














































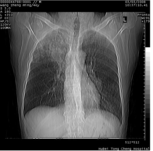
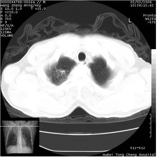
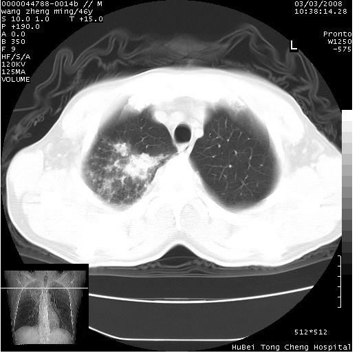
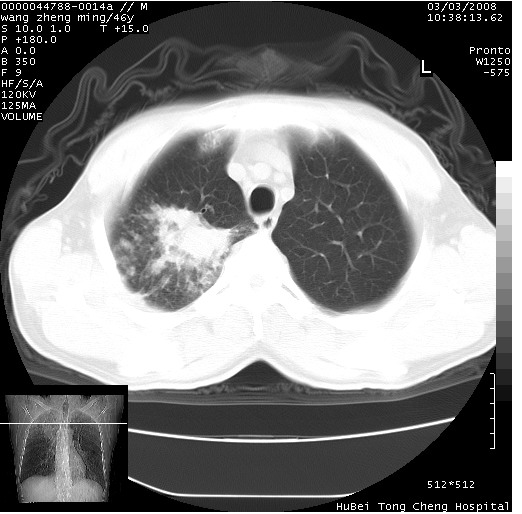
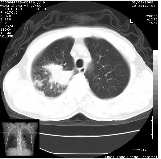
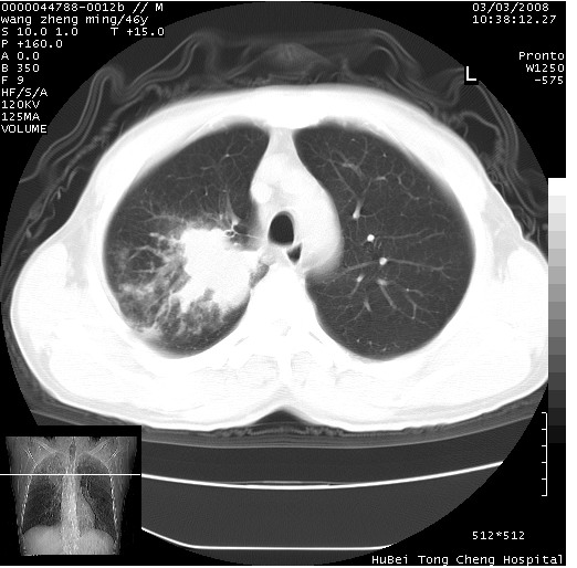
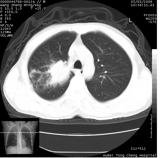
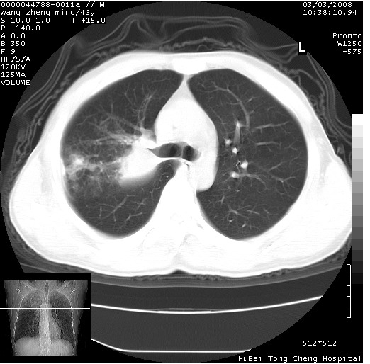
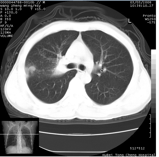
