










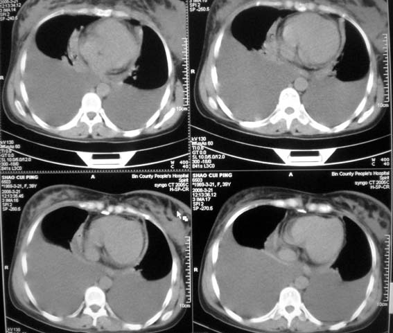
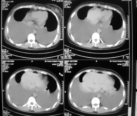
以下是引用zsl6918在2008-3-21 21:41:00的发言:[br]胸腔积液,心包积液,明确性质有难度。常规思路考虑结核性,建议抽液化验明确。
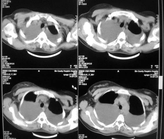
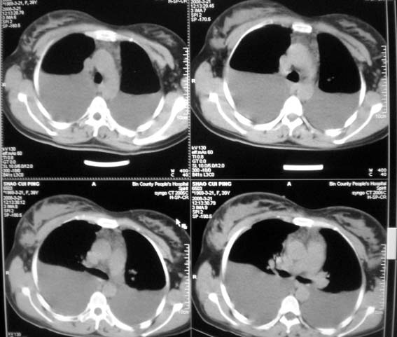
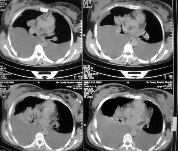
以下是引用卜一在2008-3-22 1:48:00的发言:[br][br] [br] 大量胸腔积液伴肺组织膨胀不全+心包积液。建议行纤支镜! [br] [br]
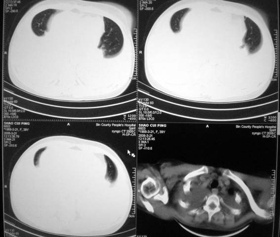
以下是引用随光逐影在2008-3-21 23:13:00的发言:[br]1)右肺中叶及左肺上叶舌段感染性病变。2)右肺中叶周围型肺癌待排。3)双侧胸腔积液并双下肺部分肺组织膨胀不全。4)心包积液。
以下是引用拾荒者在2008-3-22 21:21:00的发言:[br]胸腔积液、心包积液,双下肺膨胀不全,建议穿刺细胞学检查或抽液后进一步ct检查。
| 欢迎光临 医影在线 (http://bbs.radida.com/bbs/) | Powered by Discuz! X3.2 |