医影在线

标题: CT12476:腹痛待查。 [打印本页]

作者: zhw974247    时间: 2008-3-27 17:19
标题: CT12476:腹痛待查。
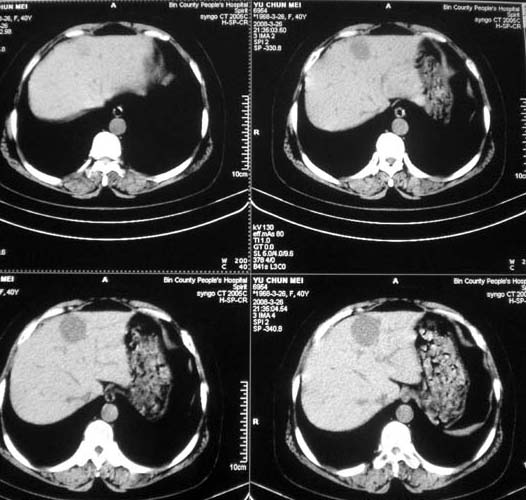
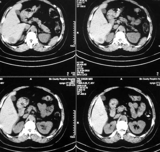
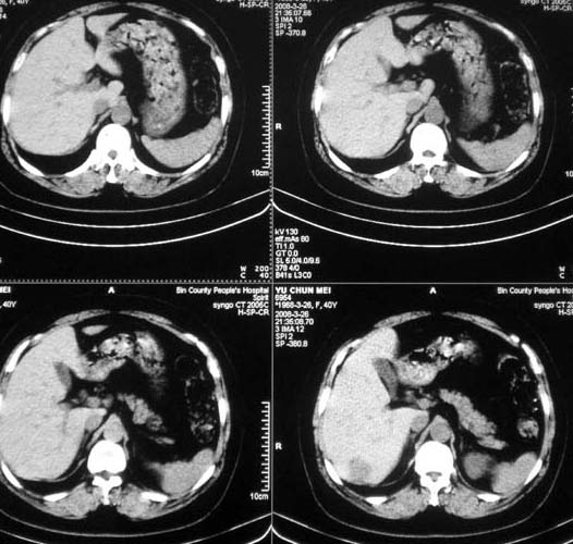
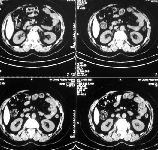
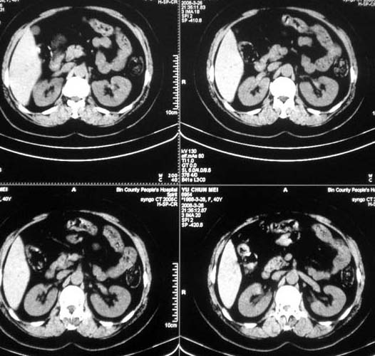
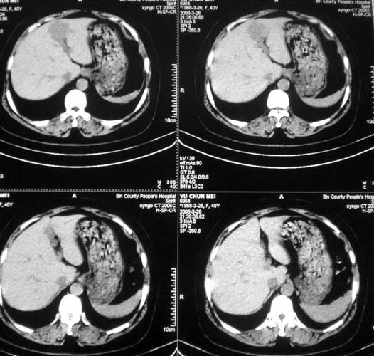
女,56岁,和上两个是同一病人,腹痛,胀痛,消化不良,五年前有血管瘤。密度减低影ct值为40hu。









作者: 形影不离    时间: 2008-3-27 17:25
肝内占位性病变:肝血管瘤可能性大,建议必须增强扫描。
作者: 杀毒软件    时间: 2008-3-27 17:43
增强定性
作者: 余辉    时间: 2008-3-27 18:05
肝内多发占位,建议增强检查
作者: liuqiang    时间: 2008-3-27 18:22
一定要增强啊。
作者: 宇宙CT    时间: 2008-3-27 19:18
肝内多发占位,建议增强检查
作者: wangjj555    时间: 2008-3-27 19:34
:肝血管瘤可能性大
作者: yangyudong333    时间: 2008-3-27 20:23
肝内多发占位,建议增强检查
作者: zjzjr    时间: 2008-3-27 21:10
肝内多发占位,建议增强检查
作者: yjrgw666    时间: 2008-3-27 22:16
胃下垂?吞钡或彩超看看吧!
作者: zzyy    时间: 2008-3-27 22:59
肝内占位性病变:肝血管瘤可能性大,建议必须增强扫描。
作者: doc张    时间: 2008-3-27 23:09
肝脏血管瘤.
作者: ydx_74    时间: 2008-3-27 23:22
肝脏血管瘤.境界清楚,以前已确诊,没有必要增强吧?
作者: muzi888    时间: 2008-3-27 23:54
多发性血管瘤!
作者: dyqct    时间: 2008-3-27 23:58
标题: 回复:ct12476:腹痛待查。
以下是引用余辉在2008-3-27 10:05:00的发言:[br]肝内多发占位,建议增强检查

支持!
作者: 随光逐影    时间: 2008-3-28 00:22
肝内多发占位性病变;建议:行ct增强检查。
作者: fanxin168    时间: 2008-3-28 00:41
仍然考虑肝血管瘤
作者: wanghuiyellf    时间: 2008-3-28 01:02
增强后再说。
作者: xulianj    时间: 2008-3-28 02:13
肝内占位性病变:肝血管瘤可能性大,建议必须增强扫描。
作者: 拾荒者    时间: 2008-3-28 06:11
肝内多发低密度影,边缘清楚,结合病史考虑:肝血管瘤可能性大,建议必须时增强扫描。
作者: zsl6918    时间: 2008-3-28 16:22
平扫不敢诊断血管瘤。
作者: lirenxiong    时间: 2008-3-28 16:30
增强后在讨论




欢迎光临 医影在线 (http://bbs.radida.com/bbs/) Powered by Discuz! X3.2