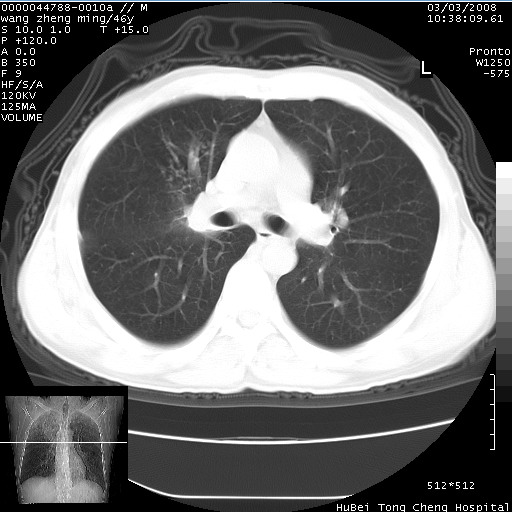
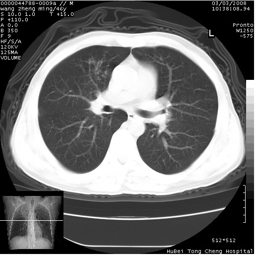
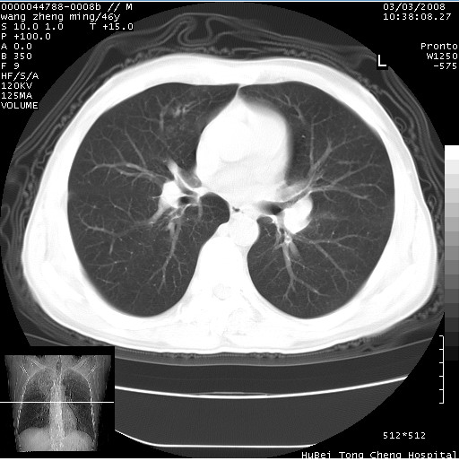
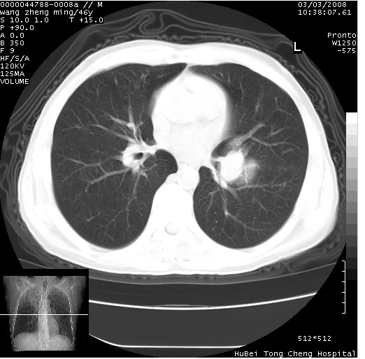
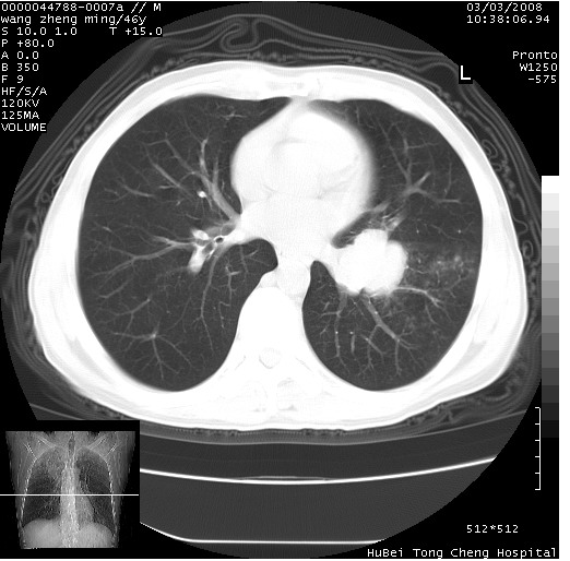
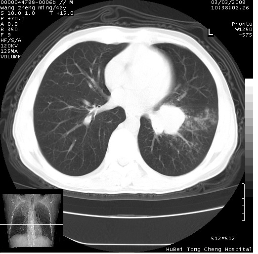
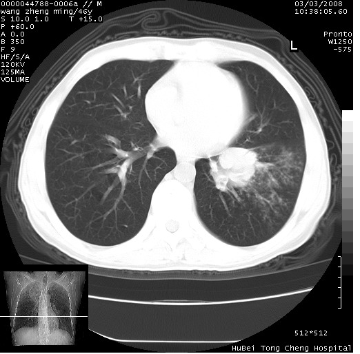
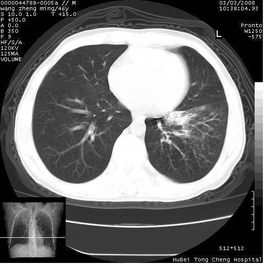
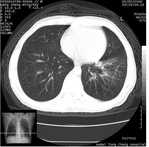
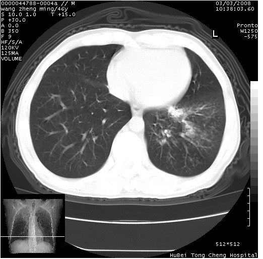
