医影在线

标题: CT12463:女,19岁,炎性假瘤?结核球? [打印本页]

作者: liuzheng_9326    时间: 2008-3-27 01:27
标题: CT12463:女,19岁,炎性假瘤?结核球?
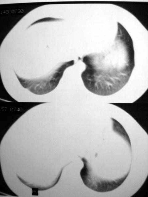
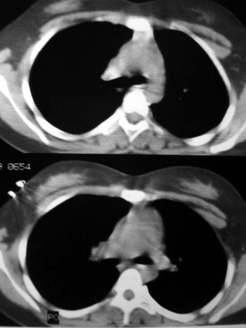
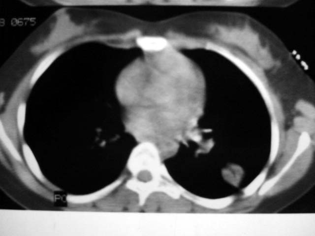
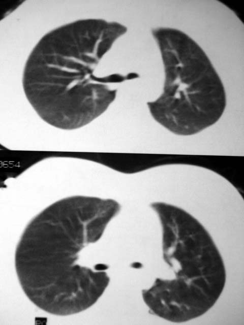
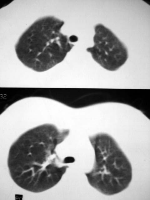
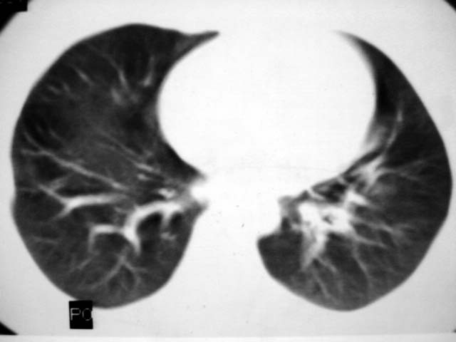
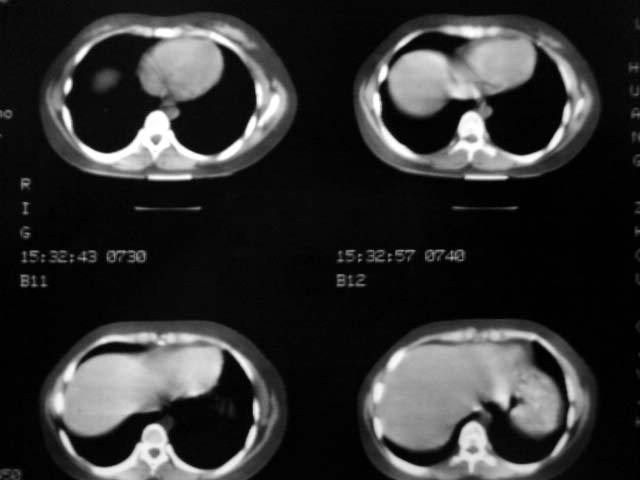
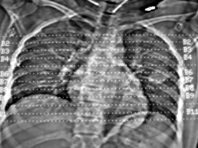
女,19岁,体检时发现。炎性假瘤?结核球?
早产儿,幼时体弱,常感冒肺部感染,13岁后好转。两月前“感冒”后咳嗽两周。


















[本贴已被 jiajie 于 2008-3-26 18:23:42 修改过]

作者: liuzheng_9326    时间: 2008-3-27 01:36
大家认为传片顺序是肺窗、纵隔窗分开传或是肺窗、纵隔交叉传,那一种更好呢?
请发表你的高见,是个人习惯或是专业方面有规定呢?
作者: 云里    时间: 2008-3-27 01:46
考虑炎症。
作者: yangyudong333    时间: 2008-3-27 01:50
考虑右肺炎性假瘤,建议抗炎治疗后复查
作者: wlhlxy0000    时间: 2008-3-27 01:56
建议治疗后复查
作者: 卜一    时间: 2008-3-27 02:21
支持考虑:炎性假瘤!
作者: liuyue    时间: 2008-3-27 03:22
首先考虑:炎性病变.
建议:消炎治疗后复查.
作者: 联众之王    时间: 2008-3-27 03:30
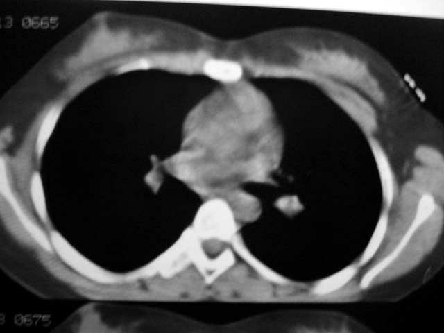
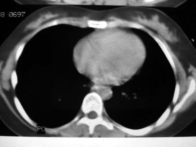
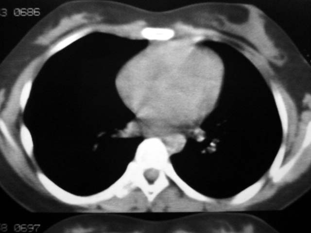
纵隔窗肿块明显较肺窗小,切粗长毛刺,“倒核桃”征:考虑炎性假瘤
作者: 羊皮    时间: 2008-3-27 04:03
炎性假瘤可能性大.抗炎后复查
作者: baocx6868    时间: 2008-3-27 04:15
考虑炎性假瘤
作者: 远征    时间: 2008-3-27 04:38
支持:炎性假瘤,抗炎后一周复查。
作者: xyx291    时间: 2008-3-27 04:43
标题: 回复:ct12463:女,19岁,炎性假瘤?结核球?
以下是引用yangyudong333在2008-3-26 17:50:00的发言:[br]考虑右肺炎性假瘤,建议抗炎治疗后复查

