

















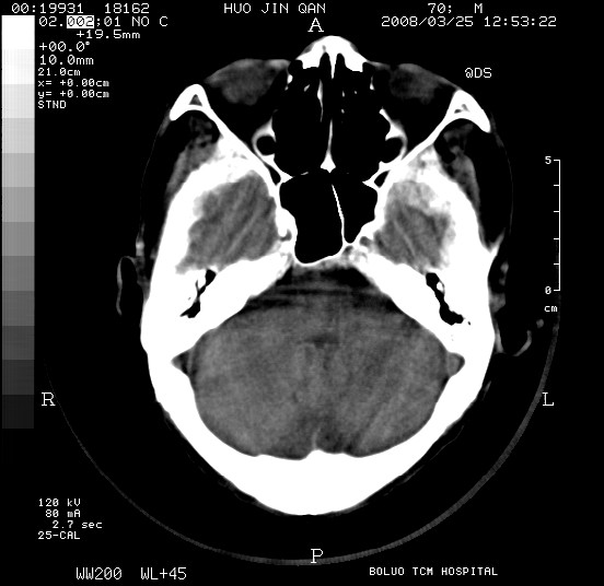
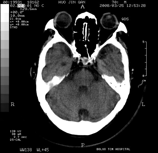
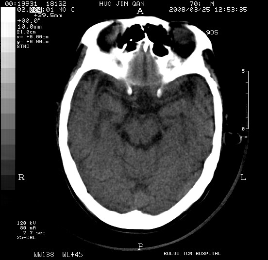
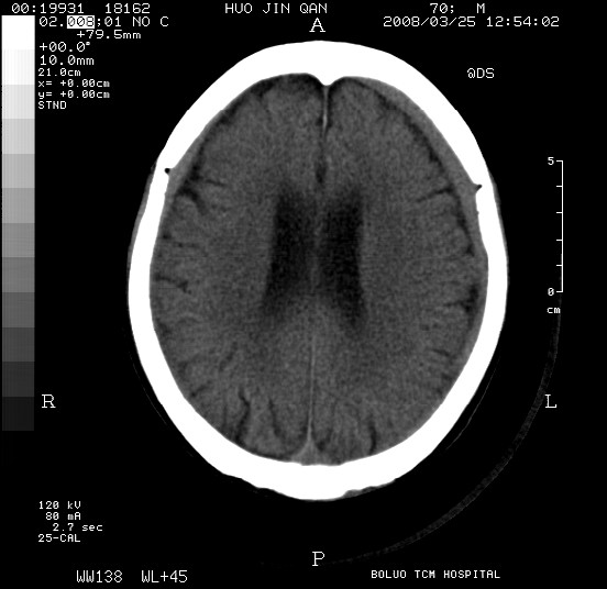
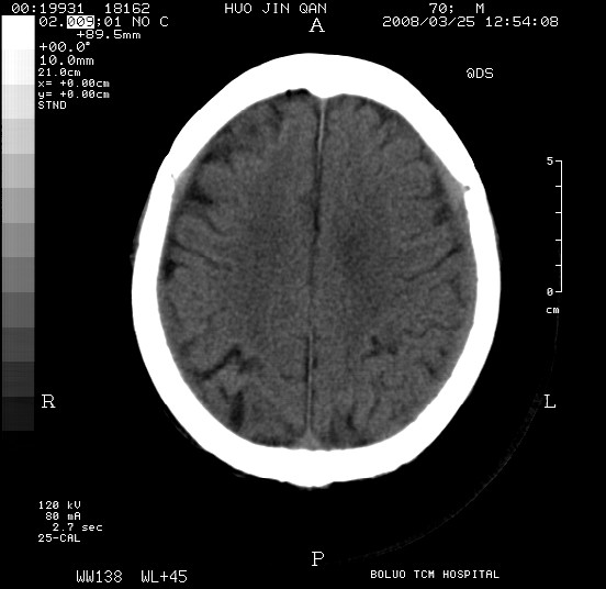
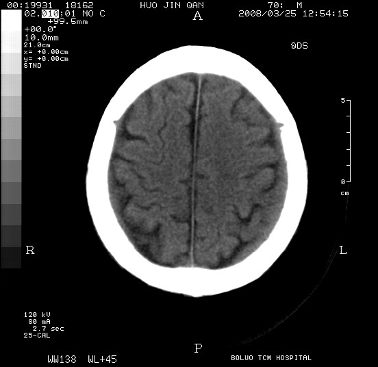
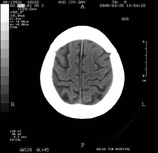
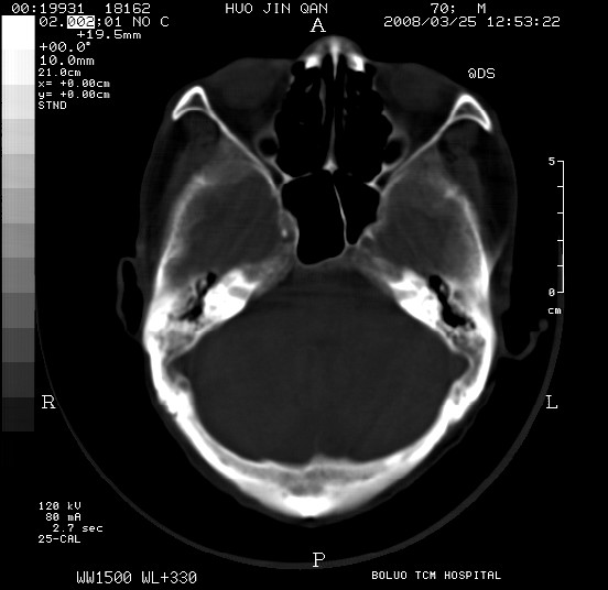
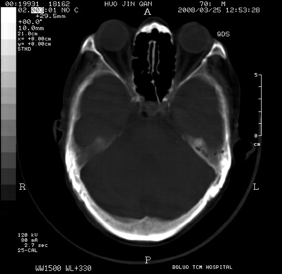
