肺转 移瘤
作者: 随光逐影    时间: 2008-3-22 02:57
两肺及胸膜多发性转移瘤。
作者: 光影★小胖    时间: 2008-3-22 02:59
转移可能性大.
作者: 远征    时间: 2008-3-22 03:24
多发肺转移瘤及胸膜转移。
作者: yanghaochen88    时间: 2008-3-22 03:26
转移要考虑,但霉菌感染也要排除.
作者: 老爱克斯    时间: 2008-3-22 03:28
查原发灶吧.
作者: xulianj    时间: 2008-3-22 04:06
两肺及胸膜多发性转移瘤。支持
作者: 同    时间: 2008-3-22 04:08
两肺及胸膜多发转移瘤.
作者: zjzjr    时间: 2008-3-22 04:17
两肺及胸膜多发性转移瘤。纵隔淋巴结转移.
作者: 卜一    时间: 2008-3-22 04:20
两肺及胸膜多发性转移瘤。支持!
作者: 不学无术    时间: 2008-3-22 04:25
双侧胸壁见多发结节软组织密度灶,两肺内见广泛结节状、面团样影,两肺及胸膜多发性转移瘤。支持
作者: zhanglixian1985    时间: 2008-3-22 04:38
多发转移瘤 !
作者: 黑白光影    时间: 2008-3-22 04:55
两肺及胸膜多发性转移瘤。
作者: zsl6918    时间: 2008-3-22 05:04
考虑肝癌双肺转移!腹部强化确诊吧。
作者: whz1765    时间: 2008-3-22 05:06
支持转移
作者: liuyue    时间: 2008-3-22 06:25
两肺及胸膜多发性转移瘤。
作者: 风雨彩虹    时间: 2008-3-22 06:48
支持多发性转移瘤
作者: 杀毒软件    时间: 2008-3-22 07:15
典型
作者: yangyudong333    时间: 2008-3-22 14:53
两肺及胸膜多发转移瘤.
作者: 不羁暴雨    时间: 2008-3-22 15:06
不同意转移瘤!
根据:病变确实是多发,但大部分边缘不光滑,欠规整,密度不均匀。也就是说“大部分病灶不是典型转移瘤的表现”。转移瘤可以不典型,但如此大部分不典型,却是很少见的。结合发烧病史,考虑肺多发小脓肿或其他炎性病变,如霉菌等感染!建议痰培养,抗炎治疗后复查!
作者: wanghuiyellf    时间: 2008-3-22 18:00
多发肺转移瘤及胸膜转移。
作者: tao772    时间: 2008-3-22 18:48
同意双肺转移瘤。
作者: 拾荒者    时间: 2008-3-23 04:18
从病人年龄及肺内表现首先考虑转移瘤,但病人以咳嗽发热胸痛为首发症状还要考虑血行播散型肺脓肿及白血病非内表现等,结合实验室检查有鉴别意义。
作者: zyx168    时间: 2008-9-19 19:58
多发肺转移瘤及胸膜转移




欢迎光临 医影在线 (http://bbs.radida.com/bbs/) Powered by Discuz! X3.2