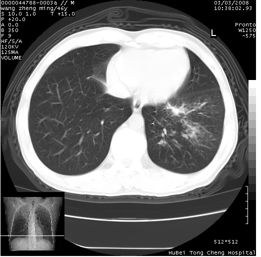
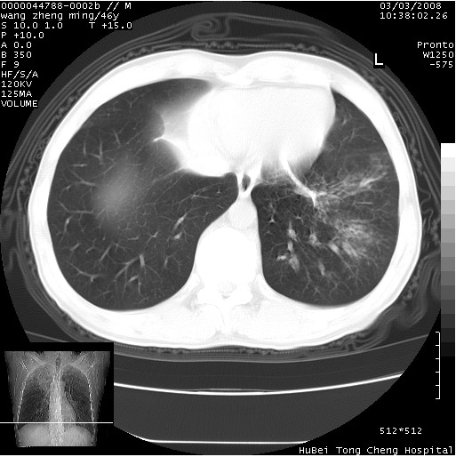
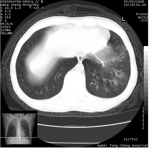
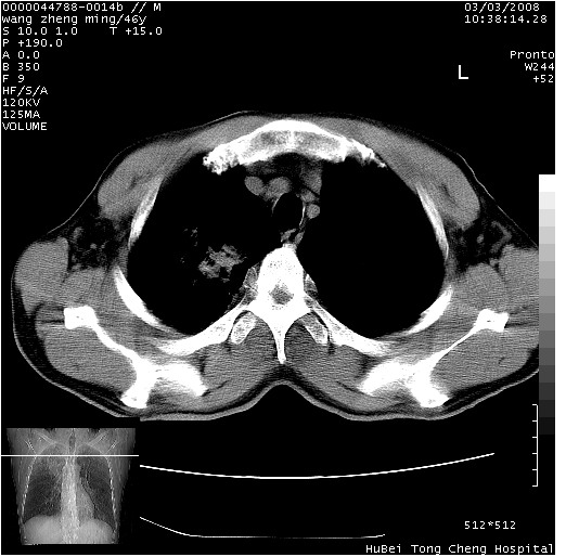
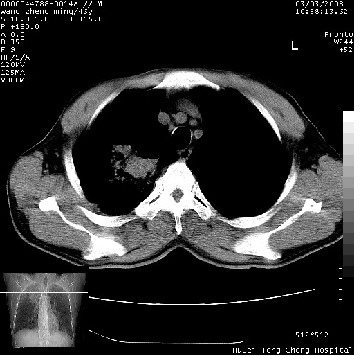
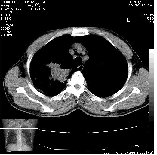
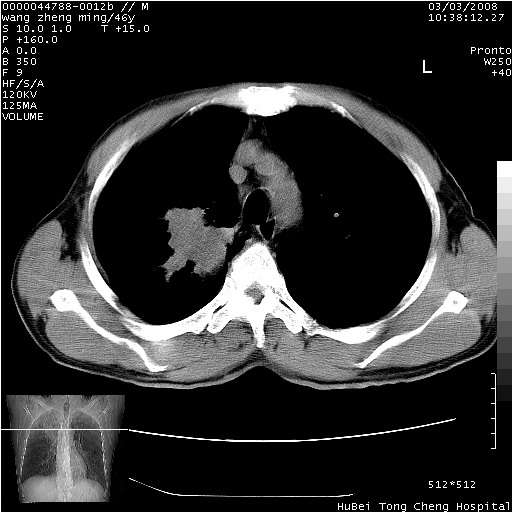
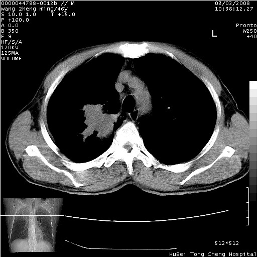
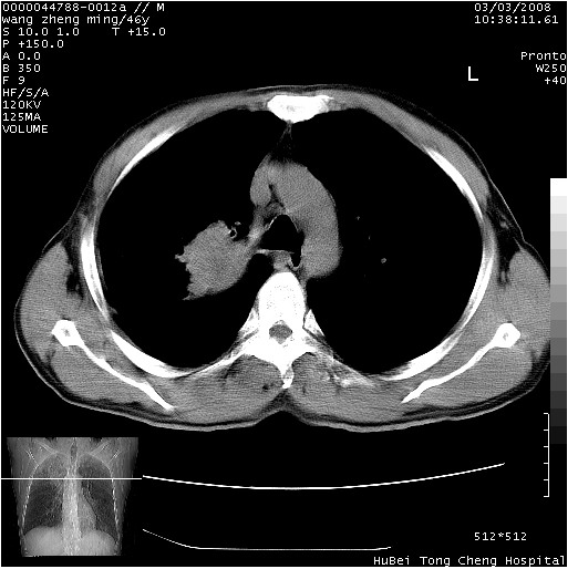
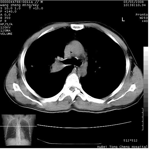
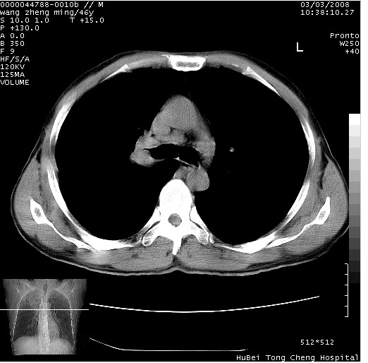
