









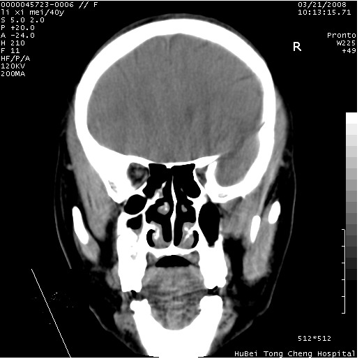
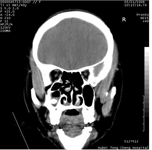
以下是引用卜一在2008-3-21 20:18:00的发言:[br]双侧上颌窦炎症,双下鼻甲肥大!不除外霉菌感染!
以下是引用孤家寡人在2008-3-22 11:00:00的发言:[br]呵呵,到底那是左,那是右啊
以下是引用qiuleiyu在2008-3-21 21:46:00的发言:[br]支持;上颌窦炎,窦内高密度影,建议横断位观察与上颌窦前壁关系。除外骨源性病变。
| 欢迎光临 医影在线 (http://bbs.radida.com/bbs/) | Powered by Discuz! X3.2 |