












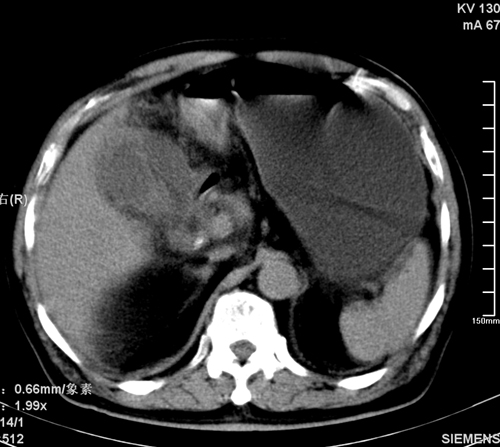
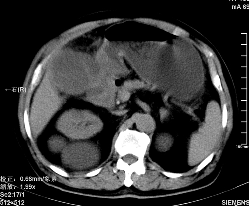
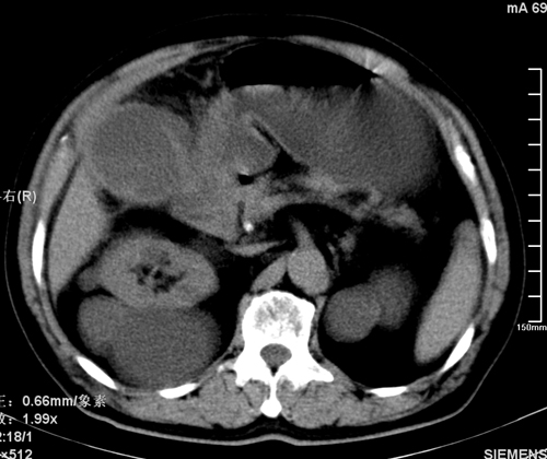
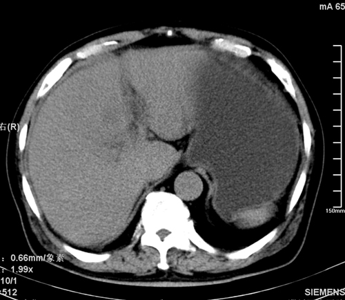
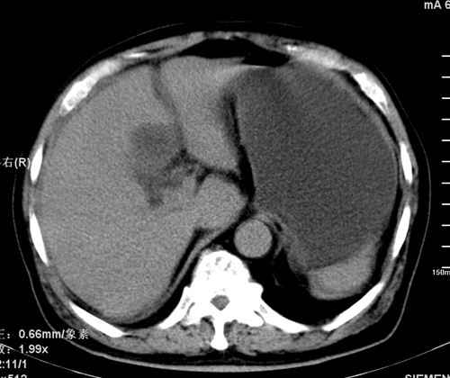
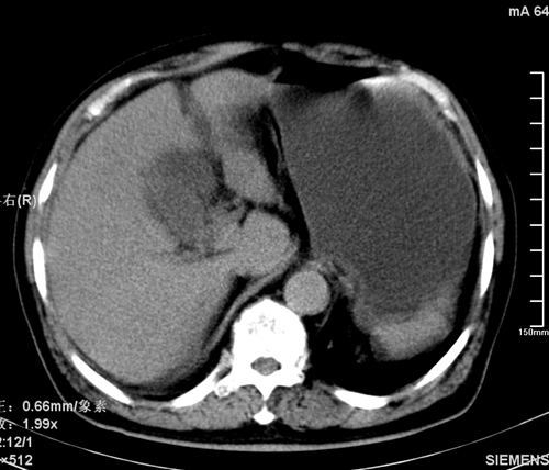
以下是引用liaoqiang在2008-3-27 15:57:00的发言:[br]1右肾脏周多发大小不一球形影,考虑肾脏囊肿可能性大。2胆囊边界欠清楚。考虑胆囊炎可能性。
以下是引用dyqct在2008-3-27 16:10:00的发言:[br][quote]以下是引用liaoqiang在2008-3-27 15:57:00的发言:[br]1右肾脏周多发大小不一球形影,考虑肾脏囊肿可能性大。2胆囊边界欠清楚。考虑胆囊炎可能性。
以下是引用dyqct在2008-3-27 16:10:00的发言:[br][quote]以下是引用liaoqiang在2008-3-27 15:57:00的发言:[br]1右肾脏周多发大小不一球形影,考虑肾脏囊肿可能性大。2胆囊边界欠清楚。考虑胆囊炎可能性。
以下是引用随光逐影在2008-3-27 16:33:00的发言:[br]考虑为:1)双肾囊肿可能。2)急性胆囊炎。建议:行进一步检查。
| 欢迎光临 医影在线 (http://bbs.radida.com/bbs/) | Powered by Discuz! X3.2 |