医影在线
标题: PED0688:M5Y,胫骨病变 [打印本页]
作者: happyverycd 时间: 2008-3-24 14:24
标题: PED0688:M5Y,胫骨病变
(结果公布:http://www.radida.com/bbs/forum.php?mod=viewthread&tid=36828)
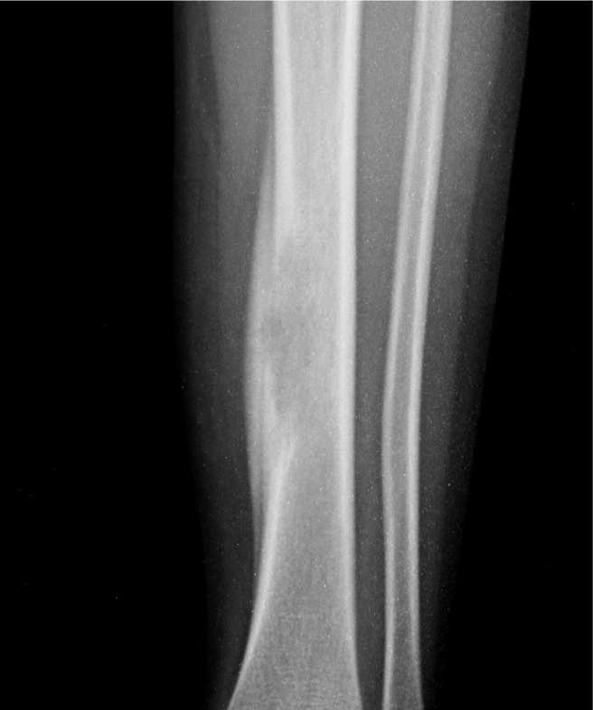
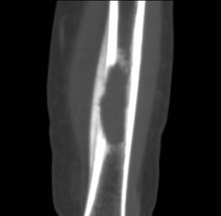
男孩,5岁,左小腿疼痛,肿胀,活动受限20天。






[本贴已被 jiajie 于 2008-3-28 17:32:01 修改过]
作者: ZHANGZHONGSHOU 时间: 2008-3-24 15:41
标题: 回复
左胫骨中下段见一长卵圆形骨质破坏区,走形方向与胫骨长轴一致,边缘轻度硬化,内后侧骨皮质破坏,伴明显骨膜增生,破坏区内呈软组织密度。未见明显软组织肿块。
意见:左胫骨嗜酸性肉芽肿可能性大。
鉴别:本病主要与胫骨恶性肿瘤,尤其尤文氏瘤鉴别。后者骨质破坏范围更广、破坏区边缘往往不规则,骨膜增生更明显、骨膜增生可见较明显的骨质破坏,放射状骨针常见,多见软组织肿块。一般可以鉴别,当然确诊有赖于病理学检查。另外,与骨髓炎等鉴别不难。
[本贴已被 zhangzhongshou 于 2008-3-26 10:06:51 修改过]
作者: 杀毒软件 时间: 2008-3-24 17:56
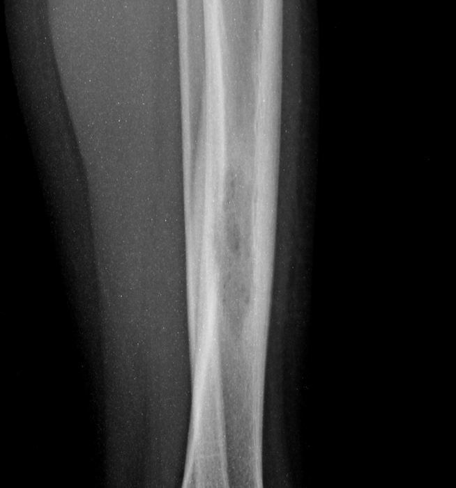
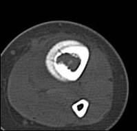
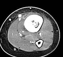
左胫骨中下段见一不规则虫蚀样骨破坏,走形方向与胫骨长轴一致,边缘轻度硬化,伴明显骨膜增生,ct见破坏区内见磨玻璃样密度,其旁软组织钟胀,内见不规则钙化。
考虑:骨纤垩变可能性大,嗜酸性肉芽肿亦不除外.
作者: hhcckk 时间: 2008-3-24 18:41
标题: 回复:ped0688:m5y,胫骨病变

作者: liangshusheng 时间: 2008-3-24 18:42
破坏与骨膜反应,尤文氏瘤与骨髓炎等鉴别
作者: clj20 时间: 2008-3-24 19:07
尤文氏瘤与骨髓炎等鉴别
作者: jiangjing 时间: 2008-3-24 19:07
左胫骨中下段见一不规则虫蚀样骨破坏,走形方向与胫骨长轴一致,边缘轻度硬化,伴明显规则的骨膜增生,ct见破坏区内见磨玻璃样密度,其旁软组织钟胀,内见不规则钙化。
考虑:嗜酸性肉芽肿。骨髓炎与尤文氏瘤待排
作者: 卜一 时间: 2008-3-25 01:53
左胫骨中下段见一不规则虫蚀样骨破坏,走形方向与胫骨长轴一致,边缘轻度硬化,伴明显规则的骨膜增生,ct见破坏区内见磨玻璃样密度,其旁软组织钟胀,内见不规则钙化。
考虑:嗜酸性肉芽肿。骨髓炎与尤文氏瘤待排。支持!
