医影在线

标题: CT12465:下颌骨肿瘤,请会诊 [打印本页]

作者: youersanmei    时间: 2008-3-27 03:07
标题: CT12465:下颌骨肿瘤,请会诊































[本贴已被 jiajie 于 2008-3-26 19:13:11 修改过]

作者: youersanmei    时间: 2008-3-27 03:10
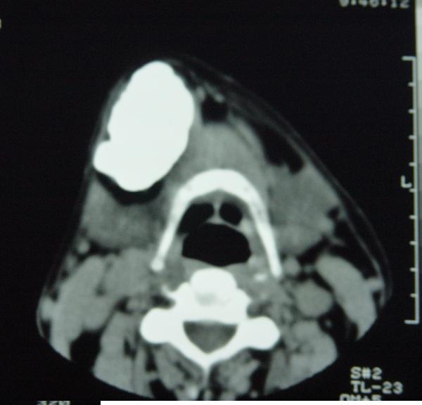
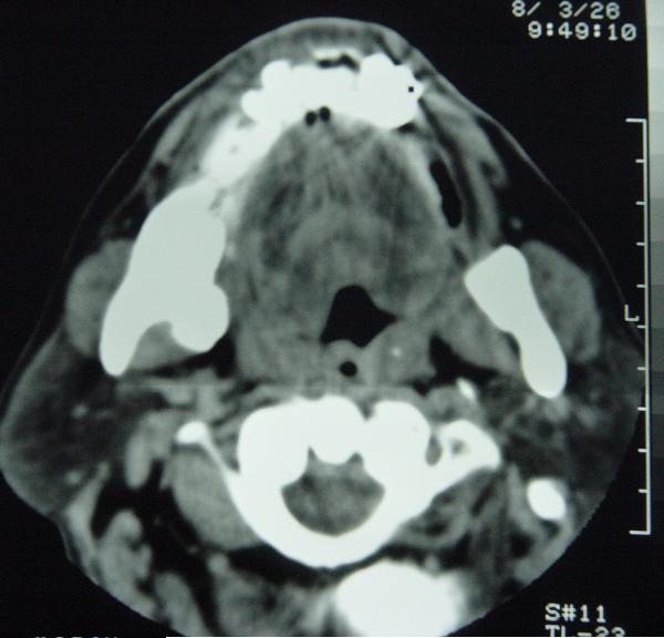
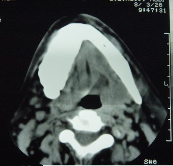
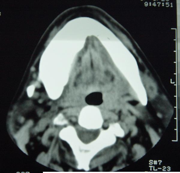
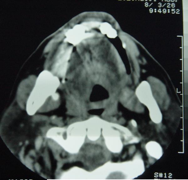
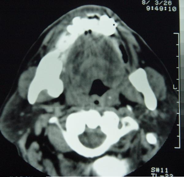
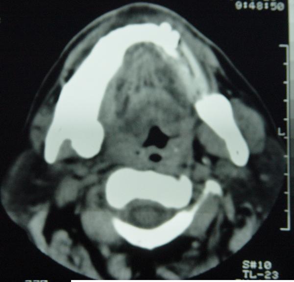
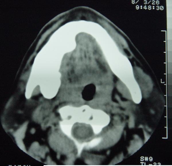
发现下颌骨肿瘤近30年.逐渐增大.
作者: 联众之王    时间: 2008-3-27 03:33
位置及病程较长考虑:造粙细胞瘤
作者: shiqingfa    时间: 2008-3-27 03:41
造釉细胞瘤?
作者: 沉默是金    时间: 2008-3-27 03:53
考虑造釉c瘤
作者: 卜一    时间: 2008-3-27 04:06
造釉细胞瘤?
作者: whzht    时间: 2008-3-27 05:33
骨化性纤维瘤?
作者: 西北狼    时间: 2008-3-27 05:57
骨化性纤维瘤?
作者: 形影不离    时间: 2008-3-27 06:00
支持骨化性纤维瘤!
作者: hbtlyy    时间: 2008-3-27 06:00
考虑造釉c瘤
作者: 影像孺子牛    时间: 2008-3-27 06:02
骨化性纤维瘤。
作者: zsl6918    时间: 2008-3-27 06:03
考虑骨纤或骨化性纤维瘤。
作者: 我心飞翔    时间: 2008-3-27 06:06
支持骨化性纤维瘤!
作者: dyqct    时间: 2008-3-27 06:25
考虑右侧下颌骨水平部及升部骨纤维异常增殖症可能性大。
作者: muzi888    时间: 2008-3-27 06:35
造釉细胞瘤?
作者: 宇宙CT    时间: 2008-3-27 06:39
考虑右侧下颌骨水平部及升部骨纤维异常增殖症可能性大。
作者: qc80012345    时间: 2008-3-27 07:00
造釉细胞瘤,没有特征性;半月切迹?骨间隔?多房性骨密度减低区,大小不等。鉴别;动脉瘤样骨囊肿,骨软骨瘤。本人,更倾向于---骨软骨瘤。
作者: 宝天曼    时间: 2008-3-27 15:10
标题: 回复:ct12465:下颌骨肿瘤,请会诊
以下是引用卜一在2008-3-26 20:06:00的发言:[br]造釉细胞瘤?

作者: yangyudong333    时间: 2008-3-27 15:35
标题: 回复:ct12465:下颌骨肿瘤,请会诊
以下是引用dyqct在2008-3-26 22:25:00的发言:[br]考虑右侧下颌骨水平部及升部骨纤维异常增殖症可能性大。

作者: zjzjr    时间: 2008-3-27 18:25
考虑右侧下颌骨水平部及升部骨纤维异常增殖症可能性大。
作者: zhangkai    时间: 2008-3-27 19:27
考虑骨纤可能性大。
作者: doc张    时间: 2008-3-28 01:23
骨纤与釉质细胞瘤如何鉴别?
作者: 拾荒者    时间: 2008-3-28 04:12
考虑右侧下颌骨骨化性纤维瘤。
作者: zyx168    时间: 2008-12-15 02:33
标题: 回复:ct12465:下颌骨肿瘤,请会诊
以下是引用拾荒者在2008-3-27 20:12:00的发言:[br]考虑右侧下颌骨骨化性纤维瘤。

作者: dsl555    时间: 2008-12-15 02:38
考虑右侧下颌骨骨化性纤维瘤。




欢迎光临 医影在线 (http://bbs.radida.com/bbs/) Powered by Discuz! X3.2