作者: 随缘的人    时间: 2008-3-27 04:43
首先考虑:炎性病变.
建议:消炎治疗后复查.
作者: 形向东    时间: 2008-3-27 04:53
不知道,请楼主介绍详细病史
作者: 拾荒者    时间: 2008-3-27 05:25
病灶肺纵比较大,边缘平直,周围无卫星灶,考虑炎症。建议抗炎治疗后复查。
作者: 形影不离    时间: 2008-3-27 05:33
考虑右肺炎性假瘤或球形肺炎,建议抗炎治疗后复查。
作者: whzht    时间: 2008-3-27 05:42
考虑左肺炎性假瘤,建议抗炎治疗复查
作者: 青石¥    时间: 2008-3-27 05:43
考虑右肺炎性假瘤,建议抗炎治疗后复查
作者: 我心飞翔    时间: 2008-3-27 05:57
炎性假瘤可能性大.抗炎后复
作者: zsl6918    时间: 2008-3-27 06:13
病灶片状改变,呈钱币样,周围炎性反应明显,考虑球形肺炎可能性大,球形肺炎与炎性假瘤鉴别的重要一点是,炎性假瘤抗炎治疗不会明显改变。
作者: 影像孺子牛    时间: 2008-3-27 06:17
球形肺炎或炎性假瘤。
作者: dyqct    时间: 2008-3-27 06:33
考虑球形肺炎。
作者: 有风的日子    时间: 2008-3-27 07:26
首先要说ct机太差,片子质量不佳,一定是2秒以上机器的作品!其次ct技师需进一步培训,象这种情况就应该针对病灶部位做薄层或高分辨扫描。不过从上传影像看,患者年轻、病灶周围没卫星灶倒支持炎性假瘤诊断,不过象这种部位也有可能是叶间包裹性积液可能。只是ct机太、太差,很难诊断,如一秒机扫描出来90%可直接诊断,有必要时可结合矢状位三维重建。所以要我说建议患者在亚秒(至少是1秒)机上重扫十分有利于正确诊断。
建议放射界同仁能本着患者至上的信条抵制二手设备!
作者: 阿康2008    时间: 2008-3-27 07:33
考虑炎症,抗炎后复查。理由:病变肺窗显示的大小明显大于纵隔窗,提示病变周围为密度偏低的渗出改变。不同于结核球和肿瘤。
作者: qc80012345    时间: 2008-3-27 14:14
支持炎性改变。个人习惯不一,但纵隔窗与肺窗交叉看比较方便观察。
作者: 宝天曼    时间: 2008-3-27 15:14
考虑右肺炎性假瘤,建议抗炎治疗后复查
作者: ZHANGZHONGSHOU    时间: 2008-3-27 15:21
球形肺炎可能,建议抗炎治疗后复查。必要时穿刺活检。
作者: zjzjr    时间: 2008-3-27 18:29
支持考虑:炎性假瘤!
作者: zhangkai    时间: 2008-3-27 19:25
考虑炎性假瘤可能。
作者: 随光逐影    时间: 2008-3-28 00:15
炎性假瘤可能。
作者: zyx168    时间: 2008-12-15 02:30
考虑右肺炎性假瘤
作者: dsl555    时间: 2008-12-15 02:43
支持
作者: 张XYZ    时间: 2008-12-15 02:47
炎性病灶,建议抗炎复查




欢迎光临 医影在线 (http://bbs.radida.com/bbs/) Powered by Discuz! X3.2