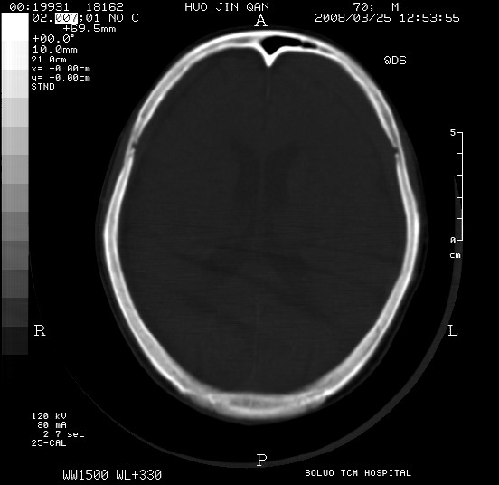
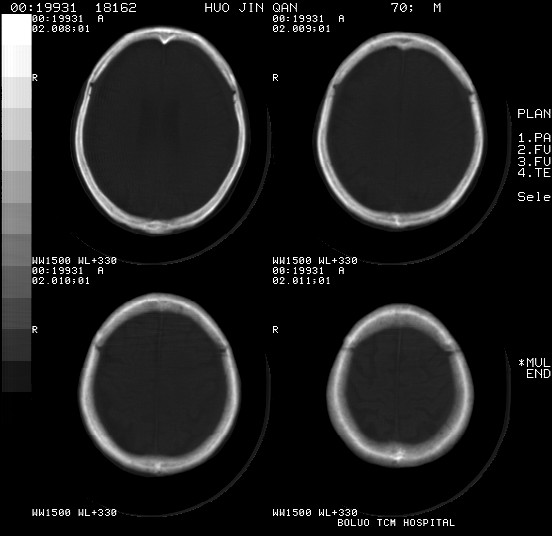
以下是引用随光逐影在2008-3-25 20:15:00的发言:[br]双侧额颞顶部亚急性(或慢性)硬膜下血肿。
以下是引用随光逐影在2008-3-25 20:15:00的发言:[br]双侧额颞顶部亚急性(或慢性)硬膜下血肿。
以下是引用liuyue在2008-3-26 18:57:00的发言:[br]以下是引用随光逐影在2008-3-25 20:15:00的发言:[br]双侧额颞顶部亚急性(或慢性)硬膜下血肿。 [br]支持![br]可以无明显外伤病史,老年人可以在激烈摇晃或轻微头部碰创头部时,发生硬膜下出血.
| 欢迎光临 医影在线 (http://bbs.radida.com/bbs/) | Powered by Discuz! X3.2 |