医影在线

标题: X3707:跟距舟关节脱位、距骨骨折 [打印本页]

作者: jiajie    时间: 2008-3-26 21:11
标题: X3707:跟距舟关节脱位、距骨骨折
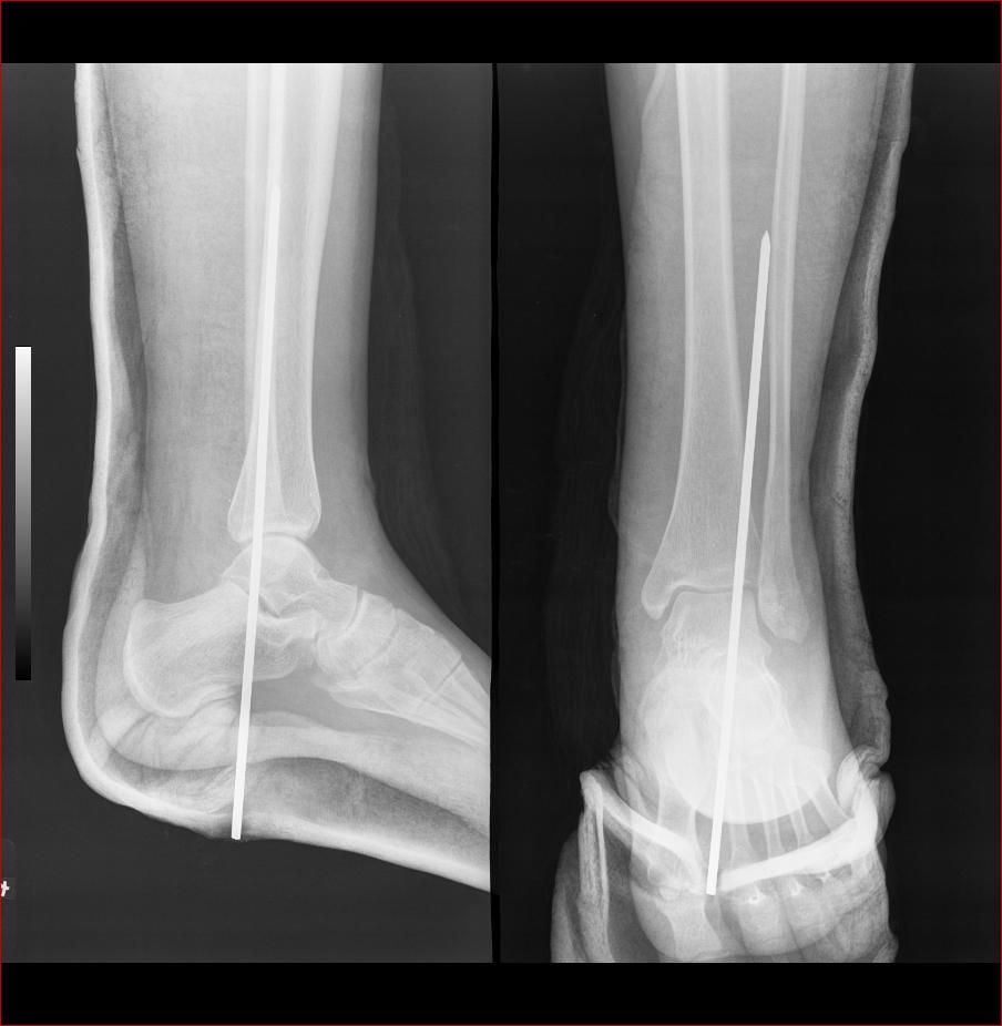
手术所见,右跟距舟关节脱位、距骨骨折,右腓骨长、短肌、第三腓骨肌腱均断裂,胫神经挫伤。

(点击阅片:http://www.radida.com/bbs/forum.php?mod=viewthread&tid=36515)


术后片:






欢迎光临 医影在线 (http://bbs.radida.com/bbs/) Powered by Discuz! X3.2