医影在线
标题: X3715:M 13Y 曾打架时被人用砖砸到鼻骨左侧。该处可触到硬性 [打印本页]
作者: 眼睛 时间: 2008-3-23 23:42
标题: X3715:M 13Y 曾打架时被人用砖砸到鼻骨左侧。该处可触到硬性
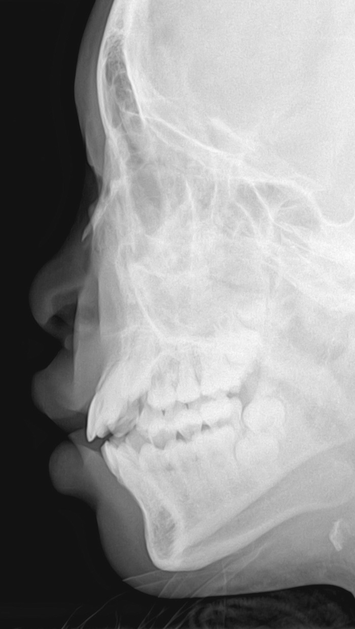
m 13y 曾打架时被人用砖砸到鼻骨左侧。该处可触到硬性肿物,请老师们给个意见...左侧近板鼻骨侧位。


[本贴已被 zhw974247 于 2008-3-23 18:20:32 修改过]
作者: shiqingfa 时间: 2008-3-24 00:13
未见明显骨折征像,箭头所示为软组织包块,可能是骨膜下血肿所致
作者: ZHANGZHONGSHOU 时间: 2008-3-24 00:23
可能为1、颧骨重叠可能性大。2、鼻骨骨膜血肿钙化/骨化可能性小3、上颌骨骨瘤不除外。建议加照颅骨正位片,必要时ct检查。
作者: 杀毒软件 时间: 2008-3-24 01:00
此鼻骨片子不是纯侧位,考虑颧骨重叠可能性大。
作者: 前行 时间: 2008-3-24 01:06
建议ct检查
作者: ml2007 时间: 2008-3-24 01:18
无异常
作者: lishibao 时间: 2008-3-24 01:38
考虑颧骨重叠可能性.
作者: luoyanmin 时间: 2008-3-24 01:58
正常
作者: wangjie 时间: 2008-3-24 01:58
正常的啊
作者: qsbaomingcheng 时间: 2008-3-24 02:50
未见异常。必要时ct检查
作者: 358450m 时间: 2008-3-24 03:05
无异常
作者: 随光逐影 时间: 2008-3-24 03:21
建议:ct扫描检查。
作者: 黑白光影 时间: 2008-3-24 03:45
软组织密度影,考虑为外伤后皮下结缔增生改变,建议ct检查。
作者: 光影相伴 时间: 2008-3-24 04:47
未见异常。必要时ct检查。
作者: wangjj555 时间: 2008-3-24 05:14
考虑颧骨重叠可能性大。
作者: jinguoji 时间: 2008-3-24 05:23
鼻骨未见明显骨折征像,考虑颧骨重叠可能,建议ct进一步检查。
作者: 李世军 时间: 2008-3-24 06:07
正常
作者: 宝干 时间: 2008-3-24 06:34
考虑颧骨重叠可能性
作者: lgl2007 时间: 2008-3-24 07:28
肯定不是颧骨重叠影,人家已经摸的到肿块了!!!
作者: yuhongjun 时间: 2008-3-24 13:49
未见异常。必要时ct检查
作者: jiangjing 时间: 2008-3-24 19:39
建议ct检查
作者: 宇宙ct 时间: 2008-3-24 19:51
鼻骨未见明显骨折征像,考虑颧骨重叠可能,建议ct进一步检查。
作者: hkdy1029 时间: 2008-3-24 21:17
ct进一步检查。
作者: zzhcd 时间: 2008-3-24 21:49
未见异常
作者: zhangkai 时间: 2008-3-24 22:24
小骨瘤?
建议ct检查。
作者: hexue 时间: 2008-3-24 23:51
骨瘤可能
作者: dyqct 时间: 2008-3-25 00:03
还是做个ct吧!
作者: shibing 时间: 2013-11-17 09:41
未见明显骨折征像
| 欢迎光临 医影在线 (http://bbs.radida.com/bbs/) |
Powered by Discuz! X3.2 |