医影在线

标题: CT12377:M,58Y。右肺下叶癌性空洞? [打印本页]

作者: 随光逐影    时间: 2008-3-22 09:02
标题: CT12377:M,58Y。右肺下叶癌性空洞?
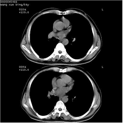
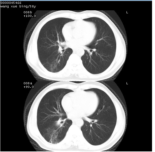
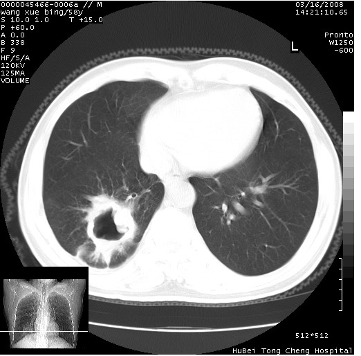
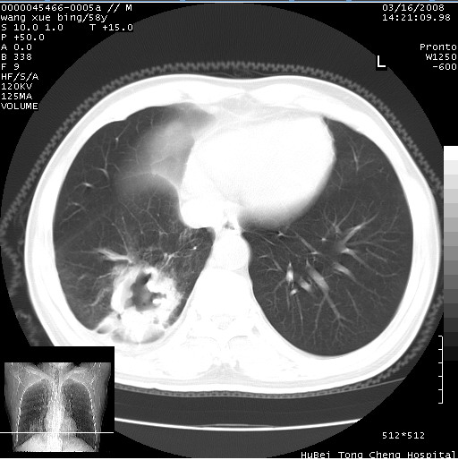
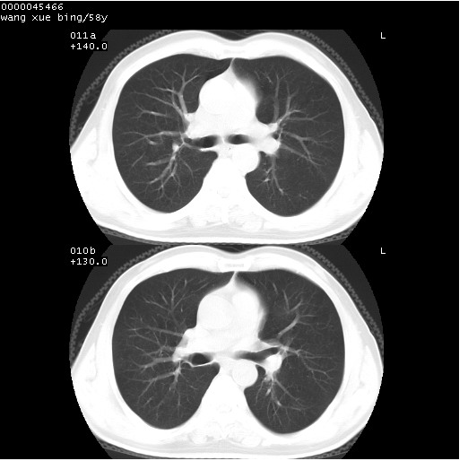
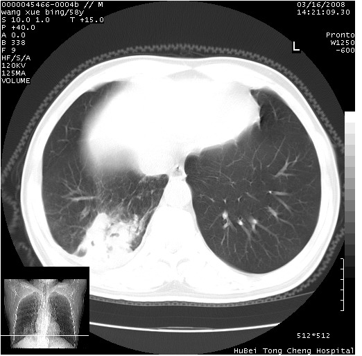
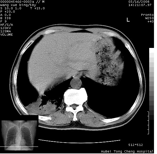
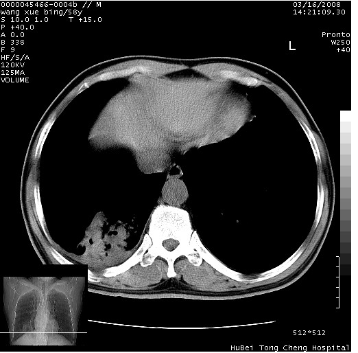
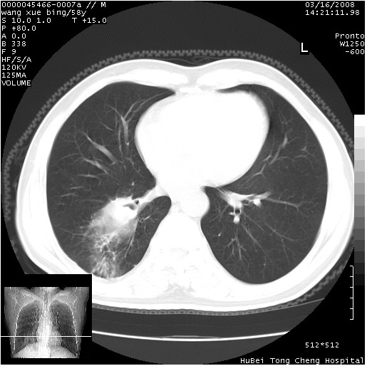
患者 男,58岁。咳嗽、咯血3月余。

