医影在线
标题: X0238:原创:男10Y.右股骨干病理骨折 [打印本页]
作者: ctm 时间: 2005-4-20 06:49
标题: X0238:原创:男10Y.右股骨干病理骨折
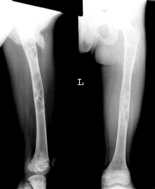
右股骨干病理骨折.

[本贴已被 翁志蓬 于 2005-4-19 23:30:25 修改过]
作者: 笨小孩 时间: 2005-4-20 07:04
骨纤可能性大.
作者: zzd 时间: 2005-4-20 08:06
骨纤可能性大.[emb6]
作者: zhengxj2008 时间: 2005-4-20 14:43
看上去比较象骨纤!
作者: zsj943006 时间: 2005-4-20 18:56
有无病史补充?如无其它病史补充首先考虑为骨纤
作者: wuyingke 时间: 2005-4-20 19:47
支持骨纤[emb6]
作者: whli 时间: 2005-4-20 21:19
考虑骨纤.
作者: dongposu100 时间: 2005-4-20 22:47
标题: 回复:x0238:原创:男10y.右股骨干病理骨折
]还是考虑骨纤,保险起见建议病理
[本贴已被 dongposu100 于 2005-4-20 14:48:50 修改过]
作者: jiexiong521 时间: 2005-4-20 23:08
骨钎?
作者: kjgj 时间: 2005-4-21 03:49
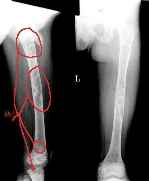
股骨干较大范围膨胀性骨破坏[两处] ,其内见丝瓜瓤改变,皮质变薄,
骨纤维异常增殖征
作者: weixuan 时间: 2005-4-21 03:54
1非骨化性纤维瘤2骨纤
作者: liju 时间: 2005-4-21 05:18
骨纤[emb6]
作者: mhy 时间: 2005-4-21 07:50
骨异常纤维增生可能大。
作者: jiangjing 时间: 2005-4-21 08:34
股骨干较大范围膨胀性骨破坏与骨长轴走行伴病理性骨折,皮质变薄,,其内见丝瓜瓤样与磨玻璃样改变,皮质变薄,又是小儿考虑骨纤维结构不良,骨囊肿待排。
作者: yongzz66 时间: 2005-4-21 23:50
股骨干膨胀性破坏内见丝瓜瓤改变,皮质变薄,还是考虑骨纤
[emb26]
作者: ctm 时间: 2005-4-22 04:56
目前没有猜对的,思维请再开阔一些,类似表现还有什么病
作者: jiangjing 时间: 2005-4-22 09:14
在考虑血管瘤,动脉瘤样骨囊肿请指教!!!
作者: ximen212 时间: 2005-4-22 19:04
骨纤可能性大
作者: zsb_780331 时间: 2005-4-22 22:15
标题: 回复:x0238:原创:男10y.右股骨干病理骨折
以下是引用kjgj在2005-4-20 19:49:40的发言:[br]股骨干较大范围膨胀性骨破坏[两处] ,其内见丝瓜瓤改变,皮质变薄,[br][br][br] 骨纤维异常增殖征
[face=黑体][/face][emb6]
作者: 黄河大浪 时间: 2005-4-23 04:35
考虑骨纤
作者: yzh9939 时间: 2005-4-24 17:22
骨化性纤维瘤
作者: gjb1220 时间: 2005-4-24 22:50
考虑为骨纤.
作者: weixuan 时间: 2005-4-25 03:52
骨化性纤维瘤?
作者: gbj8004 时间: 2005-4-25 20:24
病变范围较大且内部呈丝瓜襄样还是多考虑为骨纤吧
作者: x-ray 时间: 2005-4-25 23:19
[emb7]
作者: 张耀森 时间: 2005-4-26 00:57
病变范围较大,呈不均匀性膨胀性囊性低密度,且不均匀,内有间隔。考虑:1,骨纤维异常增殖症 2,甲状旁腺机能亢进不排除。[emb18]
作者: sbb 时间: 2005-4-26 05:15
骨纤
作者: 向医生 时间: 2005-7-2 19:07
标题: 回复:x0238:原创:男10y.右股骨干病理骨折
股骨干轻度膨胀,内有多个囊状透亮区及磨玻璃样影,右胫骨上端亦有小囊状影。

诊断:骨纤维异常增殖症。
作者: huji 时间: 2006-10-13 04:25
没理由不考虑骨纤
作者: weiker 时间: 2006-10-13 05:07
病灶多发,范围较广,呈丝瓜襄样,还是考虑骨纤
作者: 碧水蓝天 时间: 2006-10-13 07:13
标题: 回复:x0238:原创:男10y.右股骨干病理骨折
以下是引用huji在2006-10-12 20:25:00的发言:[br]没理由不考虑骨纤
作者: jinguoji 时间: 2006-11-18 23:19
考虑骨纤维异常增殖症。
作者: 眼睛 时间: 2006-12-25 02:08
股骨干较大范围膨胀性骨破坏[两处] ,其内见丝瓜瓤改变,皮质变薄,
骨纤维异常增殖征
作者: zzd 时间: 2006-12-25 04:08
我考虑骨纤但见到杂志报道一个长骨的造釉细胞瘤有点类似
作者: crp111 时间: 2006-12-26 04:40
左股骨广泛的不连续性大小相似的骨溶解性破坏,周围间隔硬化,考虑多发性骨髓瘤。
作者: juwen73 时间: 2006-12-26 20:17
骨纤维异常增殖征
作者: shibing 时间: 2013-1-3 11:16
骨纤可能性大.
欢迎光临 医影在线 (http://bbs.radida.com/bbs/) |
Powered by Discuz! X3.2 |