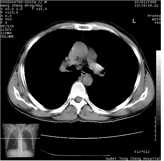
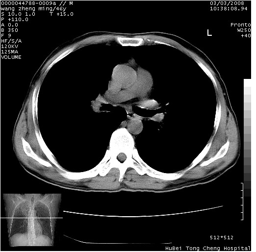
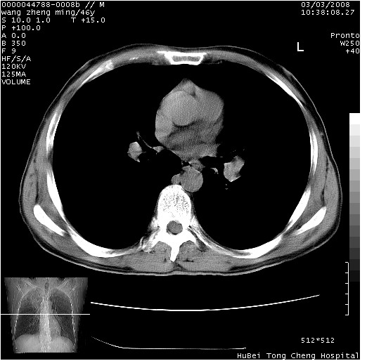
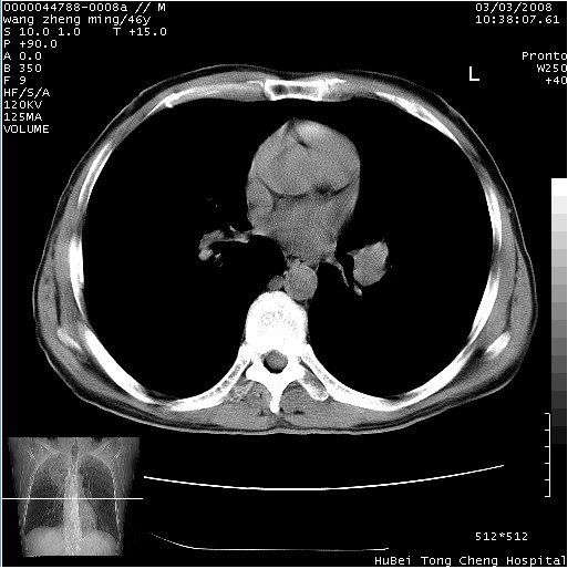
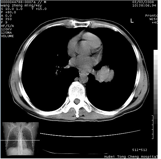
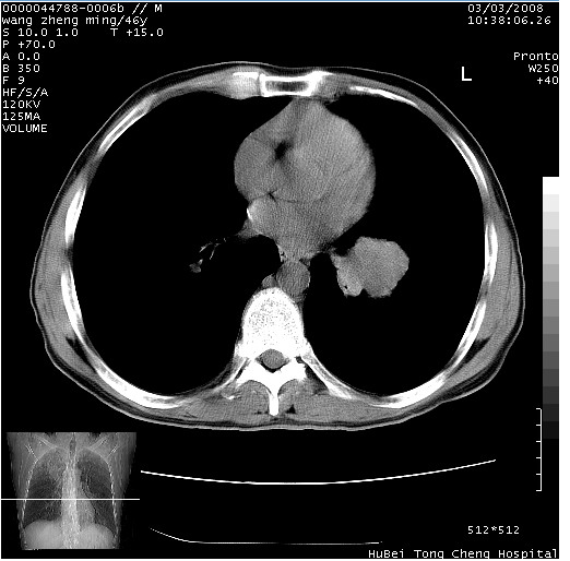
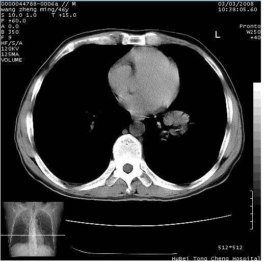
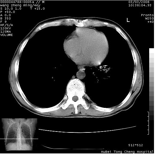
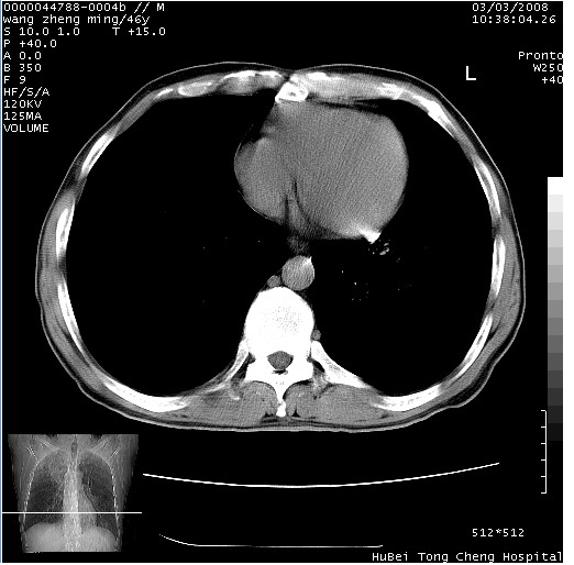
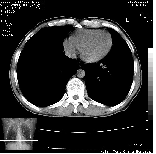
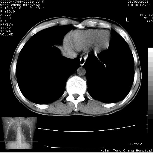
以下是引用卜一在2008-3-22 1:37:00的发言:[br]右肺实质性肿块,边缘不整,明显见毛刺征 分叶征及胸膜凹陷征,右上叶支气管明显变窄,远端散在的片状 斑片状实变影。另:左肺门较大肿块,支气管受累 变窄,远侧见阻塞性肺炎。纵隔内见肿大淋巴结。多考虑:右肺周围性肺癌伴左肺门 纵隔淋巴结转移!
以下是引用卜一在2008-3-22 1:37:00的发言:[br]右肺实质性肿块,边缘不整,明显见毛刺征 分叶征及胸膜凹陷征,右上叶支气管明显变窄,远端散在的片状 斑片状实变影。另:左肺门较大肿块,支气管受累 变窄,远侧见阻塞性肺炎。纵隔内见肿大淋巴结。多考虑:右肺周围性肺癌伴左肺门 纵隔淋巴结转移!
| 欢迎光临 医影在线 (http://bbs.radida.com/bbs/) | Powered by Discuz! X3.2 |