胸部cr x线片提示:1)右下肺脓肿。2)右下肺周围型肺癌不排除。建议:行ct扫描检查。

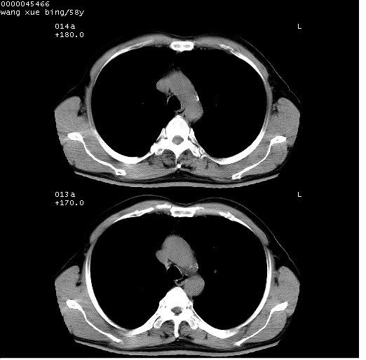
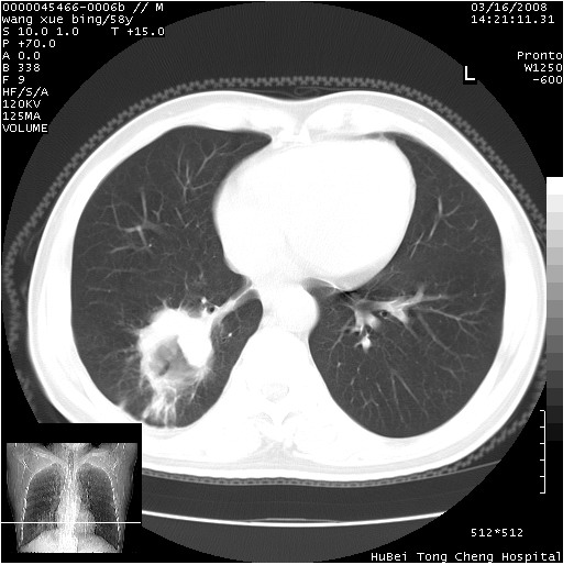
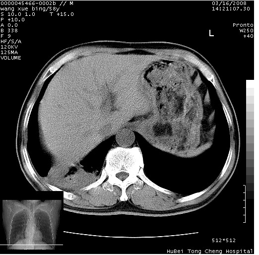
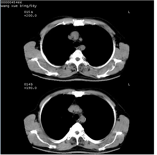
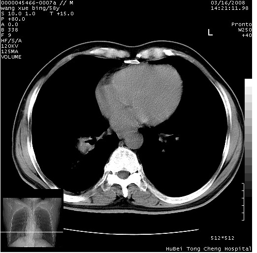
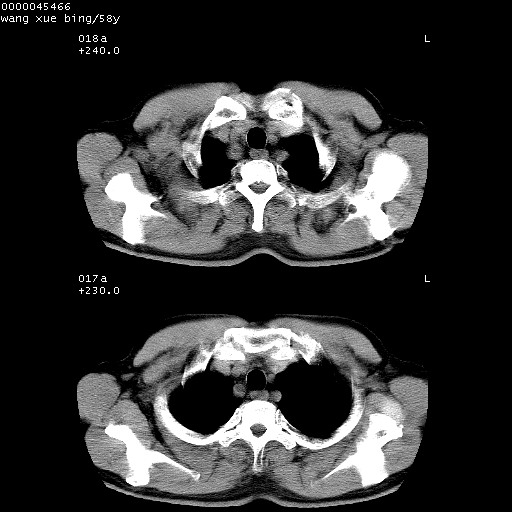
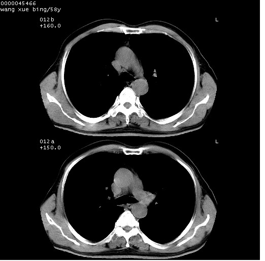
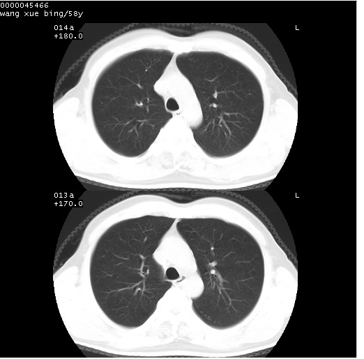
