









































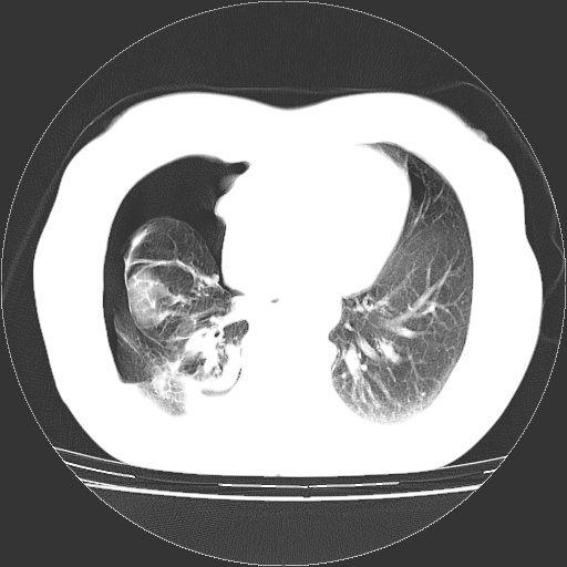
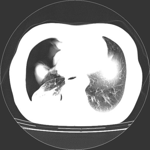
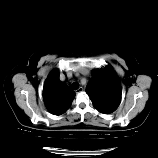
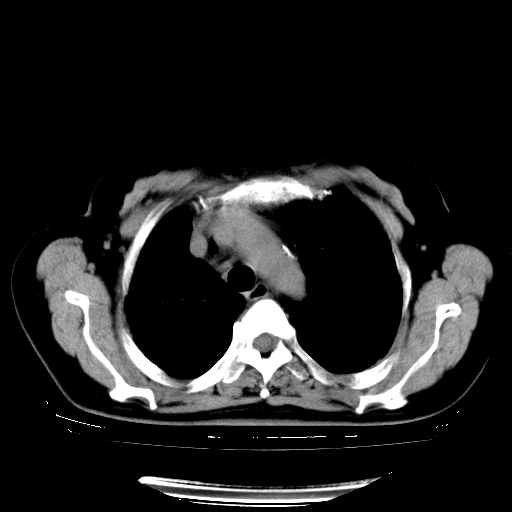
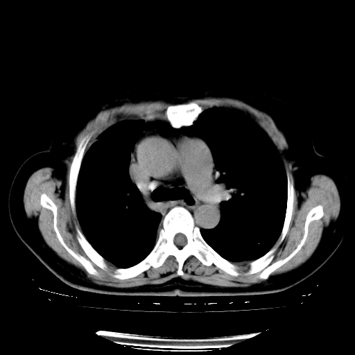
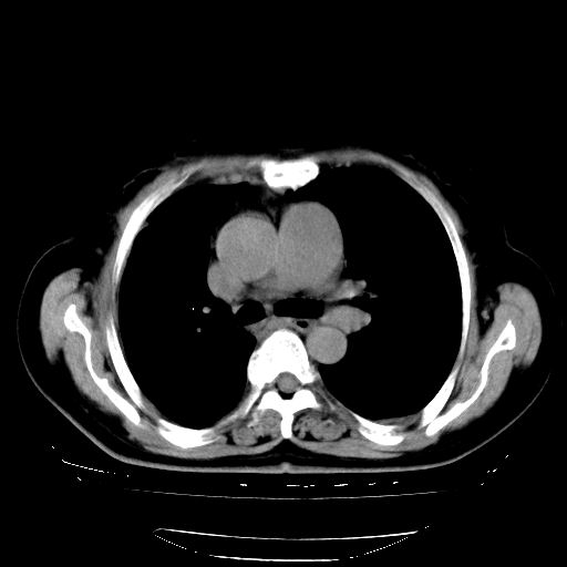
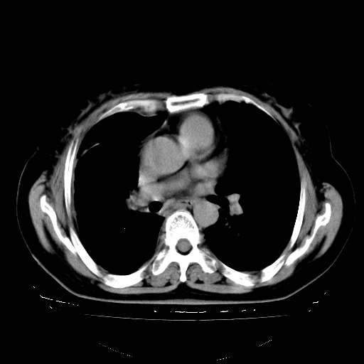
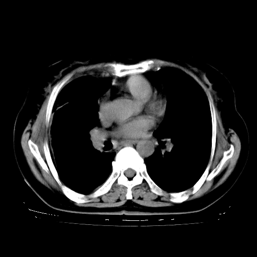
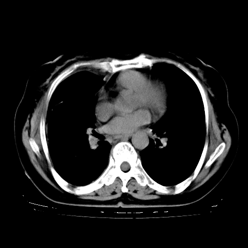
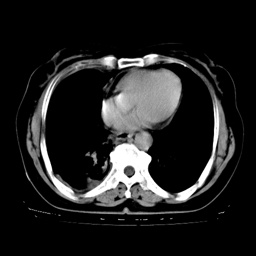
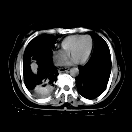
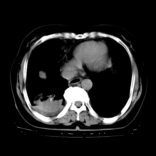
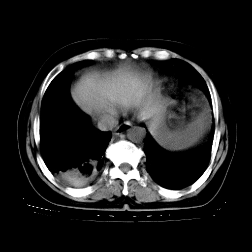
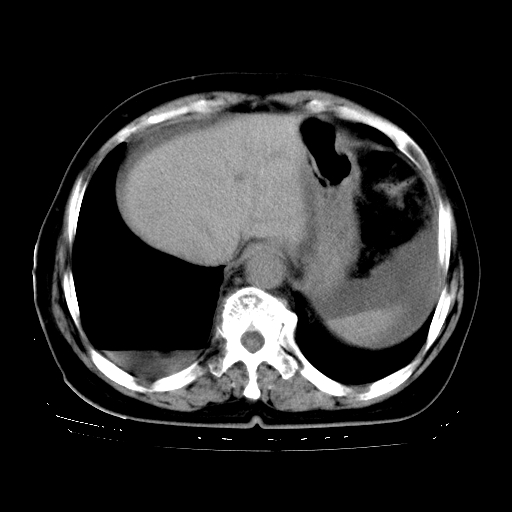
以下是引用zhangzhongshou在2008-3-22 12:52:00的发言:[br]1、右侧液气胸。[br]2、腹水。建议进一步检查。
以下是引用鲁巨ct在2008-3-22 14:10:00的发言:[br]1、右侧液气胸,右中下叶节段性不张。[br]2、腹水,建议上腹部ct检查
以下是引用zjzjr在2008-3-22 17:19:00的发言:[br]1、右侧液气胸,右下叶节段性不张。[br]2、腹水,建议上腹部ct检查
| 欢迎光临 医影在线 (http://bbs.radida.com/bbs/) | Powered by Discuz! X3.2 |