作者: 前行 时间: 2008-3-25 03:12
恶性可能性大
作者: 子期 时间: 2008-3-25 05:03
支持恶性骨肿瘤,以尤文氏瘤可能性大.
作者: 黑白光影 时间: 2008-3-25 05:51
支持恶性骨肿瘤,以尤文氏瘤可能性大.
作者: 光影★小胖 时间: 2008-3-25 06:14
支持恶性骨肿瘤,以尤文氏瘤可能性大.
作者: jinguoji 时间: 2008-3-25 08:51
支持恶性骨肿瘤,以尤文氏瘤可能性大。
作者: yangyudong333 时间: 2008-3-25 15:37
支持恶性骨肿瘤,以尤文氏瘤可能性大.
作者: shiqingfa 时间: 2008-3-25 16:05
支持恶性骨肿瘤,以尤文氏瘤可能性大.
作者: qsbaomingcheng 时间: 2008-3-25 17:40
支持恶性骨肿瘤,以尤文氏瘤可能性大.
作者: yy杨洋 时间: 2008-3-25 20:28
支持恶性骨肿瘤,以尤文氏瘤可能性大.
作者: zjzjr 时间: 2008-3-25 20:51
支持恶性骨肿瘤,以尤文氏瘤可能性大.
作者: dyqct 时间: 2008-3-26 17:41
标题: 回复:ped0688:m5y,胫骨病变
以下是引用jiangjing在2008-3-24 11:07:00的发言:[br][br] 左胫骨中下段见一不规则虫蚀样骨破坏,走形方向与胫骨长轴一致,边缘轻度硬化,伴明显规则的骨膜增生,ct见破坏区内见磨玻璃样密度,其旁软组织钟胀,内见不规则钙化。[br][br]考虑:嗜酸性肉芽肿。骨髓炎与尤文氏瘤待排
支持!!
作者: 形影不离 时间: 2008-3-26 19:07
尤文氏瘤可能性大。
作者: ZHANGZHONGSHOU 时间: 2008-3-27 22:18
标题: 回复
本病例请我的老师青岛市立医院磁共振室王国华主任会诊(王老师电话回复)综合意见如下:
病史资料不完善,根据年龄、部位、及影像学表现,主要表现胫骨骨干囊性骨质破坏,骨皮质受累,局部骨膜反应,未见骨膜破坏及瘤骨,未见放射状骨针。 首先要考虑胫骨转移瘤,建议进一步检查,除外视网膜母细胞瘤,神经母细胞瘤,肾母细胞瘤,肾上腺等恶性肿瘤骨转移。排除转移瘤后考虑嗜酸性肉芽肿可能性大,患者年龄5岁,尤文氏瘤不太考虑,骨肉瘤也不太符合,骨髓炎待排,影像表现不太支持。建议进一步检查,除外原发恶性肿瘤胫骨转移后,考虑嗜酸性肉芽肿。必要时穿刺活检。
[本贴已被 zhangzhongshou 于 2008-3-27 19:59:11 修改过]
作者: ZHANGZHONGSHOU 时间: 2008-3-27 22:23
标题: 补充
我个人意见:建议楼主上传更完善的临床资料,以利于会诊。放射科医生不是一年级小学生---看图说话,在美国等发达国家,放射科都是临床科室,需要密切结合临床的,在我国还是医技科室,(别的还不清楚有几个国家)。可能说的有点过了,再此道歉!
[本贴已被 zhangzhongshou 于 2008-3-27 14:28:30 修改过]
作者: ZHANGZHONGSHOU 时间: 2008-3-28 00:27
楼主短信回复:这是医教在线发的病例:来自北京积水潭医院程晓光教授,最终确诊:胫骨嗜酸性肉芽肿。当然,临床病史资料还是有相当价值的。在此向王国华老师致谢!王老师的诊断思路还是十分明确的。影像学诊断需要密切结合临床。下次遇到这种病例,结果可能是多样的,虽然此例最终诊断为嗜酸性肉芽肿。
作者: 寻芳者 时间: 2008-3-29 08:00
好例-----------------------------
作者: 信天游 时间: 2008-3-31 01:21
跟积水潭医院网上讲座病例一摸一样
怎么会事????????????????????????????????????????
作者: lishibao 时间: 2008-3-31 03:53
尤文氏瘤与骨髓炎等鉴别
作者: 夜鹰 时间: 2008-4-5 08:42
小孩的骨膜反应及骨质增生均比较活跃,应考虑这个因素与恶性肿瘤来鉴别,葱皮样明显增厚的骨膜反应不见得一定是恶性表现,特别是弥漫增厚的更提示炎症可能性较大;恶性的骨膜增厚往往是以局部增厚明显并有软组织肿块或者骨膜三角形成的表现较为肯定。本例考虑还是肉芽肿可能性较大。
作者: jinguoji 时间: 2008-4-16 07:59
好病例,学习了,谢谢!
作者: ZHONGXINMR 时间: 2009-6-1 23:59
好病例,谢谢
| 欢迎光临 医影在线 (http://bbs.radida.com/bbs/) |
Powered by Discuz! X3.2 |