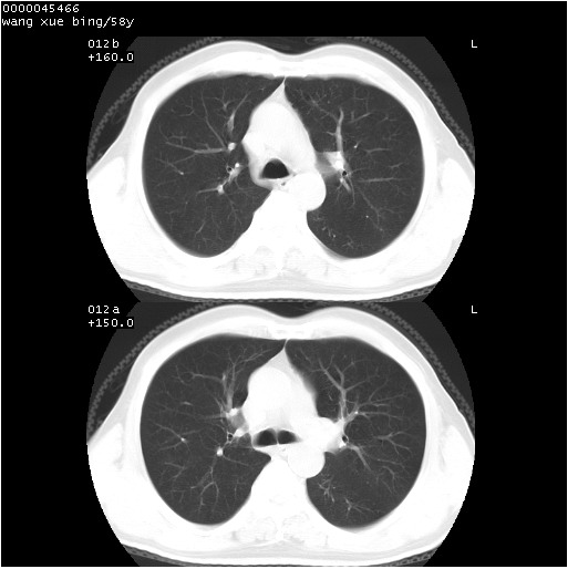
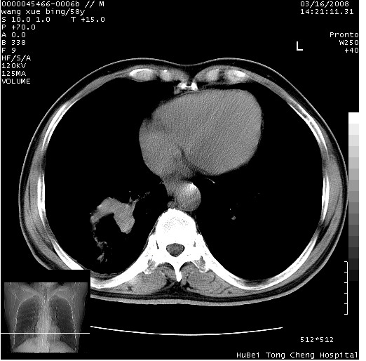
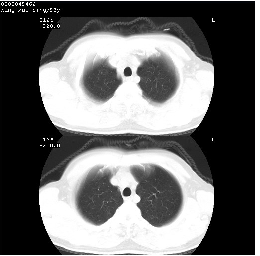
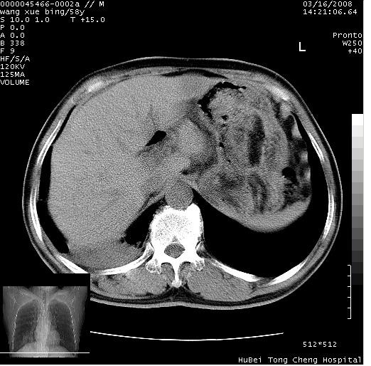
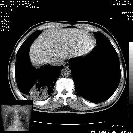
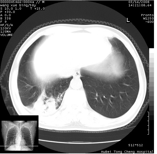
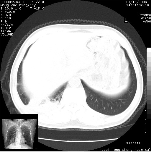
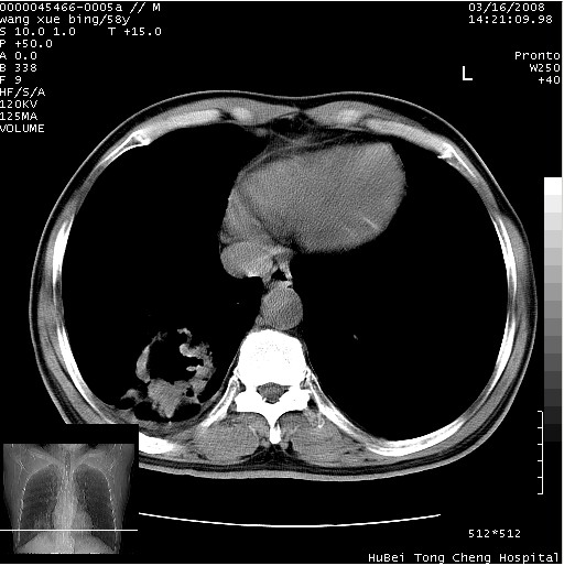
胸部ct轴位平扫(层厚10mm,螺距1.5,重建间隔10mm),图像如下:







































[本贴已被 翁志蓬 于 2008-3-22 1:46:53 修改过]

作者: 卜一    时间: 2008-3-22 09:45
右肺下叶团块及不规则空洞,内壁不规则,外缘见粗长毛刺,临近胸膜明显增厚并与病灶关系密切。支持考虑:右肺肺脓肿!建议穿刺病理检查待除外周围型肺癌!
作者: zjb    时间: 2008-3-22 14:19
标题: 回复:ct12377:m,58y。右肺下叶癌性空洞?
以下是引用卜一在2008-3-22 1:45:00的发言:[br]右肺下叶团块及不规则空洞,内壁不规则,外缘见粗长毛刺,临近胸膜明显增厚并与病灶关系密切。支持考虑:右肺肺脓肿!建议穿刺病理检查待除外周围型肺癌!

支持!
作者: yangyudong333    时间: 2008-3-22 14:39
考虑右下肺周围型肺癌并远端阻塞性炎症及胸膜转移
作者: muzi888    时间: 2008-3-22 16:12
肺脓肿可能性大1
作者: qiushi    时间: 2008-3-22 16:23
右肺下叶见不规则厚壁空洞,内壁不规则,外缘见粗长毛刺,临近胸膜明显增厚并与病灶关系密切。支持考虑:周围型肺癌!
                          建议穿刺
作者: 宇宙CT    时间: 2008-3-22 16:33
考虑右下肺中心型肺癌并远端阻塞性炎症及胸膜及纵隔淋巴转移
作者: hhcckk    时间: 2008-3-22 16:55
标题: 回复:ct12377:m,58y。右肺下叶癌性空洞?


考虑癌性空洞可能性大
作者: psh    时间: 2008-3-22 17:02
癌肿。
作者: wanghuiyellf    时间: 2008-3-22 17:05
右肺下叶团块及不规则空洞,内壁不规则,外缘见粗长毛刺,临近胸膜明显增厚并与病灶关系密切。支持考虑:右肺肺脓肿!建议穿刺病理检查待除外周围型肺癌!
作者: zjzjr    时间: 2008-3-22 17:20
标题: 回复:ct12377:m,58y。右肺下叶癌性空洞?
以下是引用hhcckk在2008-3-22 8:55:00的发言:[br][br][br]考虑癌性空洞可能性大

作者: 影象小泰斗    时间: 2008-3-22 18:58
右肺下叶周围型肺癌伴空洞形成!征象比较明显!分叶、毛刺、胸膜凹陷征、厚壁空洞,壁结节!
作者: tao772    时间: 2008-3-22 19:00
癌性空洞。
作者: 杀毒软件    时间: 2008-3-22 19:37
标题: 回复:ct12377:m,58y。右肺下叶癌性空洞?
以下是引用hhcckk在2008-3-22 8:55:00的发言:[br][br][br]考虑癌性空洞可能性大

支持
作者: zhangkai    时间: 2008-3-22 19:48
右下周围型肺癌(鳞癌)。
作者: ZHANGZHONGSHOU    时间: 2008-3-22 20:55
影像符合癌性空洞表现,临床如无咳大量浓臭痰史,还是考虑周围型肺癌可能性大。
作者: hanshu    时间: 2008-3-23 02:27
肺癌可能性大,建议穿刺活检确诊。
作者: xulianj    时间: 2008-3-23 03:43
肺癌可能性大
作者: cym6381    时间: 2008-3-23 04:32
空洞壁厚,不规则,其内可见壁结节,周围可见毛刺及阻塞性炎变,多考虑癌性病变.
作者: zsl6918    时间: 2008-3-23 04:38
支持癌性空洞并远端阻塞性炎症
作者: 拾荒者    时间: 2008-3-23 05:26
空洞内壁不规整,有壁结节,周围有毛刺,支持癌性空洞。
作者: jinguoji    时间: 2008-3-23 09:06
标题: 回复:ct12377:m,58y。右肺下叶癌性空洞?
以下是引用影象小泰斗在2008-3-22 10:58:00的发言:[br]右肺下叶周围型肺癌伴空洞形成!征象比较明显!分叶、毛刺、胸膜凹陷征、厚壁空洞,壁结节!

作者: xingguangcan    时间: 2008-3-23 19:48
8楼回复好.有理有据.片子加说明利于初学者和非影像医生学习.
作者: leng    时间: 2008-3-23 21:40
支持癌性空洞.
作者: zyx168    时间: 2008-9-19 20:19
癌性空洞
作者: dr.yang    时间: 2012-4-19 20:10
空洞内壁不规整,有壁结节,周围有毛刺,支持癌性空洞。
作者: zhangnianqiu200    时间: 2012-4-19 22:16
考虑癌性空洞可能性大




欢迎光临 医影在线 (http://bbs.radida.com/bbs/) Powered by Discuz! X3.2